아카이브 요약
이 페이지의 역할
2D치과의원의 네이버 블로그 원문을 보존한 아카이브 페이지입니다. 투디_정보 카테고리의 벌어진 앞니, 앞니벌어짐(diastema) 치료 - 레진, 교정, 라미네이트 글을 통해 병원의 한국어 정보 제공 방식과 진료 관련 안내 톤을 확인할 수 있습니다.
원문 검증
필요하면 원문 블로그와 병원 프로필로 바로 이동해 문맥을 다시 확인할 수 있습니다.
출처 아카이브 열기아카이브된 블로그 글
치과의원 · ✅ 앞니에 대한 장인정신. Since 2016. 2D치과 ✅
안녕하세요, 앞니에 대한 장인정신 신논현역 투디치과입니다. 2D치과 지난 포스팅에서 완전 무삭제 앞니치료 <블랙필름>으로 블랙트라이앵글, 왜소치, 앞니파절을 치료한 사례 소개해드렸는데요. 블랙트라이앵글 사례가 궁금하다면 여기로▼ https://blog.naver.com/dental2d/222879631154 ...
게시일
2022년 10월 18일
원문 기준으로 확인된 발행일입니다.
카테고리
투디_정보
원문 블로그 카테고리를 정리해 함께 표시합니다.
이미지 수
12
현재 아카이브에 연결된 이미지 수입니다.
아카이브 요약
2D치과의원의 네이버 블로그 원문을 보존한 아카이브 페이지입니다. 투디_정보 카테고리의 벌어진 앞니, 앞니벌어짐(diastema) 치료 - 레진, 교정, 라미네이트 글을 통해 병원의 한국어 정보 제공 방식과 진료 관련 안내 톤을 확인할 수 있습니다.
원문 검증
필요하면 원문 블로그와 병원 프로필로 바로 이동해 문맥을 다시 확인할 수 있습니다.
출처 아카이브 열기안녕하세요, 앞니에 대한 장인정신
신논현역 투디치과입니다.

2D치과
지난 포스팅에서 완전 무삭제 앞니치료 <블랙필름>으로
블랙트라이앵글, 왜소치, 앞니파절을 치료한 사례 소개해드렸는데요.
블랙트라이앵글 사례가 궁금하다면 여기로▼
https://blog.naver.com/dental2d/222879631154
왜소치 사례가 궁금하다면 여기로▼
https://blog.naver.com/dental2d/222887538917
앞니깨짐(앞니파절) 사례가 궁금하다면 여기로▼
https://blog.naver.com/dental2d/222896646336
오늘은 앞니 벌어짐, diastema의 치료에 대해 포스팅해보겠습니다.
#diastema #정중이개 #치간이개 #벌어진앞니 #앞니벌어짐
diastema(정중이개)란?
치아가 벌어진 것을 치간이개라고 하는데요.
diastema란 그 중에서도 앞니가 벌어진 경우를 뜻합니다.
사전적 의미로는 틈, 정중이개
앞니 사이의 공간을 나타내는 용어입니다.
https://terms.naver.com/entry.naver?docId=3467388&cid=60408&categoryId=58529
치아가 벌어지면 심미적인 문제도 있지만,
벌어진 치아 사이로
음식물이 끼어 충치나 잇몸질환 등
2차적인 문제가 발생할 수 있어
치료가 필요합니다.

앞니 벌어짐 (diastema)
앞니 벌어짐
원인은 무엇일까요?
앞니 벌어짐의 원인은
크게 선천적 원인, 후천적 원인으로
나누어 볼 수 있습니다.
선천적 원인은
(1) 악궁에 비해 치아의 크기가 작은 경우
(2) 왜소치 - 자연치 자체가 너무 작은 경우
(3) 선천적인 치아 개수의 부족
후천적 원인은
치주질환으로 인해 치아를 지지해주던 잇몸뼈가 줄어들고
치아와 잇몸을 연결하는 치주인대에 발생한 염증이
치아를 압박하면서
치아가 벌어질 수 있습니다.
노화로 인한 치주질환을 예방하기 위해
평소에 꼼꼼하게 구강관리를 하고,
정기적으로 스케일링을 받는 것이 좋습니다.
=
그리고 검색해서 나오진 않지만 경험적으로
혀를 내미는 습관도 원인이 될 수 있고
이갈이가 심하신 분들께서 어금니 마모가 일어나며
앞니가 전방으로 밀리는 힘이 작용하여 벌어지는 경우도
심심치 않게 보곤합니다.
=
하지만, 이미 증상이 시작되었을 경우에는
아래의 방법으로 치료할 수 있습니다.
정중이개(diastema)의 치료법
레진은 diastema의 가장 간단한 치료법입니다.
치아의 색과 유사한 레진이라는 치과재료로
치아 사이의 벌어진 공간을 메우는 치료법입니다.
치료기간이 짧아 당일에 끝나고,
비용이 저렴하다는 장점이 있지만
시간이 지남에 따라 변색되고,
보철이 탈락되거나 마모될 수 있다는 한계점이 있습니다.
교정치료는 치아 표면에 장치를 부착해
치아를 이동시키는 치료법입니다.
치아 교정의 경우
자연치를 보존하면서
치아의 벌어짐을 개선할 수 있다는 장점이 있습니다.
하지만, 치료에 드는 시간과 비용이 크다는 한계점도 있습니다.
앞니에만 문제가 있는 diastema의 경우 저희 2D치과에서는
앞니 설측교정인 2D 교정으로
티나지 않게, 빠른 시간에 교정치료가 가능합니다.
개인의 구강 상태에 따라
치료법이 달라지므로
치과에서 검사 받아보시는 것을 추천드립니다.
라미네이트 치료는,
치아 모양의 얇은 세라믹 보철물을
치아의 표면에 부착하는 치료입니다.
자연치아와 유사하고,
치아 미백 효과도 얻을 수 있다는 장점이 있습니다.
하지만
기존의 라미네이트 치료는
치아를 삭제해야한다는 큰 부담이 있었습니다.
경우에 따라 최소삭제라고 광고하는 곳도 있지만,
자연치는 한번 삭제하면 돌이킬 수 없기에
신중해야하는 것이 맞습니다.
저희 2D 치과에서는 '진짜 진짜 진짜'
'완전무삭제 블랙필름' 라미네이트 시술을 하고 있습니다.
https://www.youtube.com/watch?v=0FMhkIzmOfk&t=35s
<진짜 무삭제 라미네이트에 없는 세가지>
기계로 깎는 방식으로 제작하던 기존의 라미네이트는
필름의 두께 조절에 한계가 있었기 때문에
치아를 삭제할 수 밖에 없었습니다.
하지만, 저희 2D치과의 블랙필름은
깎는 방식이 아닌, 주조방식을 채택하고
100% 수제작을 통해 얇고, 단단한 필름의 제작을 실현했습니다.

얇고, 투명하고, 단단한 수제작 필름으로
'표면정리' 조차 필요없는
완전 무삭제 라미네이트 치료를 하고 있습니다.
무삭제 라미네이트는
짧은 시간에
전체적인 치아의 크기, 정중선, 치아색상까지
개선할 수 있는 이상적인 치료법이라 할 수 있겠습니다.
다음은 저희 2D 치과에서 무삭제 라미네이트로
diastema 를 치료한 사례 소개해드리겠습니다.

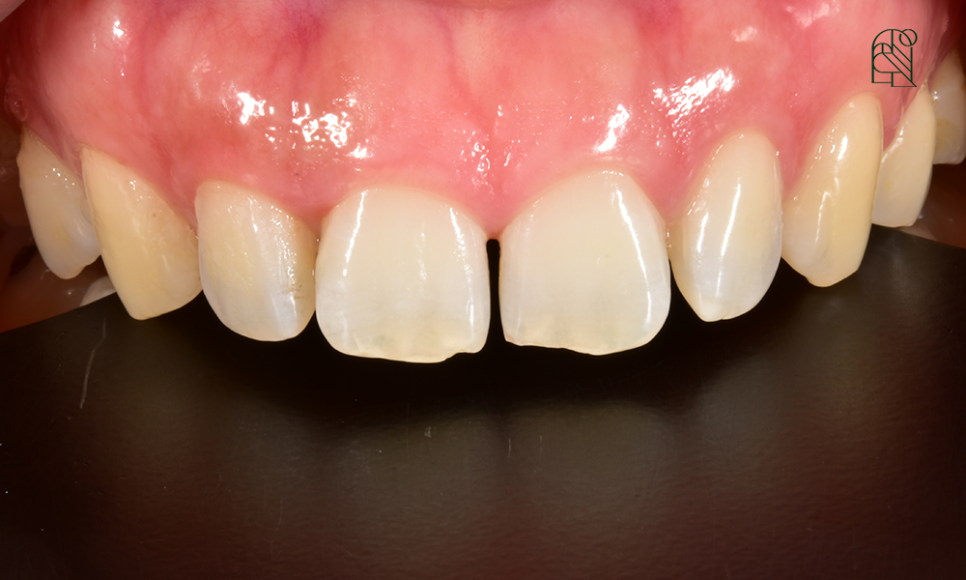
diastema 치료 전

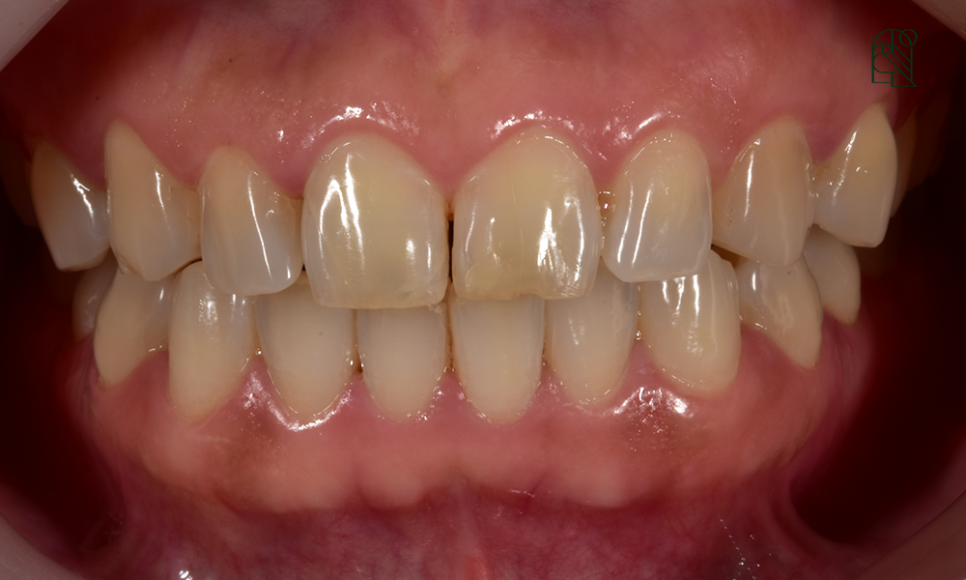
diastema 치료 후 _ 무삭제라미네이트 블랙필름

diastema 치료 전

diastema 치료 후_ 무삭제라미네이트 블랙필름

diastema 치료 전

diastema _치료 후 _무삭제라미네이트 블랙필름

diastema 치료 전

diastema 치료 후 _ 무삭제라미네이트 블랙필름
요약
| 치료법 | 장점 | 단점 |
|---|---|---|
| 레진 | 짧은 치료 시간 저렴한 비용 | 변색, 마모, 탈락의 위험 |
| 교정 | 교정 | 자연치 삭제 없이 치료 가능 |
| 2D 교정 (설측 앞니 교정) | 자연치 삭제 없이 치료 가능 일반 교정에 비해 시간 단축앞니만 안쪽으로 안 보이게 교정 | 레진이나 라미네이트보다긴 치료기간 (1-3개월) |
| 라미네이트 | 라미네이트 | 짧은 치료기간포괄적 개선 효과 (치아의 크기, 미백, 정중선 등) |
| 무삭제 라미네이트 | 짧은 치료기간포괄적 개선 효과 (치아의 크기, 미백, 정중선 등) 자연치 삭제 없이 치료 가능 | 모든 치과에서 하지 않음비용? |
친절한 카톡상담 바로가기 ▼
예약 바로가기 ▼
https://limomed.azurewebsites.net/

첨부파일
원내사진1_저용량.jpg
파일 다운로드