아카이브 요약
이 페이지의 역할
2D치과의원의 네이버 블로그 원문을 보존한 아카이브 페이지입니다. 투디_정보 카테고리의 무삭제라미네이트는 어느 병원에서 해야할까요? 글을 통해 병원의 한국어 정보 제공 방식과 진료 관련 안내 톤을 확인할 수 있습니다.
원문 검증
필요하면 원문 블로그와 병원 프로필로 바로 이동해 문맥을 다시 확인할 수 있습니다.
출처 아카이브 열기아카이브된 블로그 글
치과의원 · ✅ 앞니에 대한 장인정신. Since 2016. 2D치과 ✅
안녕하세요! 신논현역에 위치한 2D치과 입니다. 어느덧 2023년이 시작되었습니다. 매해 12월 ~ 1월에는 신년 계획을 세우는 기간이잖아요! 혹시 이번년도에 치아미백, 라미네이트 계획이 있으시다면 이 포스팅에 집중! 해보시는 게 좋습니다! 무삭제라미네이트를 고민하고 검색하셨다면 치아 삭제량, 보철물교체...
게시일
2023년 1월 5일
원문 기준으로 확인된 발행일입니다.
카테고리
투디_정보
원문 블로그 카테고리를 정리해 함께 표시합니다.
이미지 수
8
현재 아카이브에 연결된 이미지 수입니다.
아카이브 요약
2D치과의원의 네이버 블로그 원문을 보존한 아카이브 페이지입니다. 투디_정보 카테고리의 무삭제라미네이트는 어느 병원에서 해야할까요? 글을 통해 병원의 한국어 정보 제공 방식과 진료 관련 안내 톤을 확인할 수 있습니다.
원문 검증
필요하면 원문 블로그와 병원 프로필로 바로 이동해 문맥을 다시 확인할 수 있습니다.
출처 아카이브 열기
안녕하세요!
신논현역에 위치한 2D치과 입니다.
어느덧 2023년이 시작되었습니다.
매해 12월 ~ 1월에는
신년 계획을 세우는 기간이잖아요!
혹시 이번년도에 치아미백, 라미네이트
계획이 있으시다면
이 포스팅에 집중! 해보시는 게 좋습니다!
무삭제라미네이트를 고민하고 검색하셨다면
치아 삭제량, 보철물교체, 신경치료에 대해
주의 깊게 보고 계실거라 생각됩니다~
아주 좋은 고민 입니다.

라미네이트는 심미성이 뛰어나고
안정성이 높은데다
치열 변경이 불필요한 장점이 있어
20대 초반 대학생 친구들부터
40대 직장인분들까지 많은 관심을 받고 있습니다.
라미네이트는 어느 병원에서 해야할까요?

무삭제라미네이트 병원을 찾고 계신다면
시술 시 치아 삭제량이 있는지
꼼꼼히 확인해 보아야합니다.
치아 표면을 정리, 삭제하는 시술은
충분한 고민 후 결정하는 게 좋습니다.
치아는 평생 사용해야하기 때문에
더 섬세히 찾아보고 신중히 선택 할 필요가 있습니다!
무삭제라미네이트 병원 선택 시
첫번째 키포인트는 비교!!

무삭제라미네이트 치과 선택 시
놓치지 말아야 할 첫번째 포인트는
병원을 비교하는 것입니다.
병원마다 치료 프로세스와 치료 목표가 다르고
그에 따라 치료과정, 삭제량 등이 달라지기 때문에
여러 병원을 다녀보시고
그 중 내가 원하는 시술 방향과 방법을
선택하는 것이 가장 중요합니다.
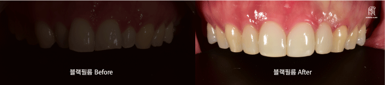
저희 2D 치과에는 무삭제라미네이트인
블랙필름이 있습니다.
<2D치과 무삭제라미네이트 블랙필름 후기>


2D치과 블랙필름 자세히 알아보기
무삭제 라미네이트 병원 선택 시
두번째 키포인트는 삭제량 확인하기

무삭제라미네이트를 하기 전
고려해야 할 두번째 포인트는
치아삭제량 입니다.
삭제를 하는 라미네이트는 치아를 삭제해서
넓고 얇게 만든 다음 팁을 붙이게 됩니다.
보기 불편했던 치아의 콤플렉스를 줄이고자
치아를 깎으며 진행하는 라미네이트는
이 시림, 염증, 잇몸변색, 통증 등이
발생할 수 있으니 신중하게 선택해야 합니다.
무삭제라미네이트는 삭제가 진행되지 않기 때문에
치아 기능을 잃어버리지 않도록 보존하며
시림과 통증 등의 부작용이 나타나지 않습니다.
자연치의 미세한 신경과 애나멜은 건드리지 않는 방법으로
무삭제라미네이트를 시행 할 수 있습니다.
무삭제라미네이트 고민중이시라면
아래 두가지를 꼭 기억하시기 바랍니다!
나에게 맞는 병원 선택하기
치아삭제량 확인하기
