아카이브 요약
이 페이지의 역할
2D치과의원의 네이버 블로그 원문을 보존한 아카이브 페이지입니다. 투디_정보 카테고리의 덧니만 부분교정으로 교정 할 수 있나요? 글을 통해 병원의 한국어 정보 제공 방식과 진료 관련 안내 톤을 확인할 수 있습니다.
원문 검증
필요하면 원문 블로그와 병원 프로필로 바로 이동해 문맥을 다시 확인할 수 있습니다.
출처 아카이브 열기아카이브된 블로그 글
치과의원 · ✅ 앞니에 대한 장인정신. Since 2016. 2D치과 ✅
안녕하세요. 강남역 신논현역에 위치한 2D치과입니다. 비뚤어진 구강구조 때문에 치아교정을 고민하시는 분들도 계시지만 다른 치아를 가리거나 정상 치열의 자리에서 벗어나 발생되는 덧니 때문에 치아교정을 고민하시는 분들도 많습니다. 덧니가 있으면.. 인상에도 영향을 주다보니 스트레스를 많이 받으시는 것 같...
게시일
2023년 1월 10일
원문 기준으로 확인된 발행일입니다.
카테고리
투디_정보
원문 블로그 카테고리를 정리해 함께 표시합니다.
이미지 수
17
현재 아카이브에 연결된 이미지 수입니다.
아카이브 요약
2D치과의원의 네이버 블로그 원문을 보존한 아카이브 페이지입니다. 투디_정보 카테고리의 덧니만 부분교정으로 교정 할 수 있나요? 글을 통해 병원의 한국어 정보 제공 방식과 진료 관련 안내 톤을 확인할 수 있습니다.
원문 검증
필요하면 원문 블로그와 병원 프로필로 바로 이동해 문맥을 다시 확인할 수 있습니다.
출처 아카이브 열기
안녕하세요.
강남역 신논현역에 위치한 2D치과입니다.
비뚤어진 구강구조 때문에
치아교정을 고민하시는 분들도 계시지만
다른 치아를 가리거나
정상 치열의 자리에서 벗어나 발생되는 덧니 때문에
치아교정을 고민하시는 분들도 많습니다.

덧니가 있으면..
인상에도 영향을 주다보니
스트레스를 많이 받으시는 것 같습니다.
덧니만 부분만 유독 치열이 고르지 않고
다른 부분은 치열이 고르기 때문에
교정을 미루시기도 하지만
결혼식이나 직업, 면접 등 때문에
교정을 선택하시는 분들도 많이 계십니다.
덧니 부분만 구조가 비뚤고 다른 치열은 고르다면
전체 교정을 해야 할까요?


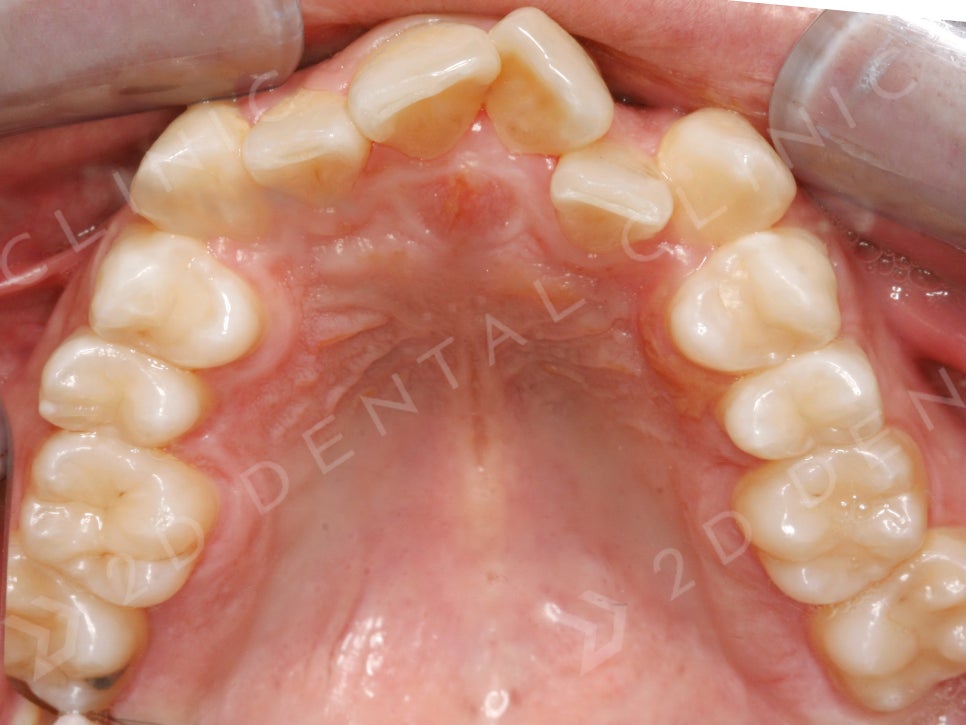
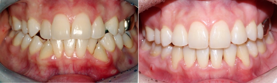
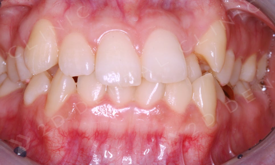
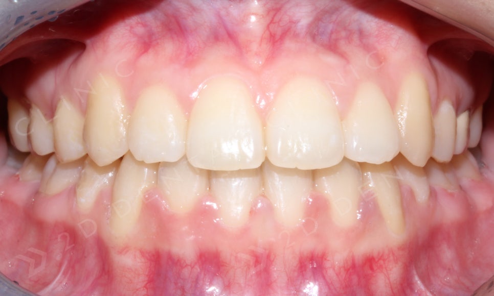
2D치과 덧니교정 사례
아닙니다!
덧니가 있는 부분만
부분교정으로도 치아교정이 가능합니다.
위 사례처럼 2D치과에서는 많은 2D교정 치료를 진행해
임상경험이 풍부한 의료진이 교정치료를 진행합니다.
덧니교정은 10대 ~ 20대 초반 연령층에게도
많은 관심을 받고 있지만
20대 후반에서 40대 초반 직장인분들도
많이 문의를 주고 계십니다.
아무래도 덧니는 외모 만족도에 영향을 미치기도 하고
인상, 이미지에도 영향을 많이 주기 때문인 것 같습니다.
그렇다보니!
영업직이나 서비스직, 사람들을
많이 만나야하는 직업군 일수록
더 관심을 갖으십니다.

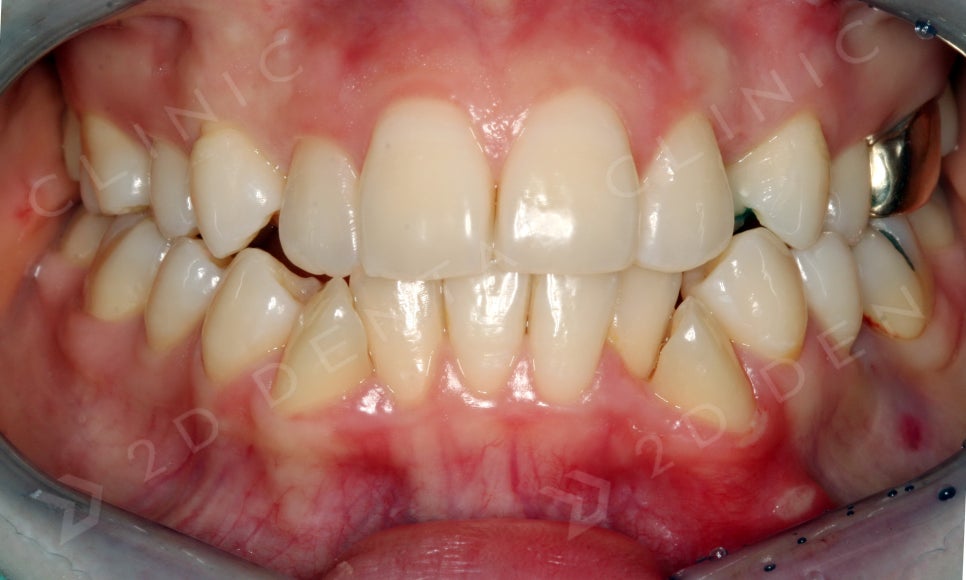
2D치과 덧니교정 사례
직장인분들이 방문하시면
"제가 30대인데.. 교정이 가능할까요?"
"저 너무 늦게 하는 거 아닌가요?"
라는 질문을 많이 하시는데,
절대 늦지 않았습니다!!
덧니교정은 치아 배열교정 뿐 아니라
전체적인 이미지 개선도 되나보니
나이와 상관없이 개인의 적정시기에 진행하십니다.
그러니 너무 늦었다고
포기 하지 않으셔도 됩니다!!
부분교정만으로도
덧니를 개선할 수 있나요?

네. 충분히 가능합니다.
저희 2D치과에도 다양한 덧니교정 사례가 있습니다.
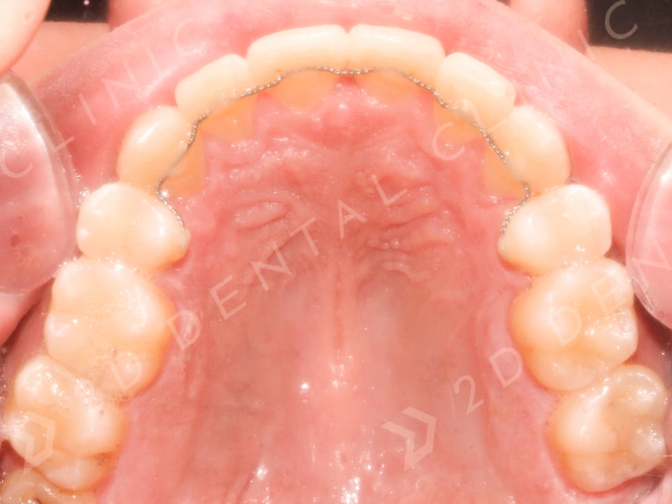
2D치과의 2D교정은 치아 안쪽 면에 부착하는
설측교정으로 티나지 않게 진행되기 때문에
보여지는 부담을 줄일 수 있습니다.


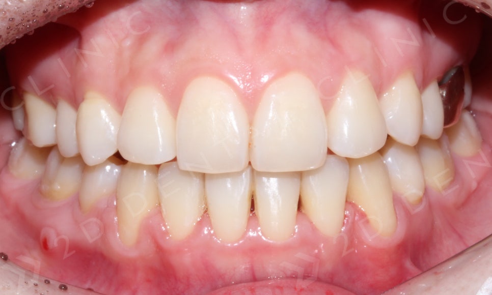
2D치과 덧니교정 사례


2D치과 덧니교정 사례
설측교정을 이용한 덧니교정은
교정 시간이 비교적 짧다는 장점이 있습니다.
자세한 기간은 개인의 치아 상태에 따라 다르기 때문에
병원에 방문하셔서 자세한 검사를 통해 진단과 상담을
받아보시는 것을 추천합니다.

2D교정은 설측장치 중
가장 얇은 2D브라켓을 이용하여
눈에 보이지 않는 치아 안쪽에
부착하여 진행합니다.
2D교정은 많은 설측교정 임상경험이 있는
의료진이 개발하여
기존 설측장치의 이물감과
발음 문제를 개선하였습니다.
2D교정의 가장 큰 장점은
비교적 저렴한 가격과 짧은 시간 안에
교정할 수 있다는 것 입니다.
비용과 시간의 불편함이 해소되어
결혼을 준비하시는 예비 신랑신부와
20대 후반부터 40대 이상의 직장인들에게도
인기가 많습니다.
2D치과의 특별함




Previous image Next image
저희 2D치과는 내원부터 귀가시까지
1:1 전담제로 밀착케어가 진행됩니다.
가장 특별한 점은
의료서비스와 호텔 컨시어지 서비스를 접목하여
만족도 높은 서비스를 제공한다는 점입니다.
또한 15년 이상 경력의 세라미스트가
상주하는 자체기공소를 운영하여
개개인의 맞춤 가공물을 제작하고 있습니다!
2D치과 자세히 알아보기
평생 사용해야 하는 치아이기에
치아교정 병원 선택은 더 신중해야 합니다:)

