아카이브 요약
이 페이지의 역할
2D치과의원의 네이버 블로그 원문을 보존한 아카이브 페이지입니다. 치아꿀팁 카테고리의 연예인라미네이트 무삭제로 잘하는 2D치과 글을 통해 병원의 한국어 정보 제공 방식과 진료 관련 안내 톤을 확인할 수 있습니다.
원문 검증
필요하면 원문 블로그와 병원 프로필로 바로 이동해 문맥을 다시 확인할 수 있습니다.
출처 아카이브 열기아카이브된 블로그 글
치과의원 · ✅ 앞니에 대한 장인정신. Since 2016. 2D치과 ✅
연예인라미네이트 무삭제로 잘하는 2D치과 안녕하세요 투디치과입니다(❁´◡❁) 오늘은 연예인라미네이트를 알아보고 계신 분들에게 도움이 되는 포스팅을 진행해보려합니다. 요즘 TV프로그램, 유튜브를 틀기만해도 가지런하고 예쁜 치아를 가진 분들을 상당히 많이 보실 수 있는데요, 이는 모두 연예인라미네이트를 진행한 분들이라...
게시일
2023년 2월 9일
원문 기준으로 확인된 발행일입니다.
카테고리
치아꿀팁
원문 블로그 카테고리를 정리해 함께 표시합니다.
이미지 수
23
현재 아카이브에 연결된 이미지 수입니다.
아카이브 요약
2D치과의원의 네이버 블로그 원문을 보존한 아카이브 페이지입니다. 치아꿀팁 카테고리의 연예인라미네이트 무삭제로 잘하는 2D치과 글을 통해 병원의 한국어 정보 제공 방식과 진료 관련 안내 톤을 확인할 수 있습니다.
원문 검증
필요하면 원문 블로그와 병원 프로필로 바로 이동해 문맥을 다시 확인할 수 있습니다.
출처 아카이브 열기안녕하세요 투디치과입니다(❁´◡`❁)
오늘은 연예인라미네이트를 알아보고 계신 분들에게 도움이 되는 포스팅을 진행해보려합니다.
요즘 TV프로그램, 유튜브를 틀기만해도 가지런하고 예쁜 치아를 가진 분들을 상당히 많이 보실 수 있는데요, 이는 모두 연예인라미네이트를 진행한 분들이라 생각하시면 됩니다(✿◡‿◡)


연예인들이 희고 고른 치아를 위해 라미네이트를 많이 하다보니 대중적으로 해당 치료에 대해서 잘 알고 있는 분들이 많은데요, 단순히 치아의 심미적인 부분만 고려하지 않고 교합 맞물림 상태를 조정해야 하며 보다 정밀한 기공 과정이 필요한 만큼 임상 경험과 노하우가 풍부한 곳을 선택하는 것이 정말 중요합니다!
☆저희 치아는 평생 쓰는 것이니 치과 선택도 신중히☆
저희 강남 신논현 투디치과는 연예인 협찬 없는 치과로 유명한데요, 이처럼 협찬이 없어도 연예인들이 스스로 예약을 하고 방문해주는 이유는 무엇일까요?
바로 100% 무삭제 라미네이트 [블랙필름] 때문입니다.
연예인라미네이트로 유명한
블랙필름이란?

블랙필름이란 치아의 불필요한 삭제 없이 얇은 코팅망을 통해 치아의 모양과 색상을 이상적으로 개선시켜주는 치료입니다. 이는 기계가 할 수없는 영역의 아주 얇은 두께가 요구되어 투디치과 내 있는 기공소에서 100% 수제작으로 만들어지고 있습니다.

수석 디자이너님과 함께
디자인하는 나의 치아!
투디치과에서 [블랙필름]으로 진행하는 모든 분들에게 수석 치아디자이너님께서 환자분의 얼굴, 잇몸, 치아질감 등 29가지 특성을 분석하고 환자 개인의 성향을 파악하기 위한 미팅을 통해 비스포크 기록지에 작성이 되어 기성품에서 재현할 수 없는 수준의 연예인 라미네이트 필름을 제작합니다.
두께는 0,1m이하로 제작되며 실제 환자분의 필름을 현장에서 게이지 측정하여 보여드린 후 치료가 진행됩니다.
연예인라미네이트
블랙필름
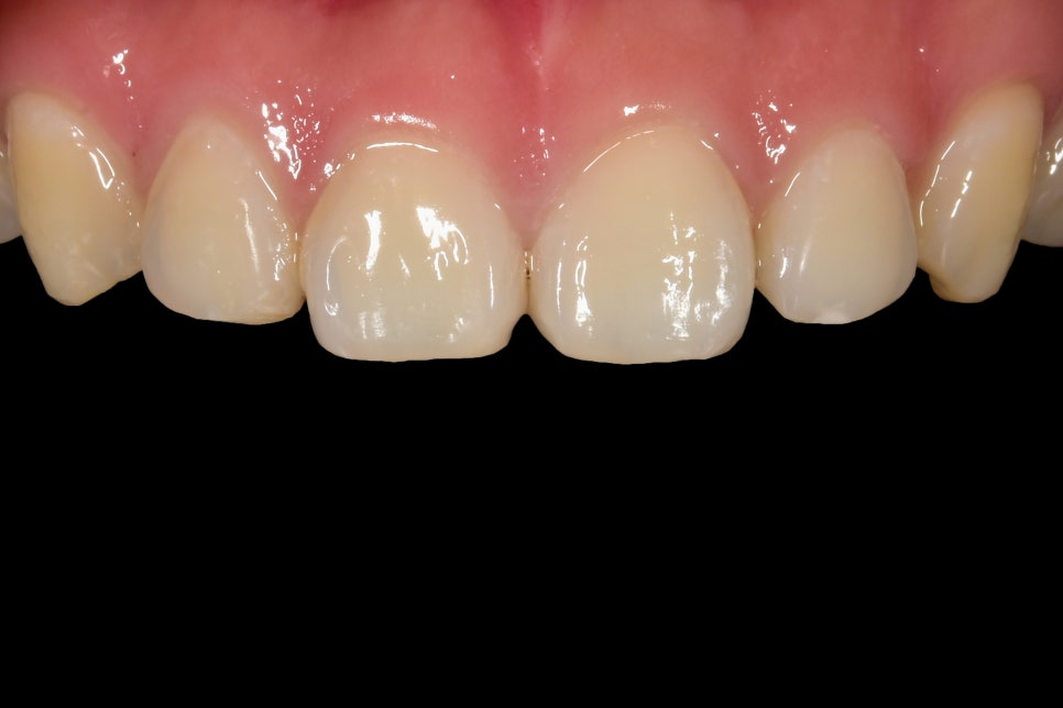
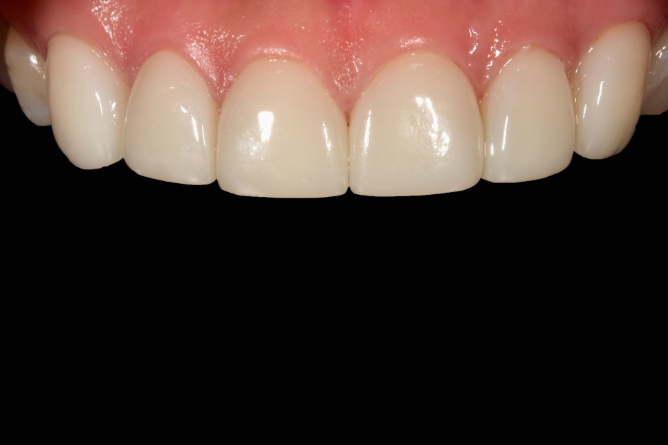
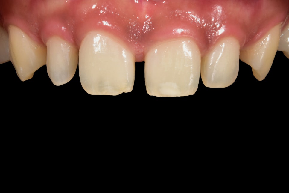
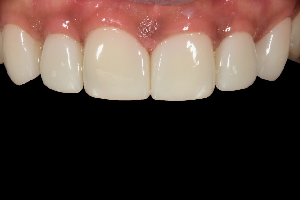
BEFORE & AFTER


변색치 개선


치아모양 개선


누런니, 토끼이빨 개선


타치과 라미네이트 교체


왜소치개선
연예인라미네이트
완성까지 얼마나 걸리나요?


한분 한분 맞춤으로 제작되는 연예인라미네이트 블랙필름은 섬세하고 정교하게 작업이 진행되기 때문에 위의 사진에서 보시다시피 기존에 알고 있는 1세대 라미네이트와는 차원이 다른 고퀄리티 결과물을 만나보실 수 있습니다(❁´◡`❁)
직원도 믿고 하는
무삭제라미네이트
위의 사진은 저희 투디치과에서 현재까지도 열심히 근무하고 계신 선생님이시고, 치아삭제 하나도 없었답니다. 실제로 환잔분께서 내원하시면 만나볼 수 있는 선생님이예요♥

제작기간은 블랙필름을 진행하는 갯수에 따라 다르겠지만 보통은 1주~2주정도 제작기간이 소요되며 제작후에 결과물을 환자분과 상의 후 컨펌이 진행되면 치아에 부착이 됩니다.
생각보다 빠른 시일내에 마무리가 되기 때문에 해외에서 무삭제라미네이트를 알아보고 계신분들도 저희 2D치과를 많이 방문해주시고 계시답니다♥




사실 치아라는게 모든 사람이 가지고 있는 구강상태가 다르기 때문에 꼭, 치과로 내원하셔서 1:1로 치아상태, 무삭제라미네이트비용까지 꼼꼼하게 상담을 받아보시고 신중한 선택을 하셔야합니다.
치아는 깎고나면 절대 다시 되돌릴 수 없으니, 정말 많이 알아보셔야하고 진짜 치아 삭제가 없는지, 다듬는다 해놓고 치아삭제를 하는건 아닌지, 꼼꼼하게 질문하고 견제하며 신중하게 치과를 결정해야합니다!


#연예인라미네이트 #라미네이트 #세라필름 #블랙필름
#강남치과 #신논현치과 #투디치과 #2D치과
나만의 테마 마스터 위젯 미션에 연재중인 글입니다.