아카이브 요약
이 페이지의 역할
2D치과의원의 네이버 블로그 원문을 보존한 아카이브 페이지입니다. 치아꿀팁 카테고리의 앞니라미네이트 잘하는 곳 : 2D치과 글을 통해 병원의 한국어 정보 제공 방식과 진료 관련 안내 톤을 확인할 수 있습니다.
원문 검증
필요하면 원문 블로그와 병원 프로필로 바로 이동해 문맥을 다시 확인할 수 있습니다.
출처 아카이브 열기아카이브된 블로그 글
치과의원 · ✅ 앞니에 대한 장인정신. Since 2016. 2D치과 ✅
앞니라미네이트 잘하는 곳 : 2D치과 안녕하세요 강남 신논현역 8번출구에 위치한 2D치과입니다. 요즘 저희 투디치과에 앞니라미네이트에 관해 상담을 하시는 분들이 상당히 많아지셨답니다. 마스크 벗는 시기에 맞춰 예쁘게 웃는 모습을 원하시기 때문에 라미를 진행하시는 분들이 많아진 것 같아요(❁´◡`❁) 20...
게시일
2023년 2월 13일
원문 기준으로 확인된 발행일입니다.
카테고리
치아꿀팁
원문 블로그 카테고리를 정리해 함께 표시합니다.
이미지 수
15
현재 아카이브에 연결된 이미지 수입니다.
아카이브 요약
2D치과의원의 네이버 블로그 원문을 보존한 아카이브 페이지입니다. 치아꿀팁 카테고리의 앞니라미네이트 잘하는 곳 : 2D치과 글을 통해 병원의 한국어 정보 제공 방식과 진료 관련 안내 톤을 확인할 수 있습니다.
원문 검증
필요하면 원문 블로그와 병원 프로필로 바로 이동해 문맥을 다시 확인할 수 있습니다.
출처 아카이브 열기안녕하세요
강남 신논현역 8번출구에 위치한 2D치과입니다.
요즘 저희 투디치과에 앞니라미네이트에 관해 상담을 하시는 분들이 상당히 많아지셨답니다. 마스크 벗는 시기에 맞춰 예쁘게 웃는 모습을 원하시기 때문에 라미를 진행하시는 분들이 많아진 것 같아요(❁´◡`❁)

2023/02/11 2D치과 앞니라미네이트 치료 직후 [정소영님]
하얗고 고른 치아를 통해서 깔끔하고 단정한 느낌을 주고 자신만의 긍정적인 이미지를 만드는 분들이 많답니다. (실제로 누렇게 변색이 된 치아의 경우 위생적이지 못한 느낌을 주기 때문에 본인도 모르는 사이 상대방에게 부정적인 이미지를 심어 줄 수도 있어요)
오늘은 저희 치과에서 앞니라미네이트 진료를 받으신 분들의 비포/애프터를 보여드리고 정말로 무삭제로 라미가 가능한지에 대해 이야기해보도록 할께요 !
위치, 운영시간, 주차안내
저희 투디치과는 신논현역 5번출구에 있는
아디다스 건물 8층에 위치해있구요,
주차장도 완비되어 있어서 차량을 가지고 오셔도 OK!
월요일, 화요일 10:00-19:00
수요일 휴무
목요일, 금요일 14:00-21:00
토요일 10:00-14:00
일요일 휴무
★ 사전에 카카오톡 플러스친구 또는 네이버톡톡으로 사전에 예약을 하고 방문하시면 웨이팅 없이 진료를 받으실 수 있습니다. 꼭! 예약하고 오시길 추천(✿◡‿◡)
앞니라미네이트 잘하는 곳
왜 2D치과 인가요?
라미네이트로 광고하는 곳 정말 많던데, 왜 투디치과를 추천드리는지 궁금하시다구요?


저희 2D치과엔 치아모양, 치아변색, 앞니깨짐 삐뚤빼뚤한 치아 등 다양한 이유로 인해 환자분의 치아가 상태가 마음에 들지 않을때 치료목적으로 많은 분들이 방문해주시는데요
진짜 무삭제 무마취!
100% 필름 수제작!
저희는 치아를 전.혀 삭제하지 않고 아주 얇은 0.1mm 두께의 맞춤형으로 제작된 세라믹 필름을 자연치에 그대로 부착하여 원하는 모양과 색상으로 만들어주는 심리치료를 진행하고 있기 때문입니다.
또한 치료과정에서 전혀 마취를 하지 않고 자연치아도 전혀 삭제하지 않아 마취에 민감한 임산부나 노약자분들도 안전하게 치료를 받을 수 있는 앞니치료를 진행하고 있어요!
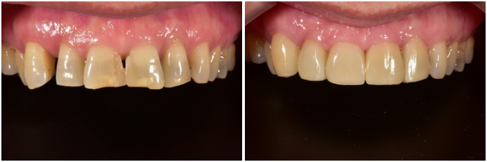
앞니라미네이트
투디치과에서 진행한
비포&애프터





무삭제라미네이트 [블랙필름]은 제작하는 단계에서도 자연치아와 비교했을 때, 티가 나지 않도록 주변 치아들과 색상과 모양을 맞춰 수작업으로 제작하기 때문에 인위적이지 않고 너무나도 자연스러운 치아를 가질 수 있답니다 ❤
보여드린 임상사진 이외에도 너무나도 많은 후기가 있으니 더 많은 사진후기는 저희 투디치과 공식 홈페이지를 참고해주세요φ(゜▽゜*)♪

앞니라미네이트뿐만 아니라 무삭제라미네이트[블랙필름] 치료를 진행하는 모든 환자분들은 치아수석디자이너님과 함께 치아의 상태를 체크하며 치아 부위별 미세 설계, 투명한 세라믹 위의 색상재현 기술을 경험 하실 수 있답니다.
앞니라미네이트의 경우 심미적인 목적으로도 많은 분들이 진행하고 계시지만 정말 치료의 목적으로도 많은 분들께서 진행하고 계시답니다.
고민이 있다면 치과로 내원하셔서 꼼꼼하고 정밀한 상담을 받아보시기를 추천드려요!
앞니장인이 있는 2D치과



너무나도 많고 다양한 케이스를 진료하고 치료하는 강남 신논현 투디치과 원장님들과 선생님들! 정말 다양한 임상경험을 바탕으로 숙련된 노하우를 보유한 의료진들이 이곳에 모여있답니다!
환자분들의 후기가 너무나도 좋은
강남 신논현 투디치과
이에따라 치료를 마친 환자분들의 만족도도 상당히 높은 편에 속하는데요, 네이버에 [투디치과] 검색 후에 환자분들이 직접 영수증을 인증하고 남긴 솔직한 후기들을 한번 살펴보셔도 좋습니다.

왜 저희 치과가 [무삭제라미네이트] 메인진료인 이유가 있겠죠? 더 이상은 고민은 뒤로하고 내원하셔서 꼼꼼한 상담을 받아보시고 이제는 예쁜 미소를, 자신감 있는 미소를 가질 수 있길바랍니다.
▼상담예약은 아래의 카카오플러스친구나
네이버톡톡으로 진행해주세요▼


#앞니라미네이트 #라미네이트 #무삭제라미네이트 #투디치과 #2D치과 #강남치과 #신논현치과 #블랙필름
나만의 테마 마스터 위젯 미션에 연재중인 글입니다.