아카이브 요약
이 페이지의 역할
2D치과의원의 네이버 블로그 원문을 보존한 아카이브 페이지입니다. 치아꿀팁 카테고리의 치아라미네이트 잘 하는 투디치과 글을 통해 병원의 한국어 정보 제공 방식과 진료 관련 안내 톤을 확인할 수 있습니다.
원문 검증
필요하면 원문 블로그와 병원 프로필로 바로 이동해 문맥을 다시 확인할 수 있습니다.
출처 아카이브 열기아카이브된 블로그 글
치과의원 · ✅ 앞니에 대한 장인정신. Since 2016. 2D치과 ✅
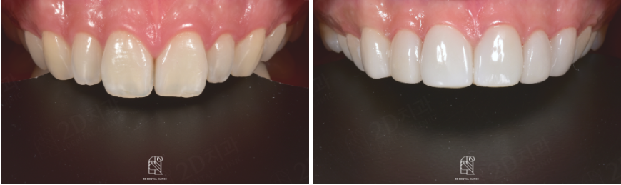
안녕하세요 신논현역 5번출구에 위치한 투디치과입니다(❁´◡`❁) 100세시대, 오랜 기간동안 사용해아하는 우리의 치아, 이런 치아의 모양이 마음에 들지 않다거나 색상이 탁한 경우 스스로의 콤플렉스가 될 수 있는데요, 이럴때에는 치아성형 또는 치아라미네이트를 통해서 심미적인 부분을 보완할 수 있답니다! 저희 2D치과...
게시일
2023년 2월 14일
원문 기준으로 확인된 발행일입니다.
카테고리
치아꿀팁
원문 블로그 카테고리를 정리해 함께 표시합니다.
이미지 수
22
현재 아카이브에 연결된 이미지 수입니다.
아카이브 요약
2D치과의원의 네이버 블로그 원문을 보존한 아카이브 페이지입니다. 치아꿀팁 카테고리의 치아라미네이트 잘 하는 투디치과 글을 통해 병원의 한국어 정보 제공 방식과 진료 관련 안내 톤을 확인할 수 있습니다.
원문 검증
필요하면 원문 블로그와 병원 프로필로 바로 이동해 문맥을 다시 확인할 수 있습니다.
출처 아카이브 열기안녕하세요
신논현역 5번출구에 위치한
투디치과입니다(❁´◡`❁)
100세시대, 오랜 기간동안 사용해아하는 우리의 치아, 이런 치아의 모양이 마음에 들지 않다거나 색상이 탁한 경우 스스로의 콤플렉스가 될 수 있는데요, 이럴때에는 치아성형 또는 치아라미네이트를 통해서 심미적인 부분을 보완할 수 있답니다!
저희 2D치과에서는 치아의 심미적인 부분이 고민이 되어 내원해주신 환자분들에게 자연치를 보존하면서 치료를 진행할 수 있도록 무삭제로 치아라미네이트를 진행하고 있답니다.
위치, 주차장, 운영시간



저희 투디치과는 신논현역 5번출구에 있는
아디다스 건물 8층에 위치해있구요,
주차장도 완비되어 있어서 차량을 가지고 오셔도 OK! 카카오플러스 친구로 주차장 확인 필수!
월요일, 화요일 10:00-19:00
수요일 휴무
목요일, 금요일 14:00-21:00
토요일 10:00-14:00
일요일 휴무
★ 사전에 카카오톡 플러스친구 또는 네이버톡톡으로 사전에 예약을 하고 방문하시면 웨이팅 없이 진료를 받으실 수 있습니다. 꼭! 예약하고 오시길 추천(✿◡‿◡)


저희 2D치과에서는 환자분의 치아를 전혀 삭제하지 않기 때문에 치과에만 오면 들을 수 있는 특유의 소리 윙~을 들을 수도 없고 무마취로 진행되는데요,
또한 기존에 있던 자연치와 치아라미네이트가 잘 어울릴 수 있도록 수석치아디자이너와 함께 디자인 작업을 하며 여러가지 체크사항을 거쳐 꼼꼼하게 미팅이 진행되어 만족스러운 결과물을 확인하실 수 있답니다.
환자분들의 다양한 후기




더 이상 과대광고에 속지마세요
진짜 환자분들의 후기를 확인하세요!
너무나도 만족스러운 결과물과 엄청난 친절함으로 한명의 환자로부터 상당히 많은 환자분들이 소개를 받고 내원을 해주시고 계시는 곳이 바로 저희 투디치과랍니다.




치아라미네이트를 하신분들은 자연치아와 유사하기 때문에 더욱 더 높은 만족감을 느끼시는 분들이 많은데요. 이러한 만족감을 드리기 위해 저희 의료진은 다양한 노하우와 경력을 보유하고 있답니다(●ˇ∀ˇ●)
★ 더 많은 후기는 네이버에 2D치과를 검색하신 후에 영수증리뷰를 확인해주세요★
원내 기공소 보유

또한 저희 2D치과 원내에 자체 기공소가 있기 때문에 환자분의 빠른 피드백 수용이 가능하며 원하는 디자인에 맞춰 수정이 가능하다는 장점이 있습니다. 사람마다 구강상태가 다르기 때문에 치아의 상태를 꼼꼼히 체크한 후 자연치와 어울릴 수 있는 색상으로 치아라미네이트를 제작하고 있답니다.
▼투디치과만의 맞춤제작 라미네이트 자세히보기▼
https://blog.naver.com/standard2875/222886365074



진짜! 토끼이빨 탈출 가능!
만약 토끼이빨처럼 큰 두개의 앞니를 가지고 있어서 고민이 있으신 분들은 기능적으로도 불편함을 느끼시고, 심미적으로도 많은 고민을 하게 되는데요, 이러한 분들은 꼭! 저희 투디치과에 방문하셔서 기능적, 심미적인 부분을 개선해서 아름다운 미소를 되찾으시길 바랍니다φ(゜▽゜*)♪

10년 보증해드립니다!
그 만큼 자신있다는 증거!
특히 저희 치과는, 다른곳에서 라미네이트시술을 받으시고 A/S부분에서 불만족을 느끼시고 찾아주시는 분들이 상.당.히 많으신데요, 치아라미네이트를 진행하기 전 보증기간도 꼭! 체크하신 후 진행하시길 바랍니다. 저희 투디치과는 무삭제 라미네이트 [블랙필름]은 10년까지 보증을 해드리고있답니다.

블랙필름 시술 후, 환자분께서 직접 보내주신 셀카
치아라미네이트를 하고 나서는 꾸준하게 관리를 해주는 것도 상당히 중요한데요, 잘못된 치아 습관을 고치고 치실과 양치질을 꼼꼼히 해주셔야합니다. 이처럼 시술을 받으신 이후에도 다양한 원인으로 재시술을 받아야 할 수 있기 때문에 사후관리도 정말 중요한점이예요!
운동을 하다가 운동기구에 부딪혀서 라미네이트가 깨졌어요, 젓가락을 세게 물어서 깨졌어요 등등 이러한 다양한 이유로 재시술을 받아야 할 수있으니 관리도 정말 중요해요!

무삭제라미네이트를 진행한 2D치과 직원
하얗고 예쁜 미소로 깔끔한 인상을 만들어보고 싶은 분들은
하루빨리 저희 투디치과에서 무삭제 치아라미네이트로 콤플렉스를 극복해보시길 바랍니다.


#치아라미네이트 #라미네이트 #무삭제라미네이트 #투디치과 #2D치과 #ㅌㄷ치과 #신논현치과 #강남치과 #라미네이트잘하는곳
나만의 테마 마스터 위젯 미션에 연재중인 글입니다.