아카이브 요약
이 페이지의 역할
2D치과의원의 네이버 블로그 원문을 보존한 아카이브 페이지입니다. 치아꿀팁 카테고리의 앞니깨짐 라미네이트로 자연스럽게! 글을 통해 병원의 한국어 정보 제공 방식과 진료 관련 안내 톤을 확인할 수 있습니다.
원문 검증
필요하면 원문 블로그와 병원 프로필로 바로 이동해 문맥을 다시 확인할 수 있습니다.
출처 아카이브 열기아카이브된 블로그 글
치과의원 · ✅ 앞니에 대한 장인정신. Since 2016. 2D치과 ✅
앞니깨짐 라미네이트로 자연스럽게! 안녕하세요 신논현역 5번출구에 위치한 투디치과입니다(❁´◡`❁) 다양한 원인으로 인해 앞니 라미네이트를 고려하시는 분들이 상당히 많으신데요, 예상치 못한 충격으로 인하여 치아가 깨지거나 심미적으로 불편한 상태에 놓이게 되어서 저희 치과로 내원해주시는 환자분들께서 생각보다 많다는 사실!...
게시일
2023년 2월 16일
원문 기준으로 확인된 발행일입니다.
카테고리
치아꿀팁
원문 블로그 카테고리를 정리해 함께 표시합니다.
이미지 수
17
현재 아카이브에 연결된 이미지 수입니다.
아카이브 요약
2D치과의원의 네이버 블로그 원문을 보존한 아카이브 페이지입니다. 치아꿀팁 카테고리의 앞니깨짐 라미네이트로 자연스럽게! 글을 통해 병원의 한국어 정보 제공 방식과 진료 관련 안내 톤을 확인할 수 있습니다.
원문 검증
필요하면 원문 블로그와 병원 프로필로 바로 이동해 문맥을 다시 확인할 수 있습니다.
출처 아카이브 열기앞니깨짐
라미네이트로 자연스럽게!
안녕하세요
신논현역 5번출구에 위치한
투디치과입니다(❁´◡`❁)
다양한 원인으로 인해 앞니 라미네이트를 고려하시는 분들이 상당히 많으신데요, 예상치 못한 충격으로 인하여 치아가 깨지거나 심미적으로 불편한 상태에 놓이게 되어서 저희 치과로 내원해주시는 환자분들께서 생각보다 많다는 사실!
▼위치확인▼
저희 투디치과는 신논현역 5번출구에 있는
아디다스 건물 8층에 위치해있습니다.
내원해주시는 분들에 한해서 치과 근처 3곳의 주차장에 주차지원을 해드리고 있기 때문에 차량을 가지고 오셔도 OK! 카카오플러스 친구로 주차장 확인 필수입니다φ(゜▽゜*)♪
월요일, 화요일 10:00-19:00
수요일 휴무
목요일, 금요일 14:00-21:00
토요일 10:00-14:00
일요일 휴무
★ 사전에 카카오톡 플러스친구 또는 네이버톡톡으로 사전에 예약을 하고 방문하시면 웨이팅 없이 진료를 받으실 수 있습니다. 꼭! 예약하고 오시길 추천(✿◡‿◡)
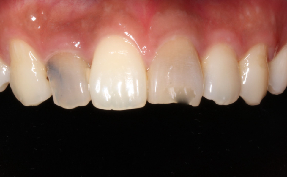
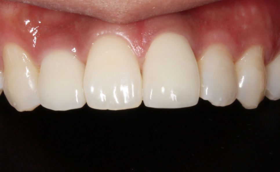
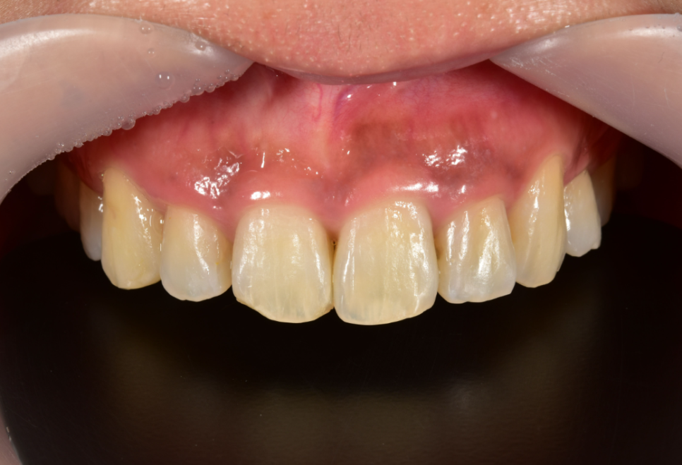
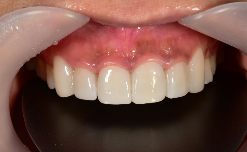
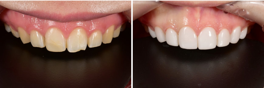
앞니깨짐의 문제점

BEFORE

AFTER
앞니깨짐과 같은 상황이 발생하게되면 치아를 상대방에게 보여주지 않기 위해 입을 가리고 웃거나 말을 할때도 발음이 이상해지는 등 다양한 문제가 생길 수 있답니다.
누군가의 얼굴을 마주했을 때 첫 이미지를 결정짓는 요소로 작용하는 치아 그리고 미소. 앞니는 심미성에서 큰 역활을 하기 때문에 문제가 생긴 경우에는 빠른 치료를 진행하는 것이 좋습니다(✿◡‿◡)

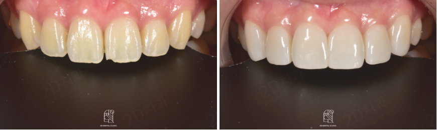
BEFORE

AFTER
앞니가 깨졌다면 꼼꼼한 상담을 통해서
그에 맞는 치료방법을 선택해야합니다.

앞니는 음식물을 절단하는 역할을 하고 얼굴의 정면에 위치한 치아인 앞니가 치아깨짐이 가장많이 발생하는데요. 치아가 깨진 경우에는 깨진 정도에 따라 치료방법이 달라지는데 깨짐이 작은 경우에는 비교적 간단히 치료가 가능하고 파손범위가 넓고 신경손상까지 의심된다면 엑스레이 촬영을 통해 치아 뿌리에 이상이 있는지 확인해야합니다.
다양한 앞니깨짐 임상을 보유한
강남 신논현 투디치과




이렇게 앞니깨짐과 같이 문제가 생길 경우에는 더욱 자연스럽고 퀄리티 높은 시술을 통해 심미성에서 유리할 수 있도록 실력있는 곳에서 치료를 받는 것이 중요한데요.
특히 하루에 다양한 사람들을 만나는 서비스직에 종사하시는 분들께서는 이러한 부분에 대해 더욱 중요하게 생각하시기 때문에 저희 2D치과를 많은 분들이 찾아주고 계신 것 같아요.
앞니 한땀 한땀
장인의 손길로 재 탄생 시켜드립니다.

2016년부터 2D치과 대표원장님께서 앞니장인이라는 타이틀이 괜히 생긴 것이 아닙니다. 저희는 앞니 고민으로 내원해주신 많은 환자분들을 치료해드리면서 엄청난 케이스와 임상을 보유하고 있습니다.
무삭제 라미네이트
블랙필름
오늘은 이러한 앞니깨짐을 치료하기 위한 치아무삭제로 진행되는 앞니라미네이트에 대해서 자세히 알아보도록 하겠습니다.

투디치과 무삭제 라미네이트 전용 [블랙필름]은 우수한 심미성을 가지고 있고 레진보다 강도나 마모 저항성이 우수하는 장점을 가지고 있어 앞니가 약간 깨진 경우 앞니깨짐을 치료할 뿐만 아니라 심미성까지 함께 개선이 가능합니다.


무삭제라미네이트 블랙필름의 특성상 얇기가 매우 얇아야하며 투명함으로 인해 치아의 모든 표면이 비쳐보여 보정과 색상재현 등 환자분에게 맞는 맞춤 제작이 100% 수제작으로 진행되는 필름입니다. 그리고 가장 큰 장점인 치아를 전혀 삭제하지 않고 필름을 제작한다는 점입니다.

이외에도 환자분마다 가지고 있는 교합의 특성, 식사 시 턱의 움직임, 이갈이와 같은 습관들, 치열의 삐뚤거림, 방송촬영 여부 등 다양한 요소를 고려하여 맞춤 제작 되기 때문에 수명 또한 길어지는 장점이 있습니다. 그리고 모든 위의 요소들을 고려하여 필름이 맞춤 되작되기 때문에 내원해주시는 환자분의 치료 만족도가 상당히 높은편입니다.

치아가 이상이 있다면
무조건 치과로 내원하셔서 검진받으세요!
특히 특별히 치아를 다친 기억이 없는데 음식을 씹을 때 아프거나 멍한 느낌이 든 경우에는 눈에 보이지 않는 균열이 생겼거나 염증이 있다는 신호일 수 있으므로 치과에 내원하는 것이 좋습니다.
이젠 저희 투디치과와 함께 자신있는 미소를 지어보는건 어떠세요? 실시간 상담과 예약을 아래의 이미지배너를 클릭해서 진행해주세요(●ˇ∀ˇ●)


#앞니깨짐 #앞니라미네이트 #무삭제라미네이트 #라미네이트 #투디치과 #2D치과 #ㅌㄷ치과 #신논현치과 #강남치과 #라미네이트잘하는곳
나만의 테마 마스터 위젯 미션에 연재중인 글입니다.