아카이브 요약
이 페이지의 역할
2D치과의원의 네이버 블로그 원문을 보존한 아카이브 페이지입니다. 치아꿀팁 카테고리의 강남라미네이트치과 추천 : 진짜 무삭제, 투디치과! 글을 통해 병원의 한국어 정보 제공 방식과 진료 관련 안내 톤을 확인할 수 있습니다.
원문 검증
필요하면 원문 블로그와 병원 프로필로 바로 이동해 문맥을 다시 확인할 수 있습니다.
출처 아카이브 열기아카이브된 블로그 글
치과의원 · ✅ 앞니에 대한 장인정신. Since 2016. 2D치과 ✅
무삭제 라미네이트 제대로 진행하는 이 곳! 강남 신논현 투디치과 2D치과 2디치과 안녕하세요 강남 신논현역 5번출구에 위치한 투디치과입니다(❁´◡`❁) ★ 목,금 야간진료 ★ 활짝 웃었을 때 가지런한 치아가 드러난다면 미소가 한층 더 아름다워지면서 다른 사람들에게 호감이 가는 긍정적인 인상을 남길 확률이 높아지는데요....
게시일
2023년 2월 17일
원문 기준으로 확인된 발행일입니다.
카테고리
치아꿀팁
원문 블로그 카테고리를 정리해 함께 표시합니다.
이미지 수
23
현재 아카이브에 연결된 이미지 수입니다.
아카이브 요약
2D치과의원의 네이버 블로그 원문을 보존한 아카이브 페이지입니다. 치아꿀팁 카테고리의 강남라미네이트치과 추천 : 진짜 무삭제, 투디치과! 글을 통해 병원의 한국어 정보 제공 방식과 진료 관련 안내 톤을 확인할 수 있습니다.
원문 검증
필요하면 원문 블로그와 병원 프로필로 바로 이동해 문맥을 다시 확인할 수 있습니다.
출처 아카이브 열기무삭제 라미네이트 제대로 진행하는 이 곳!
강남 신논현 투디치과 2D치과 2디치과
안녕하세요
강남 신논현역 5번출구에 위치한
투디치과입니다(❁´◡`❁)
★ 목,금 야간진료 ★
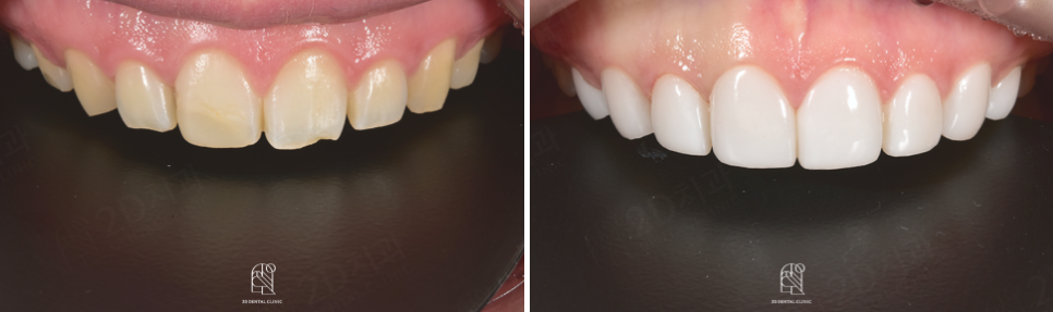
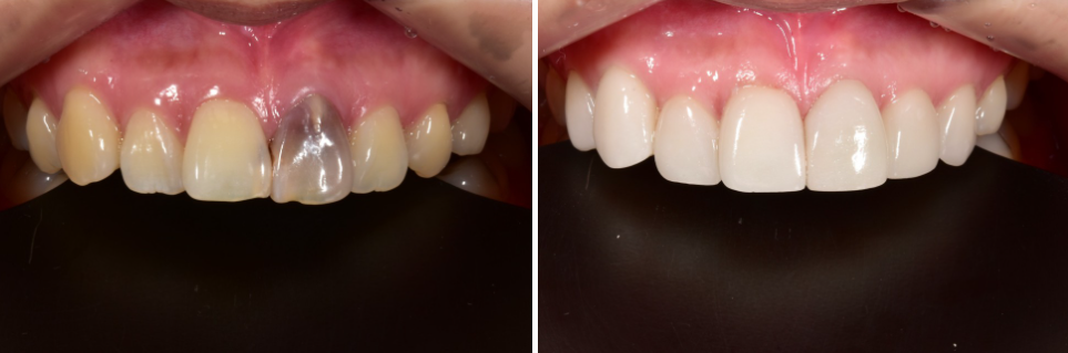
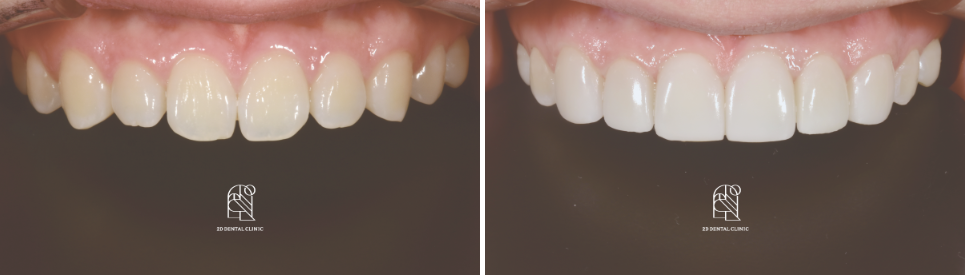
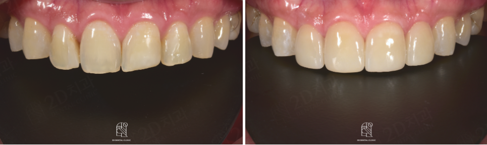
활짝 웃었을 때 가지런한 치아가 드러난다면 미소가 한층 더 아름다워지면서 다른 사람들에게 호감이 가는 긍정적인 인상을 남길 확률이 높아지는데요. 때문에 저희 투디치과에서는 치아를 전혀 삭제하지 않는 무삭제라미네이트 [블랙필름]이라는 시술을 진행중입니다.
요즘 저희 치과에 강남라미네이트를 검색하신 후 다른 치과를 방문 후 상담을 받고 오신 분이나, 타 치과에서 라미를 하고 삭제량이 많아서 재검색 후에 찾아오시는 분들이 상당히 많아졌는데요,
저희는 항상 친절하게 말씀드리고 있습니다.
치아 무삭제 100% 가능합니다.



무삭제로 라미네이트를 하기 위해서는 아래의 두가지가 꼭! 충족이 되어야합니다. 이건 강남라미네이트를 검색해서 나오는 모든 치과에서 동일하게 적용되는 조건입니다.
첫째, 얇아야한다.
둘째, 색상재현, 수정이 가능한 실력이 있어야한다.
라미네이트를 얇게 만들기 위해서는 기공사가 한땀 한땀 수제작으로 만들어야하는데 그러기 위해서는 제작기간도 길어지고 인건비가 상당히 많이 발생하기 때문에 치과를 운영하는 입장에서는 어려운 상황에 직면하게 됩니다.
왜? 강남라미네이트로 유명한
투디치과는 가능한건가요? 어떻게?

첫째, 100% 수제작으로 0.05mm 단위의 섬세한 주조기술을 보유중입니다. 무삭제라미네이트 블랙필름은 현재 가장 강력한 디지털 장비가 따라 올 수 없는 극단의 영역에서 제작이 이루어집니다. 치아와 치아 사이의 극도로 얇아지는 부위는 장인의 정교한 손기술이 필요한 영역입니다. 치아의 불규칙한 굴곡을 섬세하게 따라가는 필름의 두께조절도 최신 기계조차 해낼 수 없는 영역입니다. 투디치과에서 만나볼 수 있는 블랙필름은 이러한 주조기술로 제작되며 극도로 얇은 두께와 치아의 표면과 우수한 적합도를 보여줍니다.
둘째, 완전맞춤 비스포크 치아 디자인을 진행합니다. 치아의 단점을 가리고 장점을 살리는데 포커스가 맞춰집니다. 얼굴, 잇몸, 치아질감 등 29가지 특성을 분석하고 환자 개인의 성향을 파악하기 위한 미팅을 통해 비스포크 기록지가 완성됩니다. 전문 치아 수석디자이너의 조언을 통해 세상에 단 하나뿐인 아름다운 치아를 선사합니다.
셋째, 현존하는 가장 강력한 치과용 세라믹 브랜드 Ivoclar vivadent의 e.max와 제휴 하에 제작됩니다. 일반용보다 강도가 높은 주조용 e.max Press를 사용합니다. 특유의 투명감이나 치아 표면의 형광 틍성이 잘 나타나 매우 투명한 필름제작이 가능하며 CAD보다 강도가 높기 때문에 얇은 두께에서도 강력한 성능을 발휘합니다.

▶ 사진클릭 후, 영상을 시청하실 수 있습니다◀

▶ 사진클릭 후, 영상을 시청하실 수 있습니다◀

▶ 사진클릭 후, 영상을 시청하실 수 있습니다◀
왜 다른 곳에서는 치아를 자꾸
삭제해야한다고 말하는 걸까요?
첫째, 치과 기공소에서 제작할 때 라미네이트가 얇아질수록 시간이 3배이상 오래 소요되며 인건비도 덩달아 상승한다.
둘째, 실제로 0.1mm의 얇은 라미네이트를 제작할 때엔 약간의 부주의로 쉽게 깨지기 때문에 기공소에서는 얇은 라미네이트 제작은 불가능하다고 한다.
셋째, 아주 얇은 라미네이트는 투명하기때문에 치아 무삭제로 진행하게되면 얼룩이지고 불규칙한 치아의 표면이 전부 투과되어 올라와 예쁜 색상의 치아를 만드는 일이 상당히 어렵다.
이러한 어려움을 해결할 수 있는 방법은 바로 "치아삭제"입니다. 삭제한만큼 라미네이트 두께를 두껍게 제작해도 되며 치아표면을 균일하게 깎아내야 라미네이트 색을 맞추기도 쉽기 때문입니다.
강남라미네이트
신논현2D치과 블랙필름 후기








강남라미네이트를 검색하셔서 다양한 치과를 만나보셨을텐데요, 치아는 한번 깎고나면 절대 이전의 치아로 되돌아 갈 수 없기에 치과를 선택할때에는 무삭제 라미네이트 시술에 대한 임상케이스가 많고 환자에게 알맞는 모양을 제작할 수 있는 곳을 선택해야합니다. 정말 정말 신중하셔야해요.
평생쓰는 치아는
라미네이트도 전문가에게 맡겨야합니다.
저희 투디치과는 무삭제 라미네이터를 메인진료로 임하고 있는 만큼 수 없이 많은 데이터를 축적해왔습니다. 그 만큼 환자분에게 잘 어울리며 이상적인 치아가 무엇인지 명료하게 설명이 가능합니다φ(゜▽゜*)♪


무삭제라미네이트를 하기로 마음 먹으셨다면 의료진과 꼼꼼한 상담을 통해 자연치아를 보존하는 방향으로 철저하게 치료계획을 수립하고 무삭제 진료를 진행하는 것을 권해드려요.




강남라미네이트를 검색하셔서 지금 방대한 정보를 얻기 위해 다양한 치과를 많이 만나보셨을텐데요, 저희 처럼 라미네이트를 전문으로 진행하는 치과는 만나보시기 어려웠을것이라 생각됩니다.
저희 강남 신논현 2D치과는 내원해주시는 모든분들에게 처음부터 끝까지 정성을 다하며 치아삭제 일절 없이 예쁜 미소를 가지게 도와드리고 있습니다.
강남라미네이트를 검색하신 후 저희의 게시글을 접했다면 조금이나마 치과선택에 도움이 되기를 바라며 빠른 문의는 아래의 카카오톡 플러스친구를 추가한 후 문의해주세요♥


#강남라미네이트 #강남치과 #신논현치과 #투디치과 #2D치과 #ㅌㄷ치과 #2ㄷ치과 #라미네이트 #무삭제라미네이트
나만의 테마 마스터 위젯 미션에 연재중인 글입니다.