아카이브 요약
이 페이지의 역할
2D치과의원의 네이버 블로그 원문을 보존한 아카이브 페이지입니다. 치아꿀팁 카테고리의 무삭제 라미네이트 교정 고민중이라면? 글을 통해 병원의 한국어 정보 제공 방식과 진료 관련 안내 톤을 확인할 수 있습니다.
원문 검증
필요하면 원문 블로그와 병원 프로필로 바로 이동해 문맥을 다시 확인할 수 있습니다.
출처 아카이브 열기아카이브된 블로그 글
치과의원 · ✅ 앞니에 대한 장인정신. Since 2016. 2D치과 ✅
무삭제 라미네이트 교정 고민중이라면? 안녕하세요 앞니장인이 상주하는 투디치과입니다(❁´◡❁) 외모에 관심을 가지는 분들이 나날이 늘어가면서 치과를 찾아오시는 분들 중에서도 얼굴의 분위기나 인상을 개선을 원하여 심미적으로 치료를 받기위해 2D치과로 내원하시는 분들이 많이 늘어나고 있습니다. 심미치료는 사람들의 눈에 잘...
게시일
2023년 2월 20일
원문 기준으로 확인된 발행일입니다.
카테고리
치아꿀팁
원문 블로그 카테고리를 정리해 함께 표시합니다.
이미지 수
16
현재 아카이브에 연결된 이미지 수입니다.
아카이브 요약
2D치과의원의 네이버 블로그 원문을 보존한 아카이브 페이지입니다. 치아꿀팁 카테고리의 무삭제 라미네이트 교정 고민중이라면? 글을 통해 병원의 한국어 정보 제공 방식과 진료 관련 안내 톤을 확인할 수 있습니다.
원문 검증
필요하면 원문 블로그와 병원 프로필로 바로 이동해 문맥을 다시 확인할 수 있습니다.
출처 아카이브 열기무삭제 라미네이트 교정
고민중이라면?
안녕하세요
앞니장인이 상주하는 투디치과입니다(❁´◡`❁)
외모에 관심을 가지는 분들이 나날이 늘어가면서 치과를 찾아오시는 분들 중에서도 얼굴의 분위기나 인상을 개선을 원하여 심미적으로 치료를 받기위해 2D치과로 내원하시는 분들이 많이 늘어나고 있습니다.



심미치료는 사람들의 눈에 잘 보이기도 하고 거울을 볼때마다 신경이 쓰이는 부분인데요, 말을 하거나 웃을 때 바로 보이는 앞니를 개선하고자 하는 분들은 라미네이트 교정 두 단어를 한번쯤은 검색을 해보셨을텐데요.
라미네이트 교정이 심미적인 치료로 국한되어 생각할 수 있지만 치료의 목적에 의해서도 진행할 수 있으며 환자분들이 어떠한 이유로 치료를 하고자 하는지에 대한 원인을 저희 치과로 내원을 해주시는 환자분들과 꼼꼼한 상담을 통해서 정확하게 분석하고 치료 계획을 세우게 됩니다.
무삭제라미네이트
블랙필름


라미네이트 교정을 포함해서 심미치료에는 여러가지가 있지만 그 중에서도 저희 투디치과에서 가장 핫하고 인기 있는 시술은 무삭제라미네이트 [블랙필름]을 꼽을 수 있습니다.
위에 보이는 이미지는 실제 블랙필름을 촬영한 사진인데요, 보기에도 실제 환자분의 치아에 부착되는 라미네이트 필름이 상당히 얇음이 느껴지지않나요? 기계가 할 수 없는 두께의 영역이라 앞니장인분들의 손으로 100% 수작업되어 제작됩니다.
필름이 얇아지는 만큼 부위별로 투명도가 달라지며 실제 치아에 부착할 시 치아색과 혼합되며 색상을 맞추기가 매우 어려운 상태가 됩니다. 일반적으로 타 치과에서는 치아의 색상을 맞추는 것과 사소한 부주의로 필름이 깨져버리는 이러한 어려움을 극복하지못해 무삭제 라미네이트를 시술하지 못합니다.
라미네이트 교정 고민이라면?
투디치과에서 빠르게 해결 !


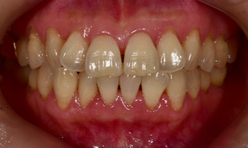
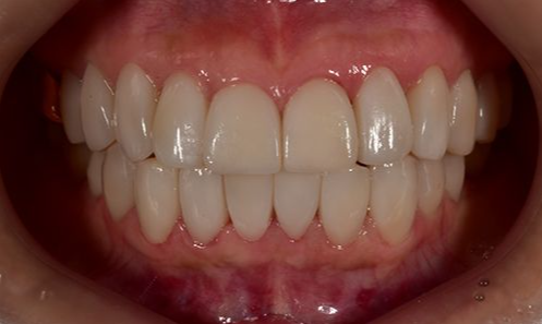
이전에 치아배열과 누런색상이 고민이여서 저희 투디를 내원해주신 환자분이신데요, 라미네이트 교정 둘중이 어떤 시술을 받을지 고민하시다가 결국은 무삭제라미네이트 블랙필름을 시술을 받으셨답니다.
전/후 사진을 비교해보면 정말 치아가 가지런하고 예뻐지지 않았나요~?
무삭제 라미네이트 [블랙필름]
A/S 10년 보증
업계유일, 업계최장기간A/S
저희 투디치과에서는 무삭제라미네이트 [블랙필름] 보증기간을 10년까지 해드리고 있습니다. 요즘 저희 치과에는 저렴하게 라미네이트 시술을 받으시고 사후관리가 제대로 안되어서 투디를 찾아주시는 분들이 꽤 많으신데요, 저희가 10년이라는 긴 시간동안 보증을 해드린다는건 그 만큼 자신있다는 증거라고 할 수 있겠죠?
환자가 환자를 안심하고
소개해주는 2D치과




후기들이 증명하는
상담부터 치료끝까지 담당자가 책임지는
1:1 전담케어 시스템
실제로 치과를 내원해서 상담을 받고난 뒤, 치료를 들어가면 막상 담당자가 바뀌어서 당황하신적 있지 않으신가요? 저희 2D치과에서는 상담부터 치료가 끝날때까지 담당자가 전담으로 지정되는 시스템으로 운영중인데요, 이러한 시스템에 반하여 환자분들이 직접 주위에 치과를 추천해주는 케이스가 상당히 많아졌답니다(●ˇ∀ˇ●)
소개를 하고나면 소개뽑기라는 소소하고 재미난 시간도 주어지는데요, 얼마전엔 애플워치를 뽑아가신 '이승혁'님! 저희 고은주실장님과 함께 찍은 사진은 인스타 또는 블로그 널리널리 많이 뿌려달라고 직접 말해주셨답니다. 기뻐하는 모습을 보니 저희도 너무 좋은 시간이였답니다💜💙



어떠한 목적을 가지고 치과를 선택할 때에는 가격대를 비교하여 저렴한 곳을 택하거나 바로 진료가 가능한 곳을 선택하기 보다는 자신의 치아 건강을 위하여 치아 삭제를 하지 않는 곳을 선택해야합니다. 치아는 한번 삭제를 하게 되면 영원히 되돌릴 수 없는 상태가 되기 때문에 정말 정말 신중하게 치료를 진행할 곳을 선택하셔야합니다.
운영시간, 위치, 예약문의
강남이라는 지역 특성상 많은 직장인분들께서 저희 치과를 내원해주시고 계신데요. 목요일, 금요일은 직장인 분들을 위해 오후 9시까지 진료를 진행하고 있으니 카카오톡 플러스친구로 편하게 예약하신 후 내원해주시면 됩니다`(>﹏<)′
평일에 시간을 내기 어려우신 분들은 토요일에도 오전 10시부터 오후2시까지 정상진료를 진행중이니 환자분의 시간에 맞춰서 사전에 예약하신 후 내원해주시면 됩니다💜
사전에 온라인 예약을 하고 내원해주셔야 기다리는 시간 없이 바로 바로 진료가 가능하다는 점! 카카오톡에 '투디치과'를 검색하셔서 편하게 예약문의주세요.


#라미네이트교정 #라미네이트 #무삭제라미네이트 #교정라미네이트 #투디치과 #2D치과 #ㅌㄷ치과 #강남치과 #신논현치과 #라미네이트잘하는곳 #앞니깨짐 #치아라미네이트 #앞니라미네이트 #무삭제라미네이트후기
나만의 테마 마스터 위젯 미션에 연재중인 글입니다.