아카이브 요약
이 페이지의 역할
2D치과의원의 네이버 블로그 원문을 보존한 아카이브 페이지입니다. 2D 리얼후기 카테고리의 무삭제블랙필름 실제 후기 글을 통해 병원의 한국어 정보 제공 방식과 진료 관련 안내 톤을 확인할 수 있습니다.
원문 검증
필요하면 원문 블로그와 병원 프로필로 바로 이동해 문맥을 다시 확인할 수 있습니다.
출처 아카이브 열기아카이브된 블로그 글
치과의원 · ✅ 앞니에 대한 장인정신. Since 2016. 2D치과 ✅
안녕하세요 또 다시 주말이 왔네요^^ 무삭제라미네이트 [블랙필름], 치아삭제 시 100% 환불을 보장해드리고 있는 투디치과입니다 :D 요즘 저희 치과로 무삭제블랙필름에 대한 문의와 상담예약이 폭발적으로 늘어나고 있습니다! 많은 분들이 궁금해하시는 무삭제블랙필름에 대해서 먼저 설명드리도록하겠습니다💛 무삭...
게시일
2023년 3월 18일
원문 기준으로 확인된 발행일입니다.
카테고리
2D 리얼후기
원문 블로그 카테고리를 정리해 함께 표시합니다.
이미지 수
19
현재 아카이브에 연결된 이미지 수입니다.
아카이브 요약
2D치과의원의 네이버 블로그 원문을 보존한 아카이브 페이지입니다. 2D 리얼후기 카테고리의 무삭제블랙필름 실제 후기 글을 통해 병원의 한국어 정보 제공 방식과 진료 관련 안내 톤을 확인할 수 있습니다.
원문 검증
필요하면 원문 블로그와 병원 프로필로 바로 이동해 문맥을 다시 확인할 수 있습니다.
출처 아카이브 열기안녕하세요 또 다시 주말이 왔네요^^
무삭제라미네이트 [블랙필름], 치아삭제 시 100% 환불을 보장해드리고 있는 투디치과입니다 :D
요즘 저희 치과로 무삭제블랙필름에 대한 문의와 상담예약이 폭발적으로 늘어나고 있습니다!
많은 분들이 궁금해하시는 무삭제블랙필름에 대해서 먼저 설명드리도록하겠습니다💛
무삭제블랙필름 도대체 어떤건가요?


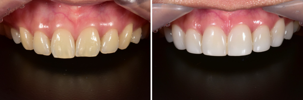
무삭제 라미네이트 블랙필름이란 치아의 불필요한 삭제 없이 얇은 코팅망을 통해 치아의 모양과 색상을 이상적으로 개선시켜주는 치료입니다. 이는 기계가 할 수 없는 영역의 아주 얇은 두께가 요구되어 투디치과 내 있는 808랩 기공소에서 직접 기공사님들께서 100% 수제작으로 만들어지고있답니다.

타 치과에서 진행하는 무삭제라미네이트와 블랙필름을 보기 쉽게 표로 정리해보았습니다. 평생쓰는 치아인 만큼 치아 삭제는 당연히 이루어 지지 않습니다! 자연치에 대한 손상 0%를 자랑합니다.
무삭제블랙필름
전후사진이 궁금한데요?

영구미백

변색치

앞니깨짐

왜소치

치아모양변경

토끼이빨
누런치아, 변색치, 앞니깨짐, 왜소치, 치아모양, 토끼이빨 등 치아가 가지고 있는 다양한 문제점들을 무삭제블랙필름으로 개선한 사례들이 정말 많답니다!
평생의 고민이 블랙필름으로 해결이 된다면 정말 행복해질 것 같지 않나요~?

비스포크팀에서 블랙필름 관련 미팅을 진행중입니다.

비스포크팀에서 치아색상을 픽스하고 있는 중입니다.
이러한 환자분들의 고민을 해결해드리기 위해 환자분들의 니즈를 파악해 마음에 드실 때까지 무한 수정을 거쳐 완벽한 무삭제블랙필름시술을 진행하고 있습니다.
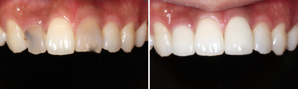
라미네이트 재시술도 가능한가요?

라미네이트 재시술을 고민하시는 분들은 어떤 치과로 갈지, 그리고 금액대가 있더라도 제대로 된 치과를 가고 싶어하시는 분들이 상당합니다.
번외로, 투디치과의 김현모 대표원장님께서는 주기적으로 많은 치과의사분들에게 무삭제블랙필름에 대한 강의를 진행중인데요. 강의 중에 단, 치아삭제 없이 라미네이트제거를 한 분들을 아직까지 한명도 보지 못하셨다고합니다.
그 만큼 저희 2D치과는 현존하는 라미네이트 전문 치과 중에서 치아삭제 일절 없이 기존의 라미네이트를 제거할 수 있는 유일한 치과라 할 수 있습니다.
재시술 사진도 궁금한데요?



위는 타 치과에서 라미네이트를 하셨다가 투디치과에서 무삭제블랙필름으로 재시술을 하신 분들입니다. 실제로 타 치과에서 라미네이트를 하시고나서 변색, 깨짐, AS불가 등 다양한 이유로 저희 치과를 찾아주시는데요, "처음부터 제대로 된 곳에서 할껄.." 이라며 후회하시는 분들을 뵐때마다 저희는 마음이 너무 아프답니다...
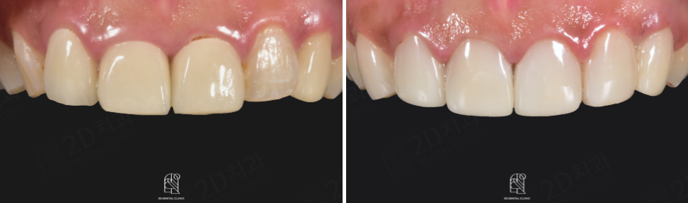
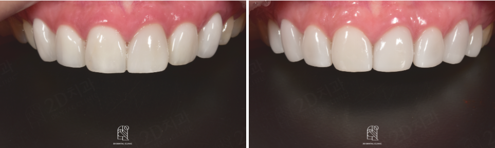
무삭제 블랙필름 AS 10년 보장!


무삭제블랙필름 시술 장지혜님
그 어떤 치과도 따라 올 수 없는 블랙필름만의 기술력으로 업계최장기간! 무삭제블랙필름 시술이후 10년까지 보증해드리고 있습니다!
이왕 라미네이트를 하기로 마음을 먹었다면 제대로 된 곳에서 제대로 시작하시고 10년동안 시술하신 필름 문제없이 사용하실 수 있도록 해드리겠습니다!
아래의 노란배너를 클릭해서 상담 및 예약누르셔서 치과로 내원부탁드립니다💘


#무삭제블랙필름 #무삭제라미네이트 #라미네이트 #라미네이트후기 #2D치과 #투디치과 #강남치과 #강남라미네이트 #라미네이트재시술 #세라필름 #쎄라필름 #블랙필름