아카이브 요약
이 페이지의 역할
2D치과의원의 네이버 블로그 원문을 보존한 아카이브 페이지입니다. 투디_정보 카테고리의 연예인라미네이트 블랙필름 무삭제라미네이트가격 글을 통해 병원의 한국어 정보 제공 방식과 진료 관련 안내 톤을 확인할 수 있습니다.
원문 검증
필요하면 원문 블로그와 병원 프로필로 바로 이동해 문맥을 다시 확인할 수 있습니다.
출처 아카이브 열기아카이브된 블로그 글
치과의원 · ✅ 앞니에 대한 장인정신. Since 2016. 2D치과 ✅
앞니에 대한 장인정신. 2D치과 Since 2016. 안녕하세요 앞니 전문 라미네이트 2D치과입니다. 연예인라미네이트 연예인분들께서 치아 시술로 무삭제라미네이트로 곧고 바른 밝은 치아를 보고 2D치과에 무삭제라미네이트 블랙필름 시술 문의와 시술을 위해 내원해 주시는 고객님들이 늘어나고 계십니다. 치아미백...
게시일
2023년 7월 8일
원문 기준으로 확인된 발행일입니다.
카테고리
투디_정보
원문 블로그 카테고리를 정리해 함께 표시합니다.
이미지 수
10
현재 아카이브에 연결된 이미지 수입니다.
아카이브 요약
2D치과의원의 네이버 블로그 원문을 보존한 아카이브 페이지입니다. 투디_정보 카테고리의 연예인라미네이트 블랙필름 무삭제라미네이트가격 글을 통해 병원의 한국어 정보 제공 방식과 진료 관련 안내 톤을 확인할 수 있습니다.
원문 검증
필요하면 원문 블로그와 병원 프로필로 바로 이동해 문맥을 다시 확인할 수 있습니다.
출처 아카이브 열기앞니에 대한 장인정신.
2D치과 Since 2016.
안녕하세요 앞니 전문
라미네이트 2D치과입니다.

연예인라미네이트
연예인분들께서 치아 시술로
무삭제라미네이트로
곧고 바른 밝은 치아를 보고
2D치과에 무삭제라미네이트 블랙필름
시술 문의와 시술을 위해 내원해 주시는
고객님들이 늘어나고 계십니다.

치아미백과 치아교정만으로는
치아의 색상과 디자인을 바꾸는데
한계가 있는 것 같습니다.
그래서 많은 분들이 고려하시는
무삭제라미네이트
말만 무삭제로 진행한다고 하지만
치과에 내원하시다 보면
조금은 다듬거나 깎아야 한다고
말씀하십니다.

연예인라미네이트
연예인라미네이트 블랙필름
특히 라미네이트는 치아에
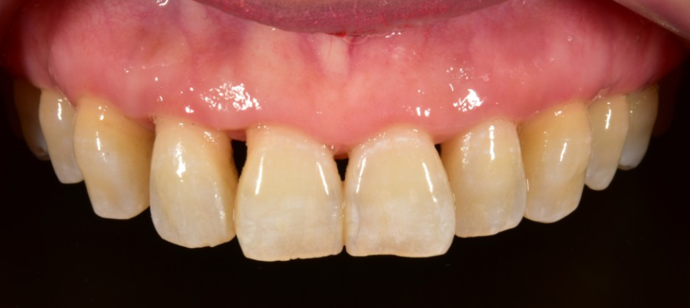
앞니와 치아 사이에 틈이 커서
미용목적으로 시술하시는 경우도 많습니다.
앞니와 치아 사이사이 틈이
눈에 띄게 보여서 고민이시던 고객님도
치아 컬러와 치아 디자인의
고민을 해결해 준 블랙필름입니다.

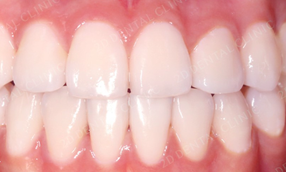
무삭제라미네이트후기
연예인라미네이트 블랙필름
저희 2D치과에서는 독자적인 기술로
무삭제로 치아를 다듬거나 삭제 또는
깎지 않고 치아에 부착할 수 있는
라미네이트로 블랙필름시술이 있습니다.

연예인라미네이트
무삭제로 치아를 전혀 삭제하지 않기
때문에 마음이 변심해서
라미네이트를 제거하고 싶을 때에도
언제든 고객님들의 치아로 돌아갈 수
있다는 장점이 있습니다.

연예인라미네이트
얼마 전, 노빠꾸탁재훈에
출연하셔서 2D치과의 블랙필름을
언급해주신, 브레이브걸스 유정님
무삭제 연예인라미네이트
블랙필름을 시술하셨는데요
더불어 많은 연예인분들도 내돈내산으로
무삭제라미네이트를 위해
신논현역 치과 2D치과를 찾아주시고
계십니다.

무삭제라미네이트
앞니의 치아배열이 올바르지 않아
저희 앞니전문치과 2D치과에
블랙필름 문의가 늘어나고 있습니다.
저희 2D치과는 앞니전문으로
앞니의 심미적인 치료를 전문적으로
하는 병원이기 때문에,
치아에 손상이 가지 않도록
무삭제라미네이트 시술을 진행하고
있습니다.

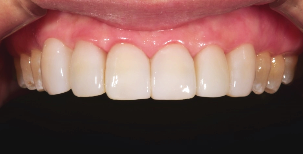
무삭제라미네이트
연예인라미네이트 블랙필름은
2D만의 기술력으로 2D치과 내
808기공소에서 직접 고객님들의
원하는 컬러와 디자인을 취향에
맞춰 제작해 드리는 블랙필름은
이상적인 스마일라인을 위해
많은 분들이 믿고 찾아주시는
연예인무삭제라미네이트 블랙필름
무삭제라미네이트가격에 대한
자세한 정보는 2D치과의원
카카오톡 플러스친구로
상담 도와드리겠습니다.

