아카이브 요약
이 페이지의 역할
2D치과의원의 네이버 블로그 원문을 보존한 아카이브 페이지입니다. 투디_정보 카테고리의 라미네이트잘하는곳 무삭제라미 블랙필름 2D치과 글을 통해 병원의 한국어 정보 제공 방식과 진료 관련 안내 톤을 확인할 수 있습니다.
원문 검증
필요하면 원문 블로그와 병원 프로필로 바로 이동해 문맥을 다시 확인할 수 있습니다.
출처 아카이브 열기아카이브된 블로그 글
치과의원 · ✅ 앞니에 대한 장인정신. Since 2016. 2D치과 ✅
앞니에 대한 장인정신. 2D치과 Since 2016. 무삭제라미네이트 안녕하세요 앞니 전문 라미네이트 2D치과입니다. 단정하고 깔끔한 이미지를 위해 얼굴에서도 자주 눈길이 가는 입과 치아에 대한 관심도 높아지고 있습니다. 라미네이트잘하는곳 치아 시술로는 치아미백과, 치아교정, 잇몸성형을 고려하시는 고객님...
게시일
2023년 7월 10일
원문 기준으로 확인된 발행일입니다.
카테고리
투디_정보
원문 블로그 카테고리를 정리해 함께 표시합니다.
이미지 수
10
현재 아카이브에 연결된 이미지 수입니다.
아카이브 요약
2D치과의원의 네이버 블로그 원문을 보존한 아카이브 페이지입니다. 투디_정보 카테고리의 라미네이트잘하는곳 무삭제라미 블랙필름 2D치과 글을 통해 병원의 한국어 정보 제공 방식과 진료 관련 안내 톤을 확인할 수 있습니다.
원문 검증
필요하면 원문 블로그와 병원 프로필로 바로 이동해 문맥을 다시 확인할 수 있습니다.
출처 아카이브 열기앞니에 대한 장인정신.
2D치과 Since 2016.

무삭제라미네이트
안녕하세요 앞니 전문
라미네이트 2D치과입니다.
단정하고 깔끔한 이미지를 위해
얼굴에서도 자주 눈길이 가는
입과 치아에 대한 관심도 높아지고
있습니다.

라미네이트잘하는곳
치아 시술로는 치아미백과, 치아교정,
잇몸성형을 고려하시는 고객님들이
많아지면서 치아미백과 교정과 같은
시술로는 개선이 어려운 부분은
라미네이트로 고려하시는 분들이
많아지고 있습니다.

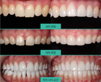
라미네이트잘하는곳 2D치과 블랙필름
치아배열과 컬러는 문제가 없어도
치아 모양 때문에 라미네이트 시술을
하시는 분들이 늘어나면서
치아는 한번 다듬거나 삭제를 할 경우
다시 복구가 되지 않기 때문에
무삭제라미네이트 블랙필름으로
알아보시는 고객님들이 찾아오시는
무삭제라미네이트전문 2D치과입니다.

라미네이트잘하는곳
라미네이트잘하는곳 병원을 찾을 때,
정말 무삭제라미네이트로 진행하는지
보증기간과 의료진의 경력 등을
잘 따져보고 고려해야 합니다.
얼굴에 따라, 자신의 치아배열에 따라
나에게 맞는 치아 모양과 컬러들이
다르기 때문에 개인에 맞는 디자인과
색상을 선택하는 것이 가장 중요합니다.

고객님들의 취향에 따라 다르지만
요즘 트렌드는 자연스럽게 미소를
지었을 때 이질감 없이 내 치아처럼
미소가 더 돋보일 수 있도록
무삭제라미네이트를 진행하고 있습니다.

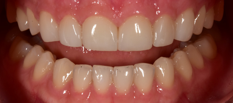
라미네이트잘하는곳 2D치과에서는
누구에게나 똑같은 치아 모양이 아닌
고객님들의 니즈에 맞춰 치아배열에
잘 어울리는 얇고 견고한 블랙필름
무삭제라미 시술을 진행하고 있습니다.
라미네이트잘하는곳 2D치과 블랙필름은
치아를 삭제하거나 건들이지 않고
치아를 바꿀 수 있는 라미네이트잘하는 2D치과만의 독자적인 기술로 인위적인
느낌보다는 자연스러운 시술로
치아를 바꿔드리고 있습니다.

무삭제 라미네이트잘하는곳을
찾으신다면 치아 삭제를 하지 않고
얇고 투명한 수제작필름을 치아에
부착하여 치아의 모양과 색상을
개선시켜주는 블랙필름을 추천드립니다.

라미네이트잘하는곳
치아 표면을 다듬지 않기 때문에,
마취 시술도 필요 없이 단시간만에
치아를 바꿀 수 있는 블랙필름 시술은
치아를 다듬거나 삭제하지 않기 때문에
단기간에 간단하게 하실 수 있는 시술로
반영구적인 치아 디자인과 색상의
콤플렉스를 개선해 드리고 있습니다.

