아카이브 요약
이 페이지의 역할
2D치과의원의 네이버 블로그 원문을 보존한 아카이브 페이지입니다. 투디_정보 카테고리의 치아교정과 무삭제라미네이트 블랙필름 나에게 맞는 시술찾기 글을 통해 병원의 한국어 정보 제공 방식과 진료 관련 안내 톤을 확인할 수 있습니다.
원문 검증
필요하면 원문 블로그와 병원 프로필로 바로 이동해 문맥을 다시 확인할 수 있습니다.
출처 아카이브 열기아카이브된 블로그 글
치과의원 · ✅ 앞니에 대한 장인정신. Since 2016. 2D치과 ✅
앞니에 대한 장인정신. 2D치과 Since 2016. 치아교정 안녕하세요 앞니 전문 라미네이트 2D치과입니다. 요즘 많은 연예인분들과 셀럽 분들이 치아시술을 많이 진행하고 미소를 지었을 때도 더욱 호감형 인상으로 바뀌게 해주기 때문에 전보다 얼굴에서 치아에 대한 관심도가 높아지고 있습니다. 치아교정 라미...
게시일
2023년 7월 13일
원문 기준으로 확인된 발행일입니다.
카테고리
투디_정보
원문 블로그 카테고리를 정리해 함께 표시합니다.
이미지 수
10
현재 아카이브에 연결된 이미지 수입니다.
아카이브 요약
2D치과의원의 네이버 블로그 원문을 보존한 아카이브 페이지입니다. 투디_정보 카테고리의 치아교정과 무삭제라미네이트 블랙필름 나에게 맞는 시술찾기 글을 통해 병원의 한국어 정보 제공 방식과 진료 관련 안내 톤을 확인할 수 있습니다.
원문 검증
필요하면 원문 블로그와 병원 프로필로 바로 이동해 문맥을 다시 확인할 수 있습니다.
출처 아카이브 열기앞니에 대한 장인정신.
2D치과 Since 2016.

치아교정
안녕하세요 앞니 전문
라미네이트 2D치과입니다.
요즘 많은 연예인분들과 셀럽 분들이
치아시술을 많이 진행하고
미소를 지었을 때도
더욱 호감형 인상으로
바뀌게 해주기 때문에
전보다 얼굴에서 치아에 대한 관심도가
높아지고 있습니다.

치아교정 라미네이 블랙필름
많은 분들이 호감형 인상을 위하여
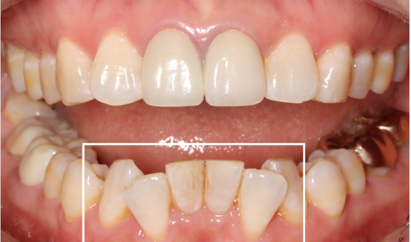
치아 모양이 삐뚫다거나, 치열이
올바르지 않으신 분들이
치아교정 시술을
많이 진행하시는 것 같습니다.
치아교정과 라미네이트
과연 두 시술 중 어떤 것을 먼저
시술해야 하는 것인지에 대한
궁금증을 해결해 드리기 위해
작성되었습니다.

치아교정
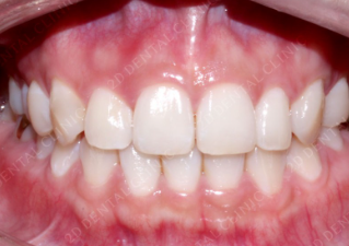
치아교정 / 무삭제라미네이트
치아교정 라미네이 블랙필름
치아교정과 더불어 무삭제라미네이트를
진행하여 이상적인 스마일라인이
더욱 아름답게 빛날 수 있도록
2D치과만의 기술력으로 2D교정과
무삭제라미네이트 블랙필름에 대해서
많은 분들이 문의를 주시고 있습니다.

치아색상과 치아 모양이 고민이신
고객님들께서 치아교정을 먼저 해야 할지
무삭제라미네이트를 해야 할지
고민이 많이 되시는것 같습니다.
저희 2D치과에서는 치아교정과
무삭제라미네이트 블랙필름 시술을
함께 진행하고 있습니다.

치아교정
2D교정을 진행한 뒤
치열을 올바르게 개선한 뒤
무삭제라미네이트 블랙필름를
진행하고 있습니다.
치열이 올바르게 근본적인 문제를
해결한 뒤 심미적인 시술을
진행하는 것을 추천드리고 있습니다.
치열이 올바르다면
바로 무삭제라미네이트 블랙필름
시술도 가능합니다.

치열과 치아모양 치아색상 고민

치아교정 라미네이트
치아교정 라미네이 블랙필름
치열과 치아 모양과 치아색상 모두
고민이시라면 치아교정 후
무삭제라미네이트 블랙필름을
진행하시는 것이
더욱 효과적이기 때문에
근본적인 치열 문제를 먼저 해결하고
치아 모양과 치아색상 문제를
개선하기 위해 심미적인 치료인
무삭제라미네이트 블랙필름을
진행하시는 것이 효과적입니다.

2D교정이란?
치아교정은 교정장치를 이용해서
치아에 부착한 뒤 치열교정을
도와주고 있습니다.
저희 2D치과는 앞니 전문병원으로
전체 교정보다는 문제가 있는
앞니 부분을 중점으로 2D교정을
진행하고 있습니다.
2D 브라켓을 이용하여 교정치료를
진행하고 있는데,
부분 치료로 교정을 진행하기 때문에
얇은 교정장치를 이용하여
이물감이 일반교정보다는 덜하고
치아 안쪽에 부착하기 때문에
교정을 하는 동안에도 아무도 모르게
치아교정 진행이 가능하다는
장점이 있습니다.
치열과 치아색상과 모양이 고민이시라면
치아교정 라미네이 블랙필름
함께 진행하는것을 추천드립니다.

