아카이브 요약
이 페이지의 역할
2D치과의원의 네이버 블로그 원문을 보존한 아카이브 페이지입니다. 투디_정보 카테고리의 무삭제라미네이트부작용 블랙필름과 비교 글을 통해 병원의 한국어 정보 제공 방식과 진료 관련 안내 톤을 확인할 수 있습니다.
원문 검증
필요하면 원문 블로그와 병원 프로필로 바로 이동해 문맥을 다시 확인할 수 있습니다.
출처 아카이브 열기아카이브된 블로그 글
치과의원 · ✅ 앞니에 대한 장인정신. Since 2016. 2D치과 ✅
앞니에 대한 장인정신. 2D치과 Since 2016. 안녕하세요 앞니 전문 라미네이트 2D치과입니다. 라미네이트는 치아의 표면에 얇은 도자기 같은 막을 부착하여 미용적으로 정갈하고 밝은 예쁜 치아로 만들어주는 시술입니다. 고르고 예쁜 치아는 좋은 인상과 이미지와도 연관이 있기 때문에, 많은 분들이 치아 디자...
게시일
2023년 7월 17일
원문 기준으로 확인된 발행일입니다.
카테고리
투디_정보
원문 블로그 카테고리를 정리해 함께 표시합니다.
이미지 수
13
현재 아카이브에 연결된 이미지 수입니다.
아카이브 요약
2D치과의원의 네이버 블로그 원문을 보존한 아카이브 페이지입니다. 투디_정보 카테고리의 무삭제라미네이트부작용 블랙필름과 비교 글을 통해 병원의 한국어 정보 제공 방식과 진료 관련 안내 톤을 확인할 수 있습니다.
원문 검증
필요하면 원문 블로그와 병원 프로필로 바로 이동해 문맥을 다시 확인할 수 있습니다.
출처 아카이브 열기앞니에 대한 장인정신.
2D치과 Since 2016.
안녕하세요 앞니 전문
라미네이트 2D치과입니다.

라미네이트는 치아의 표면에
얇은 도자기 같은 막을 부착하여
미용적으로 정갈하고 밝은 예쁜 치아로
만들어주는 시술입니다.
고르고 예쁜 치아는 좋은 인상과 이미지와도
연관이 있기 때문에,
많은 분들이 치아 디자인과 색상을 고려하여
라미네이트 시술을 많이 받으시는 것 같습니다.

무삭제라미네이트로 잘 알려진
치아를 깎거나 손상시키지 않는 블랙필름과
라미네이트부작용에 대해서 많은 분들이
궁금해 하실 것 같아서 이번 포스팅을
준비했습니다.
많은 분들이 라미네이트의 단점과
부작용도 꼼꼼하게 잘 비교하여
자신에게 알맞는 시술을 진행하시는 걸
추천드립니다.
요즘은 얼굴에서 가장 눈에 띄게
치아 시술도 많이 하는 추세이므로,
미용목적으로 많은 분들이
치아성형으로 라미네이트를
생각하시는 것 같습니다.

무삭제라미네이트부작용을
많은 분들이 궁금해하시는데요.
어떤 시술이든 시술 전에 시술에 대한
정보를 잘 알아보고 장점과 단점
부작용은 없는지에 대해서도 꼼꼼히
체크하고 진행하는 것을 추천드립니다.

무삭제라미네이트
많은 광고들이 쏟아지고 있는데
무삭제라미네이트부작용에 대해서는
많은 분들이 아직 잘 모르시는 것 같아
대표적인 부작용들을 소개해 드리겠습니다.

치아삭제
무삭제라미네이트를 진행할 때
치아삭제가 필수라는 말이 있을 정도로
치아를 조금씩 다듬고 라미네이트를
진행하는 병원들이 많다고 합니다.
저희 2D치과에서는 무삭제라미네이트라는
네이밍처럼 치아손상을 하지 않고
치아를 갈아내거나 깎지 않고,
2D치과만의 독자적인 기술력으로
말 그대로 무삭제로 진행하고 있습니다.

깨지거나 치아손상
무삭제라미네이트를 진행하고 나서
제일 유의해야 하는 부분이
딱딱한 음식을 섭취할 때,
라미네이트 시술을 한 앞니로
음식을 쎄게 베어 물 때 유의하셔야 합니다.
무삭제라미네이트 블랙필름은
얇고 견고한 소재로 만들어져서
쉽게 깨지거나 치아손상이 거의
일어나지 않습니다.
일반적인 치아처럼 너무 딱딱하고
치아에 무리를 줄 수 있는 음식이 아니라면
거의 깨지거나 떨어지지 않습니다.

라미네이트 제거시 치아손상
라미네이트를 부착할 때는
무삭제로 치아손상 없이 붙여도
라미네이트를 교체하거나 제거할 때
치아손상이 올 수 있다고 염려하시는 분들이
많으신 것 같습니다.
무삭제라미네이트부작용으로 가장
데미지가 큰 치아삭제는
저희 2D치과에서는 치아손상 없이
제거가 가능합니다.

2D치과 김현모 대표원장님께서는
치아손상 없이 제거가 되어야
진정한 무삭제라미네이트라고 말씀하실
정도로 저희 2D치과에서는 치아를
손상시키지 않으면서 라미네이트만
제거하는 기술력을 갖추고 있습니다.
일반적인 보철물 제거와 달리.
두께가 너무 얇고 치아의 결합력이 좋아
쉽게 제거가 가능하고
치아를 손상 없이 제거가 가능합니다.

치아두께
많은 고객분들께서 걱정하시는 부분 중
하나가 " 두꺼워서 튼튼한 거 아니야? "
라미네이트 두께가 두껍기 때문에
단단하고 인위적인 디자인을
생각하시는 분들이 많으신데요.
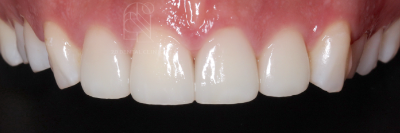
무삭제라미네이트 블랙필름의 두께는
0.1mm 이하로 얇게 제작하기 때문에
앞니 또는 치아가 커지거나
두꺼워지지 않습니다.
치아에 따라 치아마다 두께가 다르기 때문에
모든 치아가 0.1mm는 아니지만,
치아배열과 스마일라인을 고려하였을 때
가장 이상적인 치아모양으로 제작
디자인하려 노력하고 있습니다.

이시림
무삭제라미네이트를 진행하면서
제일 많이 걱정하시는 부분이
치아삭제로 이시림을 동반하게 될 경우를
안 좋은 부작용으로 많이 꼽습니다.
라미네이트를 하면서 치아 삭제량이
많아지면 치아가 욱씬거림과 시림을
동반할 수 있습니다.
하지만, 무삭제라미네이트부작용으로
많이 꼽히는 이 시림은 저희 2D치과에서는
무삭제로 치아삭제를 하지 않기 때문에
이 시림 현상이 없습니다.
라미네이트를 진행하면 더욱 양치와 치실로
치아관리를 더욱 잘해주어야 하는 것은
사실입니다.
하지만 무삭제라미네이트로
치아삭제를 하지 않는 블랙필름의 경우
이 시림은 없습니다.

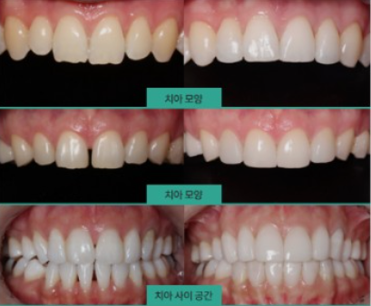
라미네이트는 대부분 치아 모양과 색깔이
마음에 들지 않아서 개선을 하고자
많이 하는 심미적인 시술로
보통 반영구적이라고 말하지만
일정 주기로 교체를 해주어야 합니다.
무삭제라미네이트부작용을 다시 한번 더
생각하고 비교해보고 결정을 추천드립니다.
관리에 따라 개개인의 라미네이트 수명은
달라지기 때문에 딱딱하고 질긴 음식을
무리하게 라미네이트 한 치아를 사용하지
않으면 오래동안 예쁜 치아로
유지하실 수 있습니다.

