아카이브 요약
이 페이지의 역할
2D치과의원의 네이버 블로그 원문을 보존한 아카이브 페이지입니다. 투디_정보 카테고리의 무삭제라미네이트잘하는곳 치아성형 2D치과 블랙필름 글을 통해 병원의 한국어 정보 제공 방식과 진료 관련 안내 톤을 확인할 수 있습니다.
원문 검증
필요하면 원문 블로그와 병원 프로필로 바로 이동해 문맥을 다시 확인할 수 있습니다.
출처 아카이브 열기아카이브된 블로그 글
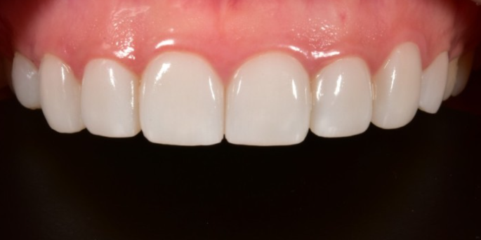
치과의원 · ✅ 앞니에 대한 장인정신. Since 2016. 2D치과 ✅
앞니에 대한 장인정신. 2D치과 Since 2016. 안녕하세요 앞니 전문 라미네이트 2D치과입니다. 신논현역에 위치한 2D치과는 앞니 전문으로 무삭제라미네이트잘하는곳 라미네이트전문병원입니다. 무삭제라미네이트에 대한 관심이 높아지면서 어떤 기준으로 병원을 선정하고 시술을 진행해야 하는지 많은 분들이 고민이실 것...
게시일
2023년 7월 18일
원문 기준으로 확인된 발행일입니다.
카테고리
투디_정보
원문 블로그 카테고리를 정리해 함께 표시합니다.
이미지 수
13
현재 아카이브에 연결된 이미지 수입니다.
아카이브 요약
2D치과의원의 네이버 블로그 원문을 보존한 아카이브 페이지입니다. 투디_정보 카테고리의 무삭제라미네이트잘하는곳 치아성형 2D치과 블랙필름 글을 통해 병원의 한국어 정보 제공 방식과 진료 관련 안내 톤을 확인할 수 있습니다.
원문 검증
필요하면 원문 블로그와 병원 프로필로 바로 이동해 문맥을 다시 확인할 수 있습니다.
출처 아카이브 열기앞니에 대한 장인정신.
2D치과 Since 2016.
안녕하세요 앞니 전문
라미네이트 2D치과입니다.

신논현역에 위치한 2D치과는
앞니 전문으로 무삭제라미네이트잘하는곳
라미네이트전문병원입니다.
무삭제라미네이트에 대한 관심이
높아지면서 어떤 기준으로 병원을
선정하고 시술을 진행해야 하는지
많은 분들이 고민이실 것 같습니다.

무삭제라미네이트잘하는곳
대화를 나눌 때 가장
많이 눈길이 가는 부위로
많은 분들이 얼굴만큼이나
신경을 많이 쓰는 부위인 치아에 대해서도
미용적인 목적으로 많은 분들이
관심을 가지고 있습니다.

말을 하거나 식사를 할 때,
가장 많이 눈길이 가는 부위가 치아입니다.
심미적인 이유로 많은 분들이 치아성형과
잇몸성형에 대해서 관심을 가지시고 있습니다.
무삭제라미네이트잘하는곳 2D치과에서는
무분별하게 과하게 치아를
삭제하고 깎지 않기 때문에,
라미네이트잘하는곳 2D치과만의
치아삭제 없는 무삭제라미네이트가
많은 분들이 매력을 느끼고 찾아주시고
있습니다.

치아 모양과 색상이 고민이신 분들이
많은 문의를 주시는 무삭제라미네이트는
치아 바깥 부분인 법랑질의 표면을
미세하게 다듬어서 치아와 유사한 얇은
세라믹이라는 소재를 이용하여
치아 모양과 색상을 바꿔드리는 시술입니다.
하지만 2D치과에서는 법랑질의 표면을
다듬거나 깎지 않고, 무삭제로
치아를 건드리지 않고 라미네이트 시술을
진행하고 있습니다.

라미네이트는 고난이도로 까다로운
치아 시술로 라미네이트잘하는곳에서
시술을 받으셔야 더욱
만족도가 높은 치아 시술입니다.
라미네이트하면 정말 많은 분들이
걱정하시는 부분 중 하나가 치아를 깎거나
다듬어서 치아삭제로 인한 부작용으로
우려하시는 고객님들이 많으신데,
무삭제라미네이트잘하는곳
2D치과에서는 치아삭제 없이
라미네이트를 진행하고 있기 때문에
치아삭제로 인한 이 시림과 통증 걱정 없이
라미네이트 시술을 진행할 수 있습니다.

무삭제라미네이트잘하는곳
많은 분들이 과연 라미네이트잘하는곳의
기준은 도대체 무엇인지에 대해서도
궁금해하실 것 같은데요.
라미네이트의 전문의 김현모 대표원장님께서
오랜 경력과 함께 무삭제라미네이트만을
직접 시술과 진료를 보고 계십니다.
내 치아처럼 자연스러운 색상과 밝기로
치아 자신감을 상승시켜드리는
무삭제라미네이트잘하는곳 2D치과의
블랙필름 시술은 독자적인 기술력으로
고객과 소통하는 전문의로서
고객의 니즈에 맞는 치아로
맞춤 시술을 진행하고 있습니다.

무삭제라미네이트잘하는곳
고객의 눈높이에 맞춰
고객의 치열과 원하는 이상적인
스마일라인과 치아 모양과 컬러가
다르기 때문에, 무삭제라미네이트 시술 전
상담실장님과 라미네이트전문의
대표원장님과의 상담을 꼼꼼하게
진행하여 더욱 고객님들의 개인에 맞춤
치아로 만족도를 높이고 있습니다.
치아 디자인도 중요하지만,
원하는 이상적인 디자인으로 제작하기
위해서는 고객과 많은 소통과 대화로
원하는 니즈를 파악하는 것이 가장
중요합니다.

2D치과
무삭제라미네이트잘하는곳 2D치과에서는
고객님들과의 소통을 중요시하기 때문에
궁금한 라미네이트에 대한 질문들과
관리법, 시술 진행사항들에 대해서
꼼꼼하게 전달을 하려고 노력하고 있습니다.


앞니 장인들이 수작업으로 고객님들의
반영구적인 치아를 원하는 디자인으로
만들기 위해 노력하는 2D치과는
0.1mm로 얇은 두께를 자랑하며
치아가 비교적 튀어나온 돌출된 치아인
큰 앞니와 다른 치아들이
잘 어울릴 수 있도록 조화를 중요시하여
무삭제라미네이트 시술 후 고객님들의
만족도가 높을 수 있도록 시술을
진행합니다.

무삭제라미네이트를 진행하기 전,
치아 피팅으로 원하는 치아 컬러와 디자인도
무제한으로 수정이 가능하기 때문에
더욱 만족도 있는 시술로
많은 고객님들의 호평이 있는 시술입니다.

