아카이브 요약
이 페이지의 역할
2D치과의원의 네이버 블로그 원문을 보존한 아카이브 페이지입니다. 투디_정보 카테고리의 치료목적으로 진행되는 치아교정과 무삭제라미네이트 글을 통해 병원의 한국어 정보 제공 방식과 진료 관련 안내 톤을 확인할 수 있습니다.
원문 검증
필요하면 원문 블로그와 병원 프로필로 바로 이동해 문맥을 다시 확인할 수 있습니다.
출처 아카이브 열기아카이브된 블로그 글
치과의원 · ✅ 앞니에 대한 장인정신. Since 2016. 2D치과 ✅
앞니에 대한 장인정신. 2D치과 Since 2016. 안녕하세요 앞니 전문 라미네이트 2D치과입니다. 호감형 얼굴이어도 요즘은 치아에 대한 관심도가 높아지면서 많은 분들이 치아시술에 대한 관심도가 높아지고 있습니다. 고르고 바른 치아는 좋은 인상을 주기 때문에 요즘은 치아교정과 무삭제라미네이트도 많이 진행하고...
게시일
2023년 7월 22일
원문 기준으로 확인된 발행일입니다.
카테고리
투디_정보
원문 블로그 카테고리를 정리해 함께 표시합니다.
이미지 수
10
현재 아카이브에 연결된 이미지 수입니다.
아카이브 요약
2D치과의원의 네이버 블로그 원문을 보존한 아카이브 페이지입니다. 투디_정보 카테고리의 치료목적으로 진행되는 치아교정과 무삭제라미네이트 글을 통해 병원의 한국어 정보 제공 방식과 진료 관련 안내 톤을 확인할 수 있습니다.
원문 검증
필요하면 원문 블로그와 병원 프로필로 바로 이동해 문맥을 다시 확인할 수 있습니다.
출처 아카이브 열기앞니에 대한 장인정신.
2D치과 Since 2016.
안녕하세요 앞니 전문
라미네이트 2D치과입니다.

호감형 얼굴이어도 요즘은
치아에 대한 관심도가 높아지면서
많은 분들이 치아시술에 대한
관심도가 높아지고 있습니다.
고르고 바른 치아는 좋은 인상을
주기 때문에 요즘은 치아교정과
무삭제라미네이트도 많이 진행하고 있습니다.

사람마다 얼굴의 생김새가 다 다르듯이
치아모양고 여러 가지
다양한 케이스들이 존재하고 있고,
치아 모양과 치열에 따른
개선되는 시술도 다양하게 존재합니다.
말을 하거나 음식을 먹을 때, 웃을 때
가장 많이 드러나는 부위중 하나가
입이기 때문에 치아성형에 대해서도
많은 분들이 고려하시는것 같습니다.

무삭제라미네이트도 다양한 케이스들이
존재하고 치아에 따라 치료 목적으로
라미네이트를 하는 경우도 있습니다.
치아도 토끼 이빨, 나비치아 등
특정 치아가 크거나 돌출되거나
여러 가지 모양들로 인해 미용목적이
아닌 치료 목적으로 치아교정과
라미네이트를 진행하고 있습니다.
얼굴에서 치아가 많이 노출되는 분들은
특히나 치열과 치아모양과 색상을
고민하여 개선시키기 위해
치아시술을 고려하고 계십니다.

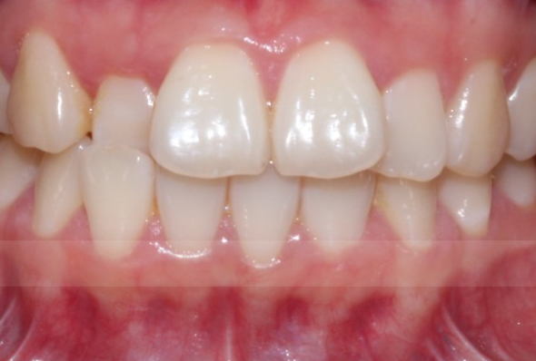
치료목적 무삭제라미네이트로 좋은 예시
치아 사이 틈새가 너무 많이 벌어지거나
치아 모양이 돌출될 경우
조화롭지 못한 치아로 인해서
스트레스받아서 치아 모양을
개선시키기 위해 치아교정을 하는
경우가 많습니다.
특히 위 사진 같은 경우
앞니가 제일 많이 드러나고
말을 하거나 음식을 먹을 때도
치아가 잘보이기 때문에 더욱
극한 스트레스가 있었던 고객님입니다.
치아 틈새가 클 경우 음식물이
잘 끼여서 일반 치아보다 더욱 양치를
잘해줘야만 충치를 예방할 수 있으며,
심미적인 면뿐만 아니라
치료개선에도 도움을 주기 때문에
빠른 치과 내원을 추천드리고 있습니다.
좋은 인상을 위해서 많은 분들이
치아 틈 사이를 교정을 진행하고 있습니다.

치아 케이스들을 검진하기 위해서는
우선적으로 X-RAY 촬영과 직접
원내 방문하여 치아를 보며
고객분들과 치아 고민에 대해서
이야기를 나누고
치열과 치아 모양에 따른 진단을
해드리고 있습니다.
직접 눈으로 검진하는것보다
X-RAY촬영으로 치아상태를
정확히 진단할 수 있기때문입니다.

치아 정기검진을 매번 받으면 좋으나
치아 검진을 못 받아서 충치치료로
레진 치료나 크라운치료를 진행하게
될 수도 있기 때문에,
심미적인 치료보다는 근본적인
치아 문제를 해결한 뒤
심미치료를 받으시는 걸 권장 드립니다.
치료목적으로 무삭제라미네이트도
치아삭제 없이 가능한 블랙필름시술도
많은 분들이 진행하고 계십니다.
치아시술을 받지 않더라도
치아스케일링과 같은 치아검진은
정기적으로 1년에 최소 2번은
받으시는걸 추천드리고 있습니다.

2D치과에서는 라미네이트와 치아교정
시술을 진행하면 정기검진으로
고객님들의 치아를 일회성이 아닌
한번 치료 후에도 정기적으로
체크를 도와드리고 있습니다.
치아는 한번 손상되면 되돌릴 수 없는
부위 중 하나이기 때문에
치아시술을 받으실 때는 신중하게
고려하시는걸 추천드립니다.

치료목적 무삭제라미네이트 시술도
진행하고 있는 2D치과는
전문적이고 오랜 경력을 가진 의료진들로
이루어진 앞니 전문 2D치과는
고객님들의 치아에 대해 한번의 일회성
시술과 진료가 아닌 꾸준히 정기적인
치아진료를 도와드리고 있고,
만족도 또한 높은 편입니다.

