아카이브 요약
이 페이지의 역할
2D치과의원의 네이버 블로그 원문을 보존한 아카이브 페이지입니다. 투디_정보 카테고리의 치아삭제 없는 블랙필름 무삭제라미네이트가격 글을 통해 병원의 한국어 정보 제공 방식과 진료 관련 안내 톤을 확인할 수 있습니다.
원문 검증
필요하면 원문 블로그와 병원 프로필로 바로 이동해 문맥을 다시 확인할 수 있습니다.
출처 아카이브 열기아카이브된 블로그 글
치과의원 · ✅ 앞니에 대한 장인정신. Since 2016. 2D치과 ✅
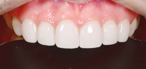
앞니에 대한 장인정신. 2D치과 Since 2016. 안녕하세요 앞니 전문 라미네이트 2D치과입니다. 사람의 첫인상을 결정지을 때, 가장 중요한 부분 중 하나가 가지런하고 하얀 치아입니다. 연예인들처럼 가지런하고 밝은 색상의 치아를 보고 치아 시술은 라미네이트에 대한 관심도가 높아지고 있습니다. 연예인들이 이미...
게시일
2023년 7월 24일
원문 기준으로 확인된 발행일입니다.
카테고리
투디_정보
원문 블로그 카테고리를 정리해 함께 표시합니다.
이미지 수
10
현재 아카이브에 연결된 이미지 수입니다.
아카이브 요약
2D치과의원의 네이버 블로그 원문을 보존한 아카이브 페이지입니다. 투디_정보 카테고리의 치아삭제 없는 블랙필름 무삭제라미네이트가격 글을 통해 병원의 한국어 정보 제공 방식과 진료 관련 안내 톤을 확인할 수 있습니다.
원문 검증
필요하면 원문 블로그와 병원 프로필로 바로 이동해 문맥을 다시 확인할 수 있습니다.
출처 아카이브 열기앞니에 대한 장인정신.
2D치과 Since 2016.
안녕하세요 앞니 전문
라미네이트 2D치과입니다.

사람의 첫인상을 결정지을 때,
가장 중요한 부분 중 하나가
가지런하고 하얀 치아입니다.
연예인들처럼 가지런하고 밝은 색상의
치아를 보고 치아 시술은 라미네이트에
대한 관심도가 높아지고 있습니다.
연예인들이 이미지 변신 중 하나로
이미지 관리로 많이 하는 시술인
무삭제라미네이트는
말 그대로 치아를 삭제하지 않고
치아의 모양과 색상을 바꾸는 것입니다.
하지만, 일부 치과들이 광고를
무삭제라미네이트로 하지만
막상 병원에 내원해 보면
치아을 표면을 다듬거나 치아삭제를
하는 경우가 많습니다.
저희 2D치과에서는 진행하는
블랙필름은 현재 치아를
보존하여 치아를 깎거나 다듬지 않는
무삭제라미네이트를 진행하고 있습니다.
많은 분들이 생각하시는 라미네이트
부작용으로 치아삭제로 인한
이 시림 통증을 없애기 위해,
치아삭제를 하지 않고 그대로 본떠
블랙필름 시술을 진행하고 있습니다.

무삭제라미네이트가격은 병원마다
무삭제라미네이트가격은 의료진의 경력과
실력 병원 규모에 따라
다르게 측정되고 있습니다.
무삭제라미네이트라고 광고를 하지만,
많은 치과에서 치아를 다듬는 치아삭제를
진행하고 있으며 치아의 상태나 함께
진행하는 시술에 따라 가격이 달라지는 것
같습니다.
라미네이트는 쉬운 시술이 아니기 때문에,
전문적인 의료진의 기술력으로
시술할 수 있는 치아의 심미치료입니다.
앞니 전문 심미치료를 진행하고 있는
2D치과의 블랙필름은 대표원장님
단독 시술을 진행하고 있으며
팀별로 고객님 한 분의 전담으로
케어해드리는 전담제를 진행 중입니다.
매번 치과에 내원할 때 마다 같은
의료진이 치아상태를 더 자세히
알고 있으며 문제가 생겼을 때도
더욱 편하게 의견 전달이 가능하기 때문에
2D치과는 고객님 케어에 진심인 병원입니다.

신논현역에 위치한 2D치과는
앞니 전문 대표원장님이신 김현모 원장님께서 무삭제라미네이트 블랙필름에 대한
시술을 처음부터 끝까지 블랙필름 시술을
대표원장님께서 직접 진행하고 계시고,
치아삭제 없이 무삭제로 라미네이트 시술을
진행하는 것으로 유명합니다.
앞니 전문이라는 이름에 걸 맞춰
앞니와 웃었을 때 가장 잘 드러나는
스마일라인의 개개인의 고객님들의
얼굴에서 웃었을 때 더욱 아름다운 미소가
돋보일 수 있도록 앞니를 디자인하여
라미네이트 시술을 진행하고 있습니다.
무삭제라미네이트가격은 치아갯수에
따라 가격이 달라지기 때문에,
고객님들의 치아 상태에 따라서도
다른 가격이 측정됩니다.

치아는 일생에서 치아는 유년기 시절을
제외하면 치아가 자라지 않기 때문에
충치로 치아가 썩거나 치아가 깨지거나
금이 가지 않도록 신경을 많이 쓰고 관리해
주어야 하는 신체 부위 중 하나입니다.
하지만 삐뚤삐뚤한 치열이나 덧니로 인해
치아 모양에 대해 고민이신 분들도
2D치과에서는 근본적인 치아의 문제를
해결하고 라미네이트 시술을 권장 드리고
있기 때문에 빠른시일내 심미적인 효과를
기대하는것 보다 근본적인 치아 문제를
우선적으로 개선시키고 난 뒤,
무삭제라미네이트를 진행하고 있습니다.

2D치과의 이름인 2D 부분교정인
앞니 중심의 부분교정을 먼저 진행한 뒤,
라미네이트를 진행한다면
현재 치열을 개선시키는 것뿐만 아니라
치아의 근본적인 치료를 병행하여
더욱 아름다운 미소가 될 수 있도록
무삭제라미네이트 시술을 진행합니다.

무삭제라미네이트가격안에
정기적인 블랙필름 시술을 진행한 뒤
정기검사와 무상 보증으로
10년이나 무상 A/S 가격도 함께
포함되어 있기 때문에 보다 합리적인
가격이라고 생각합니다.

무삭제라미네이트가격보다 중요한 건
의료진의 실력이 바탕이 되어,
한번 시술로도 치아손상과 같은 부작용 없이
반영구적으로 유지되어야 합니다.
라미네이트 시술 이후 일반 치아보다
식사 후 음식물이 더 잘 끼일 수 있기 때문에
치실과 워터픽과 같은 양치 이외에도
홈 케어를 진행해 주셔야 합니다.

노력으로 바뀔 수 없는 부분 중 하나가
치아 모양인데, 무삭제라미네이트 블랙필름
시술은 치아 모양을 고객님의 치열에
맞춰서 자연스러운 치아를 위해
인위적이지 않으면서 정말 내 치아 같은
느낌으로 무삭제라미네이트를
진행하고 있습니다.
병원마다 무삭제라미네이트가은
천차만별이지만 가장 중요한 건
의료진의 실력과 사후관리라고 생각되기
때문에 2D치과에서는 더욱
고객님들의 치아를 위해 꾸준한 정기검진과
관리를 진행할 것입니다.

