아카이브 요약
이 페이지의 역할
2D치과의원의 네이버 블로그 원문을 보존한 아카이브 페이지입니다. 투디_정보 카테고리의 치아성형 잇몸성형 치아삭제 없는 무삭제라미네이트 블랙필름 글을 통해 병원의 한국어 정보 제공 방식과 진료 관련 안내 톤을 확인할 수 있습니다.
원문 검증
필요하면 원문 블로그와 병원 프로필로 바로 이동해 문맥을 다시 확인할 수 있습니다.
출처 아카이브 열기아카이브된 블로그 글
치과의원 · ✅ 앞니에 대한 장인정신. Since 2016. 2D치과 ✅
앞니에 대한 장인정신. 2D치과 Since 2016. 안녕하세요 앞니 전문 라미네이트 2D치과입니다. 많은 분들이 치아 고민으로 저희 2D치과에 내원해 주시고 계십니다. 치아성형과 잇몸성형 라미네이트 시술이 요즘 들어 각광받고 있으며, 많은 환자분들께서 치아 모양에 대해서 많은 고민으로 치아삭제가 없는 무삭제라...
게시일
2023년 7월 27일
원문 기준으로 확인된 발행일입니다.
카테고리
투디_정보
원문 블로그 카테고리를 정리해 함께 표시합니다.
이미지 수
13
현재 아카이브에 연결된 이미지 수입니다.
아카이브 요약
2D치과의원의 네이버 블로그 원문을 보존한 아카이브 페이지입니다. 투디_정보 카테고리의 치아성형 잇몸성형 치아삭제 없는 무삭제라미네이트 블랙필름 글을 통해 병원의 한국어 정보 제공 방식과 진료 관련 안내 톤을 확인할 수 있습니다.
원문 검증
필요하면 원문 블로그와 병원 프로필로 바로 이동해 문맥을 다시 확인할 수 있습니다.
출처 아카이브 열기앞니에 대한 장인정신.
2D치과 Since 2016.

안녕하세요 앞니 전문
라미네이트 2D치과입니다.
많은 분들이 치아 고민으로 저희 2D치과에
내원해 주시고 계십니다.
치아성형과 잇몸성형 라미네이트 시술이
요즘 들어 각광받고 있으며,
많은 환자분들께서 치아 모양에 대해서
많은 고민으로 치아삭제가 없는
무삭제라미네이트 블랙필름 시술
상담을 진행하고 있습니다.

치아는 개인에 따라 치열과 모양, 크기가
전부 다르기 때문에 이상적인 치아의 모양은
사람들의 얼굴과 비율에 따라 결정되는 것
같습니다.
치아성형 잇몸성형으로 현재 치아모양을
이상적인 치아로 바꿀 수 있는 시술로
무삭제라미네이트 블랙필름입니다.
치열은 올바르고 예쁘지만,
비교적 치아 모양이 작아서
웃었을 때 스마일라인에 잇몸이 많이
드러나서 잇몸웃음이라고 불리는
웃었을 때 치아보다 잇몸이 더 많이 드러나는
거미스마일을 가지신 분들도 잇몸성형에
대해서 많이 고려하고 계십니다.

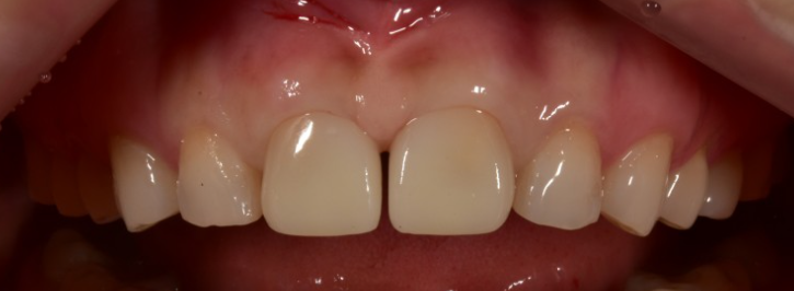
치아성형 잇몸성형을 둘 다 필요한 케이스로
왜소치와 작은 치아 고민과 거미스마일
두 가지 고민을 가지고 계신
2D치과의 고객님 치아 사진입니다.
거미스마일
거미스마일 같은 경우 웃었을 때
치아보다 선홍빛 잇몸이 더 많이
드러나기 때문에 활짝 웃었을 때
자신도 모르게 주눅 들고 자신감이
하락하게 되어 많은 분들이 이상적인
스마일라인으로 변화하고 싶어서
문의를 주시고 계십니다.

이상적인 치아라인의 비율은
1:0.7~0.8로 잇몸라인은 많이
드러나지 않으면 치아가 시원시원하게
곧은 모양으로 드러나는 치아를
원하고 계십니다.
잇몸성형
잇몸성형의 경우 개인의 치아에 맞춰
이상적인 치아와 잇몸 비율에 맞춰
개인의 얼굴과 치열을 생각하여
의료진과 신중한 상담을 통해
고객님들의 개인이 가진 치아에 맞춰
레이저로 잇몸성형을 진행하고 있습니다.
치열이 올바르기 때문에 무삭제라미네이트
시술만 진행하는 경우 더 나은
치아와 잇몸 비율을 위해
치아의 대칭 모양을 함께 맞추기 위해서도
잇몸성형을 함께 진행하는 경우가 많습니다.

위 사진은 2D치과에서 잇몸성형을
시술하신 고객님께서 보내주신
후기 사진입니다 :)
치아성형 잇몸성형으로 더욱 이상적인
치아와 잇몸라인을 만들 수 있습니다.
잇몸성형 전 고객님들과 원하는 이상적인
스마일라인에 대해서 어떤 식으로
디자인이 들어가는지 꼼꼼한 상담을
진행하며 1시간 이내로 간단한
레이저 시술로 잇몸성형을 진행하고 있습니다.

잇몸성형의 경우 웃었을 때나
말을 할 때 치아보다 잇몸이 더 많이
드러나는 고객님들께 더욱 큰 차이가
있는 것 같습니다
잇몸성형을 경우 다시 잇몸이
자라날 수 있기 때문에, 잇몸성형 후
무삭제라미네이트 블랙필름 시술을
함께 진행하고 있습니다.

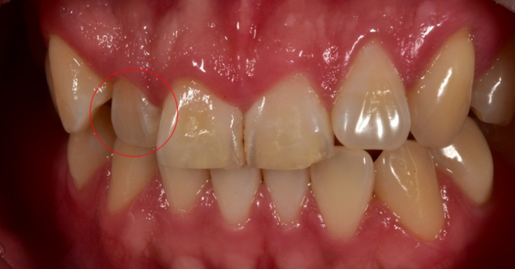
비교적 앞니 크기가 더욱 크기 때문에
잇몸성형으로 앞니 치아 크기에 맞춰
다른 치아들도 잇몸성형을 해주는 것이
더욱 효과적인 사례입니다.

왜소치 작은치아
무삭제라미네이트 블랙필름으로
방문하시는 고객님들 중에서도
왜소치와 같은 작은 치아를 가지신
고객님들께서도 말을 하거나 웃었을 때
치아가 많이 드러나는 편인데
치아 모양이 비교적 많이 작아서
치아 크기가 신경 쓰여서 무삭제라미네이트
블랙필름을 고려하시는 분들도
참 많은 것 같습니다.

왜소치의 경우 삭제라미네이트
시술을 진행했을 경우 더욱 치아가
작아지기 때문에, 추후에 치아 크기로
문제가 생길 수 있는데
무삭제라미네이트 블랙필름의 경우
치아삭제를 하지 않기 때문에
치아 크기나 모양이 달라지지 않습니다.
언제든지 무삭제라미네이트 시술을
제거하고도 현재 치아로 생활이
가능하다는 점이 2D치과만의 블랙필름의
장점 중 하나입니다.
1:1 맞춤제작 무삭제라미네이트 블랙필름
또한 아주 얇은 고객님들의 맞춤형인
치아 디자인과 색상을 고려한
아주 얇은 라미네이트로 필름을 부착한다는
의미에서 블랙필름 시술을 진행하기 때문에
정말 제 치아 같은 자연스러운
색상과 디자인으로 이질감 없이
시술이 가능합니다.

치아의 강도도 정말 견고한 재료를
사용하기 때문에 잘 깨지거나
부러지지 않으며, 10년 무보증 A/S
서비스를 하고 있기 때문에,
언제 어디서나 블랙필름으로 인한
문제가 생겼을 때 빠른 내원 일정을
잡아드리고 있습니다.

항상 고객님들의 편의와 심미적인
치아를 디자인하여 만족감을 드리는
2D치과에서는 고객님들의 이상적인
스마일라인과 현재 가지고 계신
치아 고민을 해결해 드리고 있습니다.

