아카이브 요약
이 페이지의 역할
2D치과의원의 네이버 블로그 원문을 보존한 아카이브 페이지입니다. 투디_정보 카테고리의 앞니 무삭제라미네이트 고객맞춤형 치아제작하는 블랙필름 글을 통해 병원의 한국어 정보 제공 방식과 진료 관련 안내 톤을 확인할 수 있습니다.
원문 검증
필요하면 원문 블로그와 병원 프로필로 바로 이동해 문맥을 다시 확인할 수 있습니다.
출처 아카이브 열기아카이브된 블로그 글
치과의원 · ✅ 앞니에 대한 장인정신. Since 2016. 2D치과 ✅
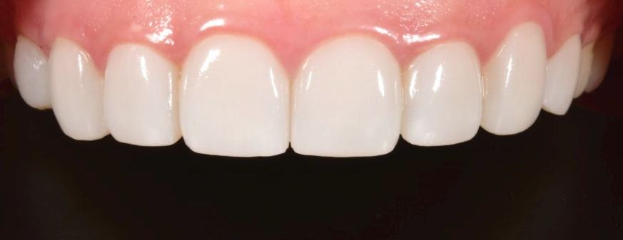
앞니에 대한 장인정신. 2D치과 Since 2016. 안녕하세요 앞니 전문 라미네이트 2D치과입니다. 유독 앞니가 잘 보이시는 분들이 계시기 때문에 말을 하거나, 웃을 때 비교적 앞니가 많이 드러나는 고객님들께서 이상적인 스마일라인에 맞는 예쁜 모양의 하얀 치아를 원하셔서 앞니 전문병원 2D치과를 찾아주시는 고...
게시일
2023년 7월 31일
원문 기준으로 확인된 발행일입니다.
카테고리
투디_정보
원문 블로그 카테고리를 정리해 함께 표시합니다.
이미지 수
11
현재 아카이브에 연결된 이미지 수입니다.
아카이브 요약
2D치과의원의 네이버 블로그 원문을 보존한 아카이브 페이지입니다. 투디_정보 카테고리의 앞니 무삭제라미네이트 고객맞춤형 치아제작하는 블랙필름 글을 통해 병원의 한국어 정보 제공 방식과 진료 관련 안내 톤을 확인할 수 있습니다.
원문 검증
필요하면 원문 블로그와 병원 프로필로 바로 이동해 문맥을 다시 확인할 수 있습니다.
출처 아카이브 열기앞니에 대한 장인정신.
2D치과 Since 2016.
안녕하세요 앞니 전문
라미네이트 2D치과입니다.

유독 앞니가 잘 보이시는 분들이
계시기 때문에 말을 하거나, 웃을 때
비교적 앞니가 많이 드러나는
고객님들께서 이상적인 스마일라인에
맞는 예쁜 모양의 하얀 치아를
원하셔서 앞니 전문병원 2D치과를
찾아주시는 고객님들이 많습니다.

개인이 가진 치아는 각기 다르고
비슷한 치아의 모양이라고 해도
고객님 개인별 고민은 다르기 때문에
치아 고민을 해결해 드리기 위해
항상 노력하는 2D치과에서는
이상적인 스마일라인과 고객님들의
치아 디자인을 위해 항상 만족도 높은
시술을 연구해서 만들어낸
무삭제라미네이트 블랙필름입니다.
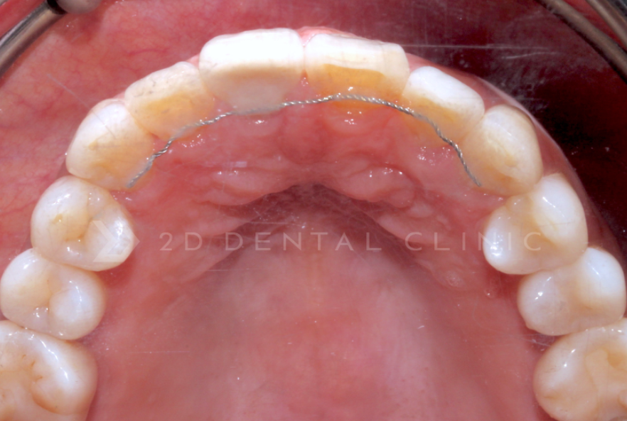
2D교정과 무삭제라미네이트를 진행하는
앞니 전문병원 2D치과에서는
치열이 고르지 않아서
고민이신 고객님들께서 앞니 부분교정인
2D교정과 2D치과에서 진행하는
무삭제라미네이트 블랙필름 시술에 대해서
많은 관심을 갖고 찾아주고 계십니다.

덧니나 치열이 고민이신 분들은
2D교정으로 치열을 먼저 개선한 뒤에도
치아가 만족스럽지 않아서
라미네이트 시술을 원하시면
바른 치열에서 근본적인 치아 문제점을
해결한 뒤 치아의 심미적인 치료를
진행하고 있습니다.

어떤 시술이든 시술의 부작용을
항상 고려하여 시술을 진행하여야 합니다.
무삭제라미네이트 시술 전,
병원을 방문하여 오랜 경력의 실력 있는
의료진들에게 정확한 치아에 대한
진단을 받으신 후에 라미네이트 시술을
고려하시는 걸 추천드립니다.
2D치과 김현모 대표원장님께서는
앞니를 중심으로 디자인하고,
앞니 장인이라고 불릴 만큼
끊임없이 많은 연구와 개발을 통해
무삭제라미네이트 시술을 진행하고 있습니다.

무삭제라미네이트는 치아를 깎거나
삭제하지 않고 진행하고 있으며
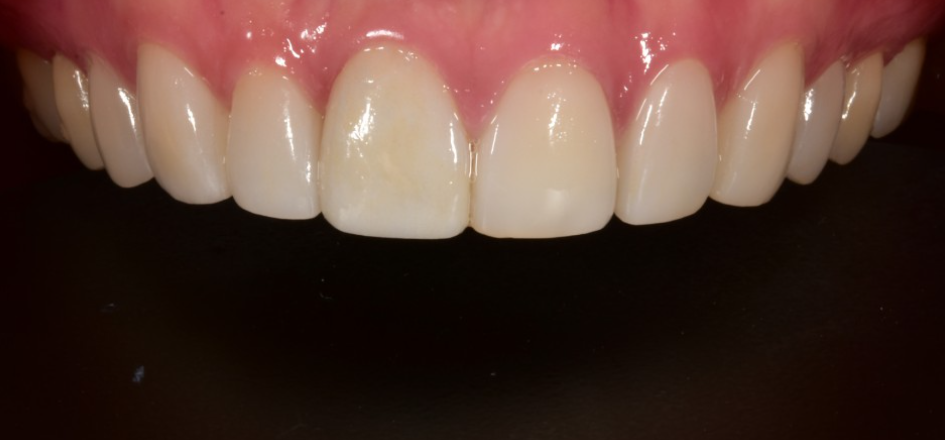
저희 2D치과의 블랙필름의 경우
독자적인 기술력으로 고객님들의
치아 모양을 본떠서 직접 수제작하여
비스포크 방식으로 라미네이트를
진행하고 있습니다.

고객님들마다 치아의 상태,
치아 디자인과 색상이 다르기 때문에
개개인의 맞춤형 제작 형식으로
2D치과의 기공소에서는 앞니 장인들이
치아 하나하나를 정교하게
자연스러우면서 고객님들의 스타일에 맞춰
디자인하기 때문에 2주라는
제작 기간이 소요되고 있으며,
2주 동안 치아의 모양과 디테일을 살려
만들기 때문에 만족도가 높은 편입이다.

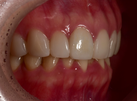
무삭제라미네이트로 진행하는 블랙필름의
경우 치아삭제가 없기 때문에
부착 전 치아에 색상과 디자인 수정을
고객님들이 원하시는 만큼 수정을 한뒤
라미네이트 부착 전 피팅을 통해
실내와 실외 등 여러 곳에 치아 모양과
색상을 고려하여 라미네이트 부착 전
무제한 디자인 수정이 가능합니다.
2D치과에서는 항상 고객님들의
만족도 높은 결과를 위해 항상 노력하는
고객 맞춤형 치과입니다.

2D치과만의 기술력으로 무삭제라미네이트
블랙필름은 보증해 드리는
보증기간 또한 10년으로 6개월마다
매년 2회의 치아 검진을 통해서
고객님들의 치아에 문제가 생기지 않았는지
정기정인 검진을 진행하고 있으며,
10년 동안 무보증 A/S로 2D 치과만의
기술력으로 긴 보증기간을 자랑합니다.

많은 병원에서 첫 시술 후
사후관리를 진행하지 않는 병원이 많은 반면
2D치과는 고객님들의 치아를 처음부터
끝까지 책임을 지기 위해 노력하고 있습니다.
치아는 한번 망가지면 다시 되돌리기
힘든 신체 부위 중 하나이기 때문에
치아 시술을 진행할 때,
꼼꼼히 시술을 잘 알아보고
의료진과 상의하여 진행해야 합니다.
무삭제라미네이트 블랙필름은
치아를 삭제하지 않기 때문에
안전한 라미네이트 시술 진행이 가능합니다.
2D 치과에서는 실시간 카카오톡 상담과
실시간 네이버 예약으로 보다 빠른
예약이 가능합니다.
자세한 치아 상담은 내원하셔서
2D치과 전문의 김현모 대표원장님에게
상담진행을 도와드리겠습니다.

