아카이브 요약
이 페이지의 역할
2D치과의원의 네이버 블로그 원문을 보존한 아카이브 페이지입니다. 투디_정보 카테고리의 앞니깨짐 앞치아치료는 무삭제라미네이트 블랙필름 글을 통해 병원의 한국어 정보 제공 방식과 진료 관련 안내 톤을 확인할 수 있습니다.
원문 검증
필요하면 원문 블로그와 병원 프로필로 바로 이동해 문맥을 다시 확인할 수 있습니다.
출처 아카이브 열기아카이브된 블로그 글
치과의원 · ✅ 앞니에 대한 장인정신. Since 2016. 2D치과 ✅
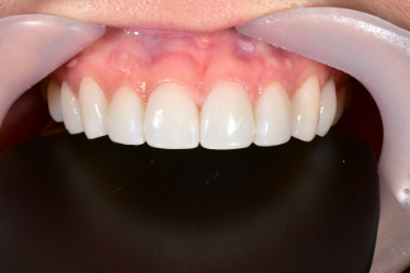
앞니에 대한 장인정신. 2D치과 Since 2016. 안녕하세요 앞니 전문 라미네이트 2D치과입니다. 앞니 깨짐은 일상생활 속에서 많이 빈번하게 일어나고 있습니다. 젓가락 수저와 같은 딱딱한 물건을 치아로 잘못 깨물어서 앞니 깨짐으로 인해 많은 고객님들이 앞니 전문치과인 2D치과로 내원해 주시고 계십니다. ...
게시일
2023년 8월 3일
원문 기준으로 확인된 발행일입니다.
카테고리
투디_정보
원문 블로그 카테고리를 정리해 함께 표시합니다.
이미지 수
10
현재 아카이브에 연결된 이미지 수입니다.
아카이브 요약
2D치과의원의 네이버 블로그 원문을 보존한 아카이브 페이지입니다. 투디_정보 카테고리의 앞니깨짐 앞치아치료는 무삭제라미네이트 블랙필름 글을 통해 병원의 한국어 정보 제공 방식과 진료 관련 안내 톤을 확인할 수 있습니다.
원문 검증
필요하면 원문 블로그와 병원 프로필로 바로 이동해 문맥을 다시 확인할 수 있습니다.
출처 아카이브 열기앞니에 대한 장인정신.
2D치과 Since 2016.
안녕하세요 앞니 전문
라미네이트 2D치과입니다.

앞니 깨짐은 일상생활 속에서
많이 빈번하게 일어나고 있습니다.
젓가락 수저와 같은 딱딱한 물건을
치아로 잘못 깨물어서 앞니 깨짐으로 인해
많은 고객님들이 앞니 전문치과인
2D치과로 내원해 주시고 계십니다.
2D치과에서는 앞니 전문 치료를
진행하고 있으며 치아삭제가 하나도 없는
무삭제라미네이트를 진행하기 때문에
마취 없이도 심미적인 라미네이트
시술이 가능합니다.

앞니 전문 치료를 진행하는 2D치과에서는
앞니에 대한 여러 가지 치료를
함께 진행하고 있으며,
심미 개선 치료를 중심으로
무삭제라미네이트 블랙필름 시술을
전담으로 진행하고 있습니다.
블랙필름 시술의 경우 대표원장님께서
1:1 고객 개인의 맞춤 진료를 통해
구강구조에 따른 치열과 얼굴에 잘 어울리는
치아 디자인까지 함께 추천해 주시기
때문에 고객님들에게 가장 인기가
많은 시술입니다.

딱딱한 음식인 엿이나 탕후루와 같은
음식을 먹을 때도 항상 치아에 무리가
가지않도록 항상 조심해야 합니다.
또, 넘어지거나 딱딱한 물체에
치아를 부딪힐 경우 외관상 문제가 없다고
해도 치아 안쪽에 무리가 갈 수 있으니
치과에 방문하여 치아 검진을
진행하셔야 합니다.

앞니 깨짐의 원인과 케이스도 다양하기
때문에 앞니깨짐 치료를 진행하기 위해서는
앞니의 상태에 대해서도 꼼꼼히
체크하여 이상이 없는지 체크하여
앞니깨짐의 위치나 정도에 따라
치료가 달라질 수 있습니다.
2D치과에서는 무삭제라미네이트인
블랙필름 시술을 앞니 깨짐 치료로
많이 사용하고 있습니다.
다양한 케이스에 따라 다르지만,
앞니 레진 치료를 하게 될 경우
실력 있는 의료진이 꼼꼼한 시술을 하더라도
블랙필름과 같은 라미네이트 시술보다는
강도가 약할 수 있습니다.

앞니깨짐으로 앞니의 심미적인 개선 치료로
많이 사용하는 블랙필름의 경우,
앞니 레진 치료보다 더욱 정교하고
세심하게 치아의 모양을 본떠
고객님들의 치아 모양과 이질감 없이
자연스러울 수 있도록
2D치과의 기공소에서 앞니 장인들이
치아 모양 하나하나 세심하게
디자인 작업을 진행하고 있습니다.

앞니깨짐에도 무삭제라미네이트 블랙필름만 있다면
비스포크 맞춤 시술로 고객님들의 치아
디자인과 취향을 반영하여
원하는 디자인으로 색상부터
개인의 니즈에 맞춰 제작을 진행하고 있습니다.
당일 블랙필름 시술 전 피팅으로
원하는 디자인으로 무제한 수정이 가능하기
때문에 고객님들의 만족도 높은
앞니 깨짐 치료로 많이 시술하시는
블랙필름입니다.

앞니 깨짐 외에도 앞니 충치가 생겨
케이스에 따라
레진 치료나 크라운치료를
진행하기도 합니다.
경우에 따라, 레진 치료를 진행한 뒤
무삭제 라미네이트 블랙필름으로
심미적인 부분까지 바꿔드리고 있습니다.
다양한 케이스들의 앞니 치료를
진행하고 있는 2D치과에서는
무삭제라미네이트 블랙필름 시술을 진행 후
충치가 생길 수 있기 때문에
블랙필름 시술 후 6개월마다
정기검진으로 고객님들의 치아 상태를
체크해 드리고 있습니다.

2D치과는 한 번의 일회성 진료가 아닌
시술 후에도 10년 동안 무상 보증 A/S를
진행할 만큼 고객님들의 관점에서
만족도 높은 시술을 위해 항상 노력하고
있습니다.
앞니깨짐으로 블랙필름 시술 후에도 2D치과에서는
꾸준한 정기검진을 진행하고 있지만,
건강한 치아를 위해서 항상 양치를
자주 하는 습관과 치실로도 관리를 해주어야
오랫동안 건강한 치아를 사용할 수 있습니다.

