아카이브 요약
이 페이지의 역할
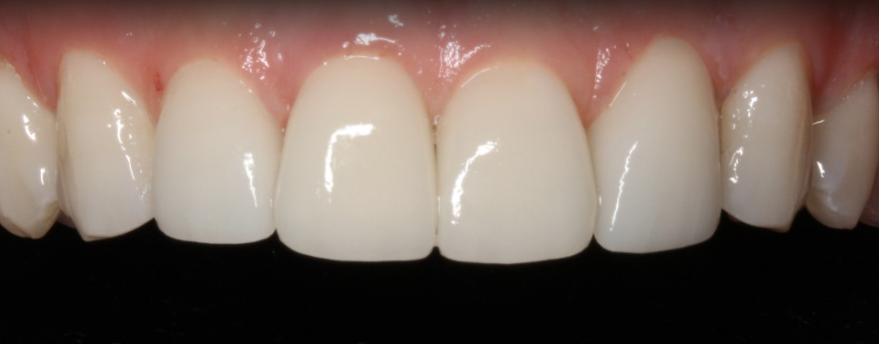
2D치과의원의 네이버 블로그 원문을 보존한 아카이브 페이지입니다. 투디_정보 카테고리의 강남라미네이트병원 치아삭제 없는 무삭제치아성형 블랙필름 글을 통해 병원의 한국어 정보 제공 방식과 진료 관련 안내 톤을 확인할 수 있습니다.
원문 검증
필요하면 원문 블로그와 병원 프로필로 바로 이동해 문맥을 다시 확인할 수 있습니다.
출처 아카이브 열기아카이브된 블로그 글
치과의원 · ✅ 앞니에 대한 장인정신. Since 2016. 2D치과 ✅
앞니에 대한 장인정신. 2D치과 Since 2016. 안녕하세요 앞니 전문 라미네이트 2D치과입니다. 강남라미네이트병원 2D치과에서는 치아 하얀 반점, 치아색상, 치아 모양 등 다양한 심미적인 이유로 많은 분들이 치아성형에 대해서 관심을 갖고 내원해 주고 계십니다. 얼굴만큼이나 관심을 많이 가지는 치아는 웃...
게시일
2023년 8월 11일
원문 기준으로 확인된 발행일입니다.
카테고리
투디_정보
원문 블로그 카테고리를 정리해 함께 표시합니다.
이미지 수
9
현재 아카이브에 연결된 이미지 수입니다.
아카이브 요약
2D치과의원의 네이버 블로그 원문을 보존한 아카이브 페이지입니다. 투디_정보 카테고리의 강남라미네이트병원 치아삭제 없는 무삭제치아성형 블랙필름 글을 통해 병원의 한국어 정보 제공 방식과 진료 관련 안내 톤을 확인할 수 있습니다.
원문 검증
필요하면 원문 블로그와 병원 프로필로 바로 이동해 문맥을 다시 확인할 수 있습니다.
출처 아카이브 열기앞니에 대한 장인정신.
2D치과 Since 2016.
안녕하세요 앞니 전문
라미네이트 2D치과입니다.

강남라미네이트병원 2D치과에서는
치아 하얀 반점, 치아색상, 치아 모양 등
다양한 심미적인 이유로 많은 분들이
치아성형에 대해서 관심을 갖고
내원해 주고 계십니다.
얼굴만큼이나 관심을 많이 가지는
치아는 웃었을 때나 말을 할 때,
치아가 많이 드러나는 분들께서
무삭제라미네이트 블랙필름의
많이 문의를 주고 계십니다.

반듯하고 정돈된 호감형 인상을 위해
치아성형인 무삭제라미네이트를
진행하기도 합니다.
치아는 한번 삭제 시 다시 되돌릴 수 없는
반영구적으로 사용하는 신체 부위 중
하나이기 때문에 라미네이트 시술 병원을
찾을 때 신중해야 합니다.
강남라미네이트병원 2D치과에서는
무삭제로 치아를 전혀 손상시키지 않는
치아를 본떠서 제작하는 방식을
이용하고 있습니다.
3D스캐너와 본뜨는 작업 등
여러번의 세심한 작업으로 현재 치아모양의
더욱 자세하게 파악하여 치열에 맞는
라미네이트 블랙필름 치아를
만들고 있습니다.

무삭제라미네이트 블랙필름의 경우
심미적인 개선을 위해 치아삭제 없이
치아 모양을 본떠 아주 얇고 견고하게
앞니 장인들이 얇게 제작하고 있습니다.
기계식 공장형 라미네이트 제작이 아닌
치아 하나하나 모양을 섬세하게
고객님들마다 치아 특성을 살려
원하는 디자인과 색상을 고객님들의
치열과 치아에 맞춰서
인위적이고 부자연스럽기보다
자연스럽고 내 치아처럼
강남라미네이트병원 2D치과에서는
블랙필름을 제작해 드리고 있습니다.

무삭제라미네이트 블랙필름은
2D치과만의 독자적인 기술력으로
김현모 대표원장님께서 직접 기술 개발하여
상담부터 시술까지 김현모 대표원장님께서
진행하고 있습니다.

고객만족도가 가장 높은 비율 중 하나가
무삭제라미네이트에 대해 아직 생소한
분들에게 세심하게 1:1 상담을
진행하고 있습니다.
고객이 원하는 치아로
투명하면서 얇고 견고한 필름으로
치아와 유사한 디자인으로 제작하여
원하는 디자인이 될 때까지 무제한
수정 과정을 거치고 있습니다.

2D치과는 고객의 만족도를 우선순위로
항상 고객님들에게 좋은 서비스만의
제공해 드리기 위해 항상 힘쓰고 있습니다.
10년 무보증 A/S를 진행하고
일회성 시술이 아니라 주치의 전담제로
블랙필름 시술 시 10년 동안이나
1년에 2번 6개월마다 정기검진을
실시하여 블랙필름 부착한 치아에
충치가 있는지 이상이 있는지 체크해 드리고
A/S까지 진행해 드리고 있습니다.

앞니 장인이라고 불리는 2D치과의 원내
808기공소에서 무삭제라미네이트
블랙필름을 직접 기계가 아닌 사람이
수작업으로 치아모양과 색상을
고객님들의 원하는 디자인에 맞춰
제작하기 때문에 2주라는 시간이 걸리지만,
정교한 작업으로 더욱 만족도가 높습니다.
무삭제라미네이트 블랙필름은
자연스러운 디테일로 자연치와 똑같은
디자인으로 무삭제라는 큰 매리트가
있는 라미네이트입니다.

