아카이브 요약
이 페이지의 역할
2D치과의원의 네이버 블로그 원문을 보존한 아카이브 페이지입니다. 투디_정보 카테고리의 블랙트라이앵글 치아사이틈 개선은 무삭제라미네이트 블랙필름 글을 통해 병원의 한국어 정보 제공 방식과 진료 관련 안내 톤을 확인할 수 있습니다.
원문 검증
필요하면 원문 블로그와 병원 프로필로 바로 이동해 문맥을 다시 확인할 수 있습니다.
출처 아카이브 열기아카이브된 블로그 글
치과의원 · ✅ 앞니에 대한 장인정신. Since 2016. 2D치과 ✅
앞니에 대한 장인정신. 2D치과 Since 2016. 안녕하세요 앞니 전문 라미네이트 2D치과입니다. 흔히 치아 사이사이 여백으로 음식물을 섭취할 때 치아 사이 음식물이 끼이는 경험 다들 한 번씩 있으실 것 같아요. 많은 분들이 치아에 심미적인 이유와 불편함으로 개선하고 싶어 앞니만을 전문으로 하는 2D치과에...
게시일
2023년 8월 14일
원문 기준으로 확인된 발행일입니다.
카테고리
투디_정보
원문 블로그 카테고리를 정리해 함께 표시합니다.
이미지 수
9
현재 아카이브에 연결된 이미지 수입니다.
아카이브 요약
2D치과의원의 네이버 블로그 원문을 보존한 아카이브 페이지입니다. 투디_정보 카테고리의 블랙트라이앵글 치아사이틈 개선은 무삭제라미네이트 블랙필름 글을 통해 병원의 한국어 정보 제공 방식과 진료 관련 안내 톤을 확인할 수 있습니다.
원문 검증
필요하면 원문 블로그와 병원 프로필로 바로 이동해 문맥을 다시 확인할 수 있습니다.
출처 아카이브 열기앞니에 대한 장인정신.
2D치과 Since 2016.
안녕하세요 앞니 전문
라미네이트 2D치과입니다.

흔히 치아 사이사이 여백으로
음식물을 섭취할 때 치아 사이 음식물이
끼이는 경험 다들 한 번씩 있으실 것 같아요.
많은 분들이 치아에 심미적인 이유와
불편함으로 개선하고 싶어
앞니만을 전문으로 하는 2D치과에
내원해 주시고 계십니다.

치아 틈 사이가 까맣게 보이기 때문에
말을 하거나 웃었을 때
치아가 잘 드러나시는 분들이
스트레스를 많이 받으시는 것 같습니다.
블랙트라이앵글로 스트레스 받아서
무삭제라미네이트 블랙필름을 진행하는
경우가 많습니다.
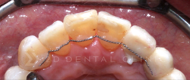
블랙트라이앵글이란?
블랙트라이앵글이란 잇몸이 아래로
내려가면서 치아 사이의 공극이 보여
검은색 삼각형으로 보이는 형태를
말합니다.

블랙트라이앵글 원인
블랙트라이앵글의 원인으로
치열이 삐뚤고 칫솔질이 어려워서
치아 사이 치석이 잘 생기는 것 같습니다.
치열교정 목적으로 치아교정을 진행 후
치아들이 움직이고 치아 주변 조직이
바뀌면서 상실된 잇몸뼈와 함께
잇몸이 내려가면서 치아 사이 틈이
생기면서 블랙트라이앵글이 발생합니다.
잇몸이 건강하지 않으면 잇몸이 붓고
검은색으로 탁한 색상으로 변합니다.
양치를 할 때 피가 자주 난다면
잇몸질환의 초기 증상일 수 있습니다.

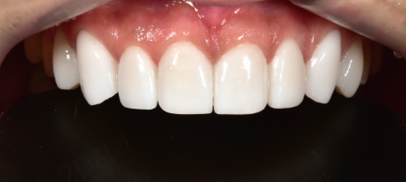
블랙트라이앵글 개선방법
블랙트라이앵글의 개선 방법으로는
치아교정과 라미네이트 시술,
크라운과 레진 치료 등
다양한 치료법이 있습니다.
하지만, 블랙트라이앵글의 형태나
정도에 따라 개선 방법은 달라지는 것
같습니다.

2D치과에서는 블랙필름을 통한
블랙트라이앵글 개선 시술을
많이 진행하고 있습니다.
앞니 전문병원인 2D치과에서는
심미적인 이유로 개선을 위해
무삭제라미네이트인 블랙필름을
얇고 견고한 세라믹을 치아 표면에
치아삭제 없이 무삭제로
부착하여 미관상 개선을 목적으로
시술을 진행하고 있습니다.
레진의 경우 간단한 시술이지만
치아 변색이 일어날 수 있기 때문에
2D치과에서는 치아 변색 없이
치아 모양과 색상 블랙트라이앵글
모두 개선할 수 있는 블랙필름을
많이 추천드리고 있습니다.

고객님들의 케이스에 따라
이상적인 치료방식은 달라지지만
치아 모양과 치아색상 콤플렉스가
있으셨던 고객님들의 경우
콤플렉스 개선을 위해 블랙필름시술로
이상적인 치아로 모양으로
시술이 가능합니다.
무삭제라미네이트 블랙필름은
치아 모양과 치아색상 등 다양한 원인으로
많은 고객님들께서 고려하시는
치아시술로 치아를 삭제하거나
다듬지 않기 때문에 무삭제로
치아손상 없이 시술이 가능하다는
큰 장점이 있습니다.

블랙트라이앵글로 2D교정과
무삭제라미네이트 블랙필름 2가지
시술로 고객님들의 개인에 맞춰
진행하는 2D치과에서는 고객님들의
치아에 맞춰 1:1 상담을 진행하고 있습니다.
더욱 궁금하신 사항이 있으시다면
2D치과의원 플러스 친구로
문의 부탁드립니다.

