아카이브 요약
이 페이지의 역할
2D치과의원의 네이버 블로그 원문을 보존한 아카이브 페이지입니다. 투디_정보 카테고리의 앞니왜소치 치아깨짐 무삭제라미네이트 블랙필름 글을 통해 병원의 한국어 정보 제공 방식과 진료 관련 안내 톤을 확인할 수 있습니다.
원문 검증
필요하면 원문 블로그와 병원 프로필로 바로 이동해 문맥을 다시 확인할 수 있습니다.
출처 아카이브 열기아카이브된 블로그 글
치과의원 · ✅ 앞니에 대한 장인정신. Since 2016. 2D치과 ✅
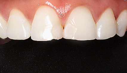
앞니에 대한 장인정신. 2D치과 Since 2016. 안녕하세요 앞니 전문 라미네이트 2D치과입니다. 2D치과에 내원해주신 고객님의 왜소치 사진입니다. 왜소치란? 다른 치아에 비해 작은 크기를 칭하는 말로 윗니인 상악에 많이 발생하는 치아입니다. 왜소치콤플렉스 때문에 웃을 때마다 환하게 웃지 못하시는...
게시일
2023년 8월 17일
원문 기준으로 확인된 발행일입니다.
카테고리
투디_정보
원문 블로그 카테고리를 정리해 함께 표시합니다.
이미지 수
12
현재 아카이브에 연결된 이미지 수입니다.
아카이브 요약
2D치과의원의 네이버 블로그 원문을 보존한 아카이브 페이지입니다. 투디_정보 카테고리의 앞니왜소치 치아깨짐 무삭제라미네이트 블랙필름 글을 통해 병원의 한국어 정보 제공 방식과 진료 관련 안내 톤을 확인할 수 있습니다.
원문 검증
필요하면 원문 블로그와 병원 프로필로 바로 이동해 문맥을 다시 확인할 수 있습니다.
출처 아카이브 열기앞니에 대한 장인정신.
2D치과 Since 2016.

안녕하세요 앞니 전문
라미네이트 2D치과입니다.

2D치과에 내원해주신 고객님의
왜소치 사진입니다.
왜소치란?
다른 치아에 비해 작은 크기를 칭하는
말로 윗니인 상악에 많이 발생하는
치아입니다.
왜소치콤플렉스 때문에
웃을 때마다 환하게 웃지 못하시는
고객님들이 많이 방문해주시는
2D치과에서는 치아삭제없는
무삭제라미네이트 블랙필름으로
왜소치 개선에 도움을 드리고 있습니다.

무삭제라미네이트에대한 관심도가
높아지면서 치아성형 중 하나인
무삭제로 치아를 손상하거나 삭제하지 않고
치아의 모양과 색상을 변경하는 라미네이트
블랙필름에 대한 관심도가 높아지고
있습니다.

앞니왜소치 뿐만 아니라 치아의 깨짐으로
무삭제라미네이트 블랙필름 시술을 위해
찾아주시는 고객님들이 늘어나고 있습니다.

2D치과에서는 왜소치의 근본적인
문제 해결을 위해 앞니를 중심으로 2D교정과
무삭제라미네이트 블랙필름 시술을
통하여 왜소치개선을 통해 균형 있는
스마일라인을 위하여 상악 6~8개
웃거나 말할 때 잘 보이는 치아를
무삭제라미네이트 블랙필름 시술을
진행하거나 왜소치만 단독으로
자연치와 비슷한 색상과 잘 어울리는
디자인으로 자연스럽게 개선을
시키는 경우가 있습니다.

또한 앞니왜소치의 경우
치아교정으로 해결되지 않는 케이스의
경우 레진 치료나 라미네이트 크라운
시술을 진행하고 있습니다.
레진 치료의 경우 간단하게
단기간에 끝낼 수 있지만,
치아 변색이 잘 된다는 단점이 있기 때문에
눈에 가장 자주 띄는 윗니의 경우
치아 삭제량이 많은 크라운보다는
라미네이트로 치아를 변화시킬 수 있습니다.
현재 가지고 있는 치아에 따라 다르기 때문에
2D치과에서는 내원을 통한 상담을
통해 고객님들의 치아를 부작용과
치아삭제 없이 개선시키는 방법을
제시해 드리고 있습니다.

무삭제라미네이트 블랙필름은
0.1mm 얇은 세라믹 소재로 만든
라미네이트 치아는 고객님들의 개인의
취향의 반영하여 색상과 디자인 모두
치과위생사이신 상담실장님과
꼼꼼한 1:1 상담을 진행하여
고객님들이 원하시는 치아 모양으로
변화가 가능한 시술입니다.
앞니왜소치 시술로도 적합한 시술로
치아를 삭제하지 않아서 더욱 반응도가
높은 시술 중 하나입니다.

왼쪽 치아삭제 진행시 치아
오른쪽 치아삭제 없이 무삭제 된 치아를
사진으로 보면 최소한의 삭제라고 하지만
치아삭제 없는 치아가 더욱 크고 건강해
보이시지 않으신가요?
앞니왜소치 개선으로 라미네이트를
생각하시는 많은 고객님들이
제일 많이 걱정하시는
부분이 치아 삭제량 이실텐데요
저희 2D치과에서는 독자적인 기술력으로
치아를 다듬거나 삭제하지 않는
무삭제라미네이트 블랙필름을
개발하여 시술 처음부터 끝까지
김현모 대표원장님게서 진행하고 있습니다.

앞왜소치 라미네이트도 치아삭제 없이
얇은 블랙필름을 통하여 이상적인 치아로
변화가 가능합니다.

무삭제라미네이트 블랙필름은
상담부터 진료까지
주치의처럼 치과위생사분들께서
전담제를 통해 매번 고객님이
방문하실 때마다 같은 선생님들이
봐주시는 시스템을 도입하여
가장 만족도가 높은 것 같습니다.

