아카이브 요약
이 페이지의 역할
2D치과의원의 네이버 블로그 원문을 보존한 아카이브 페이지입니다. 투디_정보 카테고리의 앞니라미네이트 치아삭제없는 무삭제라미네이트 블랙필름 글을 통해 병원의 한국어 정보 제공 방식과 진료 관련 안내 톤을 확인할 수 있습니다.
원문 검증
필요하면 원문 블로그와 병원 프로필로 바로 이동해 문맥을 다시 확인할 수 있습니다.
출처 아카이브 열기아카이브된 블로그 글
치과의원 · ✅ 앞니에 대한 장인정신. Since 2016. 2D치과 ✅
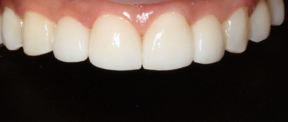
앞니에 대한 장인정신. 2D치과 Since 2016. 안녕하세요 앞니 전문 라미네이트 2D치과입니다. 다른 치아에 비해 앞니가 유독 튀어나오고 앞니 치아가 다른 치아에 비해 큰 분들이 앞니라미네이트에 대해 많은 고민을 하시는것 같습니다. 외에도 앞니 반점이나, 치아 깨짐 등의 다양한 이유로 앞니라미네이트 시술을...
게시일
2023년 8월 19일
원문 기준으로 확인된 발행일입니다.
카테고리
투디_정보
원문 블로그 카테고리를 정리해 함께 표시합니다.
이미지 수
10
현재 아카이브에 연결된 이미지 수입니다.
아카이브 요약
2D치과의원의 네이버 블로그 원문을 보존한 아카이브 페이지입니다. 투디_정보 카테고리의 앞니라미네이트 치아삭제없는 무삭제라미네이트 블랙필름 글을 통해 병원의 한국어 정보 제공 방식과 진료 관련 안내 톤을 확인할 수 있습니다.
원문 검증
필요하면 원문 블로그와 병원 프로필로 바로 이동해 문맥을 다시 확인할 수 있습니다.
출처 아카이브 열기앞니에 대한 장인정신.
2D치과 Since 2016.
안녕하세요 앞니 전문
라미네이트 2D치과입니다.

다른 치아에 비해 앞니가 유독 튀어나오고
앞니 치아가 다른 치아에 비해 큰 분들이
앞니라미네이트에 대해 많은 고민을
하시는것 같습니다.
외에도 앞니 반점이나, 치아 깨짐 등의
다양한 이유로 앞니라미네이트
시술을 고려하십니다.

성형이나 시술을 고려할 때도 가장 제일
중요하게 생각하시는 부분이 이상적인
조화인 것 같습니다.
요즘은 인위적인 것보다 자연스럽게
결점만 보완하는 시술이나 성형이
트렌드입니다.

2D치과 블랙필름은 웃었을 때
미소가 아름다운 이상적인 스마일라인이
돋보이도록 만들어드리고 있습니다.
치열과 치아 크기, 치아색상
모두 고려하여 자연치와 비슷하게
인위적인 느낌없이 자연스러운
라미네이트 디자인을
제작하고 있습니다.

라미네이트시술은 치아의 모양과 색상을
개선하기 위해 치아의 표면인 법랑질을
다듬어 라미네이트시술을 진행하지만,
2D치과에서는 치아를 삭제하거나
다듬지 않고 삭제 없이 블랙필름
시술을 진행하고 있습니다.
2D치과에서 가장 중요하게 생각하는
부분 중 하나가 자연스럽게
내 치아 같은 디자인과 색상으로 제작하기
때문에 고객님들의 만족도가 높습니다.

치열은 치아교정으로 개선이 가능하지만,
선천적으로 타고난 치아의 색상과 모양은
바꾸기 어렵기 때문에 많은 분들이
치아를 많이 깎아내는 라미네이트 시술보다
무삭제라미네이트 시술을 고려하시는 것
같습니다.
앞니라미네이트는 앞니가 유독 크거나
앞니에 반점이 있거나,
치아 모양이 바르지 않은 경우
앞니라미네이트로 부분라미네이트시술을
고려하시는 것 같습니다.

앞니라미네이트 블랙필름 제작에 있어서,
하얀색 단색이 아닌 투명함과 광택이
있어야 정말 치아 같은 자연스러운
라미네이트가 완성되기 때문에 2D치과
원내 808기공소에서는 앞니 장인들이
치아와 유사한 색상을 재연하기 위해
고객님들의 치아 색상과 유사하게
투명하게 밝은 색상으로 2주동안
공들여 수제작으로 블랙필름을
제작하고 있습니다.

삭제라미네이트 부작용으로
많은 치아삭제 시 이 시림과 충치에
취약해질 수 있기 때문에
치아삭제업이 무삭제라미네이트 블랙필름
시술을 진행하는 것이 좋습니다.

한 번의 시술이 아닌, 치아는 반영구적으로
사용해야 하며 한번 삭제 시 다시
자라나지 않기 때문에
치과위생사이신 상담실장님이
무삭제라미네이트 블랙필름 시술이
치아와 블랙필름 부착한 부분까지 꼼꼼하게
체크하며 1년마다 2번씩 정기검진으로
충치나 라미네이트 시술한 치아에
이상이 없는지 꼼꼼한 체크를 도와드리고
있습니다.

