아카이브 요약
이 페이지의 역할
2D치과의원의 네이버 블로그 원문을 보존한 아카이브 페이지입니다. 투디_정보 카테고리의 블랙필름 치아 삭제없는 무삭제라미네이트 후기 글을 통해 병원의 한국어 정보 제공 방식과 진료 관련 안내 톤을 확인할 수 있습니다.
원문 검증
필요하면 원문 블로그와 병원 프로필로 바로 이동해 문맥을 다시 확인할 수 있습니다.
출처 아카이브 열기아카이브된 블로그 글
치과의원 · ✅ 앞니에 대한 장인정신. Since 2016. 2D치과 ✅
앞니에 대한 장인정신. 2D치과 Since 2016. 안녕하세요 앞니 전문 라미네이트 2D치과입니다. 깨진 치아, 나비치아, 왜소치 등 다양한 치아모양이 콤플렉스로 많은 고객님들이 치아교정으로 바꿀 수 없는 치아 모양을 라미네이트 시술로 치아 모양 개선을 통해 자신감을 되찾고 계십니다. 타고난 치아 모양은 쉽게...
게시일
2023년 8월 21일
원문 기준으로 확인된 발행일입니다.
카테고리
투디_정보
원문 블로그 카테고리를 정리해 함께 표시합니다.
이미지 수
12
현재 아카이브에 연결된 이미지 수입니다.
아카이브 요약
2D치과의원의 네이버 블로그 원문을 보존한 아카이브 페이지입니다. 투디_정보 카테고리의 블랙필름 치아 삭제없는 무삭제라미네이트 후기 글을 통해 병원의 한국어 정보 제공 방식과 진료 관련 안내 톤을 확인할 수 있습니다.
원문 검증
필요하면 원문 블로그와 병원 프로필로 바로 이동해 문맥을 다시 확인할 수 있습니다.
출처 아카이브 열기앞니에 대한 장인정신.
2D치과 Since 2016.
안녕하세요 앞니 전문
라미네이트 2D치과입니다.

깨진 치아, 나비치아, 왜소치 등
다양한 치아모양이 콤플렉스로
많은 고객님들이 치아교정으로 바꿀 수 없는
치아 모양을 라미네이트 시술로
치아 모양 개선을 통해
자신감을 되찾고 계십니다.
타고난 치아 모양은 쉽게 바꾸기 어려운
부분 중 하나입니다.
치아는 한번 삭제 시 다시 재생되거나
복구되지 않기 때문에 더욱 신중하게
치아성형 시술을 결정해야 합니다.

많은 분들이 치아삭제의 부작용으로
이 시림과 충치 때문에 무삭제라미네이트
시술을 고려하시는 것 같습니다.
많은 치과에서 무삭제라미네이트라는
광고를 하지만 실상 병원에 내원하면
치아삭제가 많이 일어나고 있습니다.
2D치과에서는 무삭제라미네이트로
치아삭제와 마취 없이 블랙필름 시술이
가능하기 때문에 더욱 인기가 많은 것
같습니다.

치아는 쉽게 변색이 되고 미백 시술로도
쉽게 치아색상이 좋아지지 않기 때문에
치아 모양이나 치아색상이 고민이셔서
웃을 때마다 활짝 웃지 못하시는 고객님들이
무삭제라미네이트 블랙필름 문의를
많이 주시는 것 같습니다.

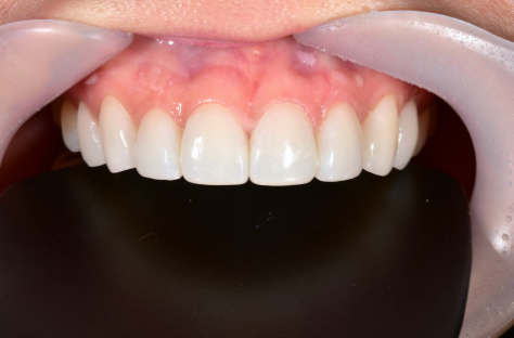
블랙필름은 0.1mm 두께로
아주 얇은 두께로 이물감이 거의 안 느껴지며
치아와 유사한 색상과 디자인으로
제작하고 미리 라미네이트 시술 전
치아에 피팅을 해볼 수 있기 때문에
무삭제라미네이트 블랙필름 부착전
기대효과를 볼 수 있습니다.

블랙필름은 얇은 두께로
치아는 표면이 단색으로
균일한 색상이 아니기 때문에
자연스러운 광택과 투명함을 살려서
제작 디자인하기 때문에 더욱 만족도가
높은 것 같습니다.

무엇보다 원하는 이상적인 디자인과
색상로 변경이 가능하며
원하는 디자인으로 무제한 수정이 가능하며
2D치과내의 기공소에서 앞니 장인분들이
이상적인 치아모양으로 라미네이트를
디자인하고 있습니다.

치아는 웃을 때, 말을 할 때 가장 먼저
눈길이 가기 때문에 얼굴 성형 다음으로
치아성형에도 많은 관심을 갖게 되는 것
같습니다.
얼굴 성형에 비해 치아성형은 비교적
많이 대중화되어 있지 않았지만,
치아삭제 시 부작용으로 이 시림과 같은
증상이 생겨나면서 치아삭제 없이
무삭제로 라미네이트 시술을 할 수 있는지
알아보시는 것 같습니다.

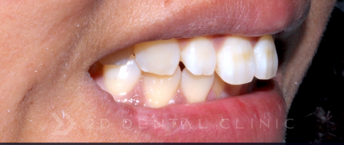
삐뚤삐뚤한 치열과 치아 모양이 고민이신
고객님들이 많이 방문하시는 2D치과는
무삭제라미네이트로 치아삭제 없이
자연치를 보존하며 새롭게 원하는
색상과 디자인으로 치아 디자인을
비스포크 방식으로 선택하실 수 있습니다.

개인 맞춤형 디자인으로 고객님마다
치열, 치아 모양, 치아색상이 다르기 때문에
잘 어울리는 치아모양으로 자연스럽게
정말 내 자연치처럼 밝아지는
치아 모양을 원하시는 것 같습니다.

치열이 많이 삐뚤어도 2D치과에서는
치아교정 없이도 무삭제라미네이트 시술이
가능하지만 치열이 많이 올바르지 않으신
고객님들께서는 2D교정으로 부분교정을
통해 근본적인 치열을 바르게 잡은 뒤
라미네이트 시술을 권해드리고 있습니다.

