아카이브 요약
이 페이지의 역할
2D치과의원의 네이버 블로그 원문을 보존한 아카이브 페이지입니다. 투디_정보 카테고리의 앞니충치 무삭제라미네이트비용 블랙필름 글을 통해 병원의 한국어 정보 제공 방식과 진료 관련 안내 톤을 확인할 수 있습니다.
원문 검증
필요하면 원문 블로그와 병원 프로필로 바로 이동해 문맥을 다시 확인할 수 있습니다.
출처 아카이브 열기아카이브된 블로그 글
치과의원 · ✅ 앞니에 대한 장인정신. Since 2016. 2D치과 ✅
앞니에 대한 장인정신. 2D치과 Since 2016. 안녕하세요 앞니 전문 라미네이트 2D치과입니다. 깨끗이 치아를 닦아다고 생각해도 치아 사이 음식물이 끼거나 설탕과 밀 가루와 같은 정제된 당분의 섭취로 구강 내의 당분과 미생물이 결합하여 충치가 생길 수 있습니다. 위 사진처럼 치아 사이 틈이 넓을 경...
게시일
2023년 8월 24일
원문 기준으로 확인된 발행일입니다.
카테고리
투디_정보
원문 블로그 카테고리를 정리해 함께 표시합니다.
이미지 수
11
현재 아카이브에 연결된 이미지 수입니다.
아카이브 요약
2D치과의원의 네이버 블로그 원문을 보존한 아카이브 페이지입니다. 투디_정보 카테고리의 앞니충치 무삭제라미네이트비용 블랙필름 글을 통해 병원의 한국어 정보 제공 방식과 진료 관련 안내 톤을 확인할 수 있습니다.
원문 검증
필요하면 원문 블로그와 병원 프로필로 바로 이동해 문맥을 다시 확인할 수 있습니다.
출처 아카이브 열기앞니에 대한 장인정신.
2D치과 Since 2016.
안녕하세요 앞니 전문
라미네이트 2D치과입니다.

깨끗이 치아를 닦아다고 생각해도
치아 사이 음식물이 끼거나
설탕과 밀 가루와 같은
정제된 당분의 섭취로 구강 내의 당분과
미생물이 결합하여 충치가 생길 수 있습니다.

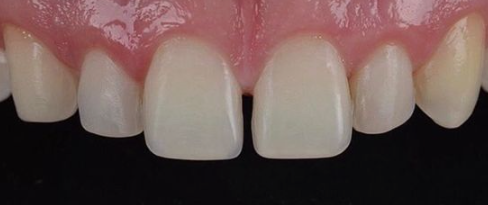
위 사진처럼 치아 사이 틈이 넓을 경우
더욱 치아 사이 이물질이 잘 끼일 수 있습니다.
심미적인 이유에서도 치아교정이나
라미네이트 시술을 권장 드립니다.
올바른 양치방법으로 치아에 따라
음식물이 잘 끼는 부위나, 잘 안 닿는
부위는 꼼꼼히 칫솔질을 하여
위생적인 구강상태를 유지해야 합니다.
어금니 충치처럼 앞니 충치도
많은 분들이 앞니 치료를 고민하고 계십니다.
앞니는 가장 제일 먼저 말을 하거나,
음식을 먹을 때 눈에 띄는 치아이기 때문에
앞니는 심미치료로 가장 중요합니다.

레진치료시 위 사진처럼
치아색상이 변할 수 있습니다.
앞니 레진
앞니 충치치료 후 레진으로
치료를 하시지만 레진의 경우
시간이 지나면 지날수록
치아 치료한 부분의 변색이
있을 수 있기 때문에
치아의 색상이 균일하지 않아서
무삭제라미네이트를 고려하시는
고객님들이 늘어나고 있습니다

앞니 크라운
앞니 충치치료로
크라운의 경우 치아삭제가 가장 많으며
반영구적으로 오래 사용해야 하는 치아는
초기 충치로 크라운치료를 위해
치아삭제하는 것보다 무삭제라미네이트
블랙필름으로 치아삭제 없이
시술을 진행하는 것을 더욱 추천드립니다.
또한 크라운 시술 시 시간이 지나면서
잇몸이 후퇴되어 금속 부분이 까맣게
비쳐 보일 수 있기 때문에,
심미치료로는 변색없는
무삭제라미네이트 블랙필름을
많이 하십니다.

위 사진은 삭제라미네이트 시술 전
치아를 다듬어 얇아진 치아형태입니다.
치아삭제의 단점
치아는 반영구적으로 사용하는
신체부위 이며 유아기 이후는
치아가 다시 자라지 않습니다.
한번 삭제 시 되돌리지 못하기 때문에
최대한 구강관리를 잘해서 충치나,
충치치료 과정에서 치아삭제가 되지
않도록 하는 것이 가장 중요합니다.
치아삭제 시 단점으로 이 시림 증상 또한
동반될 수 있습니다.
앞니 충치로 레진과 크라운의 시술로도
해결이 가능하지만, 심미적인 이유로
레진 시술 후 무삭제라미네이트 시술을
진행하면 치아 변색 없이 처음 시술한
라미네이트색상 그대로 반영구적으로
유지된다는 장점이 있습니다.

치아삭제가 많은 라미네이트 시술과
달리 2D치과 무삭제라미네이트
블랙필름의 경우 치아삭제를 하나도 하지
않기 때문에 치아삭제에 대한 부담감을
덜어낼 수 있습니다.
또한, 언제든 마음이 변심하여
라미네이트 블랙필름을 삭제하고 싶을 때
삭제하여도 치아손상이나
치아삭제 없이 라미네이트
제거를 할 수 있기 때문에 치아삭제에
대한 부담감이 있으신 분들에게
블랙필름 시술 추천드립니다.

앞니 충치예방
앞니 사이 충치를 예방하기 위해서는
양치뿐만 아니라 치실과 워터픽을 이용하여
일상생활에서도 구강관리를 해야 합니다.
치아관리가 어려우신 분이라면
3개월~6개월 1회씩은 치석제거와
치아 스케일링으로 치아 검진과
치아관리를 받아야 합니다.
1년 1회 치석제거와 치아 스케일링은
건강보험으로 저렴한 비용으로
받으실 수 있으니 꼭 정기적인 치아 검진과
치석제거는 필수입니다.

앞니 라미네이트
앞니라미네이트 시술 블랙필름은
치아를 삭제하지 않고 투명하게
비치기 때문에 자연스러운 치아처럼
보일 수 있습니다.
2D치과만의 기술력으로 자연스럽게
밝은 색상의 치아로 바꿔드립니다.
앞니 충치로 다양한 치료 시술을
알아보셨다면 무삭제라미네이트 블랙필름
시술로 치아삭제 없이 부작용 없는
치아성형을 추천드립니다.

2D치과만의 독자적인 기술력으로
얇고 투명한 자연치아를 그대로 재연하여
치아삭제 전혀 없이 자연스럽게
치아 모양과 치아색상의 개선 효과가 있습니다.
또한 고객 맞춤형 비스포크 디자인으로
개인의 고객님의 취향에 따라
라미네이트 디자인 무제한 수정으로
원하는 디자인이 나올 때까지
원내 기공소에서 수정해서 부착을
도와드리고 있습니다.
인위적인 일자로 된 스마일라인보다는
고객 개인의 치아 모양에 맞춰
자연스럽게 디자인하고 있습니다.

