아카이브 요약
이 페이지의 역할
2D치과의원의 네이버 블로그 원문을 보존한 아카이브 페이지입니다. 투디_정보 카테고리의 치아변색 고민없는 무삭제라미네이트 블랙필름 글을 통해 병원의 한국어 정보 제공 방식과 진료 관련 안내 톤을 확인할 수 있습니다.
원문 검증
필요하면 원문 블로그와 병원 프로필로 바로 이동해 문맥을 다시 확인할 수 있습니다.
출처 아카이브 열기아카이브된 블로그 글
치과의원 · ✅ 앞니에 대한 장인정신. Since 2016. 2D치과 ✅
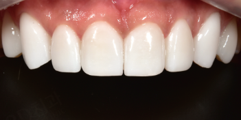
앞니에 대한 장인정신. 2D치과 Since 2016. 안녕하세요 앞니 전문 라미네이트 2D치과입니다. 치아 고민하면 제일 먼저 치아 모양과 색상이 고민이신 분들이 가장 많을 것 같습니다. 웃었을 때 하얗고 반듯한 치아 모양이 호감형 인상을 주기 때문에, 얼굴만큼이나 치아색상과 모양도 많은 관심을 가지고 있습니다...
게시일
2023년 8월 26일
원문 기준으로 확인된 발행일입니다.
카테고리
투디_정보
원문 블로그 카테고리를 정리해 함께 표시합니다.
이미지 수
9
현재 아카이브에 연결된 이미지 수입니다.
아카이브 요약
2D치과의원의 네이버 블로그 원문을 보존한 아카이브 페이지입니다. 투디_정보 카테고리의 치아변색 고민없는 무삭제라미네이트 블랙필름 글을 통해 병원의 한국어 정보 제공 방식과 진료 관련 안내 톤을 확인할 수 있습니다.
원문 검증
필요하면 원문 블로그와 병원 프로필로 바로 이동해 문맥을 다시 확인할 수 있습니다.
출처 아카이브 열기앞니에 대한 장인정신.
2D치과 Since 2016.
안녕하세요 앞니 전문
라미네이트 2D치과입니다.

치아 고민하면 제일 먼저 치아 모양과
색상이 고민이신 분들이
가장 많을 것 같습니다.
웃었을 때 하얗고 반듯한 치아 모양이
호감형 인상을 주기 때문에,
얼굴만큼이나 치아색상과 모양도
많은 관심을 가지고 있습니다.
생활습관과 식습관에 따라 치아색상의
변색이 올 수 있습니다.
치아색상의 치아변색을 주는 원인으로
담배, 커피, 카레, 탄산음료 등
다양한 음식물 섭취로도 치아의
색상의 변합니다.

치아미백 시술으로 밝고 하얀 치아로
개선이 가능 치아도 있고,
치아미백 시술로도 효과가 없는 치아가
있습니다.
많은 분들이 치아미백 시술의 단점과
부작용으로 치아변색 없는
무삭제라미네이트 블랙필름을
고려하시는 분들이 많은 것 같습니다.

블랙필름은 세라믹이라는 소재로
만들어지며 라미네이트 색상 변화가
없기 때문에 치아변색 고민이 있으신
고객님들에게 추천드립니다.
견고한 재료를 사용하여
반영구적으로 사용이 가능합니다.
0.1mm 아주 얇은 두께를 자랑하며
치아와 유사한 소재를 사용합니다.
질감이나 광택을 치아와 똑같이 유사하게
제작하기 때문에 인위적인 느낌보다
치아에 부착하였을 때,
자연스럽게 투명하게 빛나기 때문에
심미적인 이유로 라미네이트 시술을
고려하신 분들의 만족도가 높습니다.

치아미백

치아미백 시술은 변색된 치아를 밝은
색상의 치아로 바꿔주는 시술입니다.
미백제 성분인 과산화수소가 분해되면서
산소가 착색된 물질의 표백시키는 원리로
치아미백 시술을 진행하고 있습니다.
치아미백 효과와 단점
치아미백 시술은 치과와 병원마다 원료를
얼마나 어떻게 사용하는지에 따라
효과는 천차만별로 다릅니다.
보통 10회 이상 시술을 권장 드리며
단기간에 치아가 밝아지지 않기 때문에
정기적으로 치과에 내원하여
치아미백 시술을 진행해야 합니다.

하지만 치아미백의 단점으로는 미백효과를
보기까지 오랜 시간이 걸리고,
잇몸 손상과 이 시림의 단점이 있습니다.
또한 오랜 기간 정기적인 치아미백 시술을
진행해야 효과를 볼 수 있습니다.
무삭제라미네이트는 치아삭제를
하지 않기 때문에 이 시림과 잇몸에
자극 없이 균일하고 밝은 색상의
치아와 가지런한 모양까지 치아 고민을
해결할 수 있습니다.

많은 병원에서 치아삭제를 하지 않는
무삭제라미네이트 광고를 진행하고 있지만,
경우에 따라 치아삭제를 진행하는 경우도
있지만 2D치과에서는 독자적인 기술력으로
치아를 다듬거나 삭제하지 않고도
자연치를 변형하지 않고 그대로 살려서
라미네이트 시술이 가능하답니다.
많은 고객님들의 만족도가 가장 높은
치아성형시술로 치아삭제를 하지 않는다는
점과 일회성 시술이 끝이 아니라,
1년에 2번씩 6개월마다 치아 정기검진으로
블랙필름 시술과 치아에 문제가 없는지
꼼꼼한 체크와 더불어,
전담 팀제를 도입하여 매번 같은
2D치과 직원이 상담부터 진료를
진행하기 때문에 고객님들의
만족도가 높은 편입니다.
치아변색으로 치아 색상이 고민이신
고객님에게 무삭제라미네이트 블랙필름
시술을 추천드립니다.
카카오톡 플러스친구나 네이버 예약으로
예약문의 부탁드립니다.

