아카이브 요약
이 페이지의 역할
2D치과의원의 네이버 블로그 원문을 보존한 아카이브 페이지입니다. 투디_정보 카테고리의 치아변색 개선은 무삭제라미네이트 블랙필름 글을 통해 병원의 한국어 정보 제공 방식과 진료 관련 안내 톤을 확인할 수 있습니다.
원문 검증
필요하면 원문 블로그와 병원 프로필로 바로 이동해 문맥을 다시 확인할 수 있습니다.
출처 아카이브 열기아카이브된 블로그 글
치과의원 · ✅ 앞니에 대한 장인정신. Since 2016. 2D치과 ✅
앞니에 대한 장인정신. 2D치과 Since 2016. 안녕하세요 앞니 전문 라미네이트 2D치과입니다. 얼굴뿐만 아니라 치아도 얼굴에서 많이 노출되는 부위이기 때문에 치아색상과 치아 모양이 조화롭지 않아서 무삭제라미네이트 시술을 고려하시는 분들이 많은것 같습니다. 앞니 중심으로 치아가 많이 드러나는 점이 콤플...
게시일
2023년 9월 11일
원문 기준으로 확인된 발행일입니다.
카테고리
투디_정보
원문 블로그 카테고리를 정리해 함께 표시합니다.
이미지 수
11
현재 아카이브에 연결된 이미지 수입니다.
아카이브 요약
2D치과의원의 네이버 블로그 원문을 보존한 아카이브 페이지입니다. 투디_정보 카테고리의 치아변색 개선은 무삭제라미네이트 블랙필름 글을 통해 병원의 한국어 정보 제공 방식과 진료 관련 안내 톤을 확인할 수 있습니다.
원문 검증
필요하면 원문 블로그와 병원 프로필로 바로 이동해 문맥을 다시 확인할 수 있습니다.
출처 아카이브 열기앞니에 대한 장인정신.
2D치과 Since 2016.
안녕하세요 앞니 전문
라미네이트 2D치과입니다.

얼굴뿐만 아니라 치아도 얼굴에서
많이 노출되는 부위이기 때문에
치아색상과 치아 모양이 조화롭지 않아서
무삭제라미네이트 시술을 고려하시는
분들이 많은것 같습니다.
앞니 중심으로 치아가 많이 드러나는 점이
콤플렉스인 고객님들이 많이 찾아주고
계신 2D치과에서는 보철치료, 치아교정 등
다양한 치료도 함께 진행하고 있습니다.

라미네이트 시술은 치아의 모양과 색상을
바꿀 수 있기 때문에 치아교정이나
치아미백 시술로 개선이 어려운 치아 모양의
변화를 줄 수 있는 시술이기 때문에
많은 고객님들이 치아라미네이트 시술을
많이 알아보시는 것 같습니다.
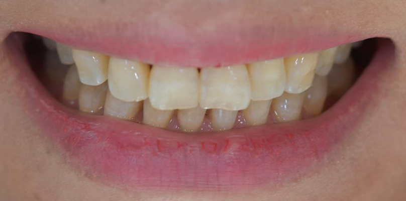
특히 가장 많이 문의주시는 치아변색 이유로
치아색상 고민으로 내원하시는 고객님들이
많은것 같습니다.
라미네이트는 치아 표면을 삭제가
들어가기 때문에 치아삭제 없는
무삭제라미네이트 블랙필름 시술을
많이 찾아주시고 계십니다.

앞니는 충치도 잘 생기는 부위이기 때문에
앞니 충치치료로 레진을 사용하여
시간이 지나 치아변색이 되어
앞니라미네이트 시술을 생각하고
방문해 주시는 분들이 많습니다.
후천적으로 다양한 요인에 의해
치아색상이 변색된 치아는 미백 시술로도
개선이 어렵기 때문에,
균일하면서도 투명하면서 자연스러운
치아색상이 고민이신 분들이
라미네이트을 진행하는것 같습니다.

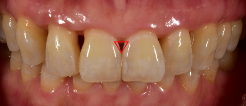
앞니 충치뿐만 아니라,
치아 사이 틈이 벌어지면 까맣게 보이는
블랙 트라이앵글이라고 불리는 치아 빈틈을
심미치료로 라미네이트
시술을 진행하기도 합니다.
블랙트라이앵글의 크기가 커지면
커질수록 치아 사이에 이물질이 끼여
충치로 발전할 가능성 또한 높기 때문에
심미치료로 무삭제라미네이트 블랙필름
시술을 많이 진행하고 있습니다.
2D치과에서는 과잉진료가 아닌
고객님들의 치 아고민에 따라
근본적인 치아 치료를 진행하기 위해
노력하고 있습니다.

치아교정이나 보철치료만큼이나
가장 손이 많이 가고, 의료진 실력이
중요시하는 무삭제라미네이트
2D치과에서는 치아삭제 없는
블랙필름을 진행하고 있습니다.
김현모 대표원장님께서 연구개발하신
무삭제라미네이트는 아주 얇은 0.1mm
두께로 치아와 유사한 색상과 모양으로
고객님들의 치아 모양에 맞춰
치아변색 고민을 해결해드리고 있습니다.
앞니 장인분들이 수제작으로 블랙필름을
제작하고 있습니다.

고객님들마다 얼굴 이미지에 맞는 치아가
있기 때문에 얼굴과 치아 디자인을 함께
고려하여 고객님들에게 어울릴만한
치아디자인도 함께 추천해 드리고,
고객님들이 원하시는 치아 모양에 대해서도
취향과 의견을 적극 반영하여
치아를 제작하고 있습니다.
앞니 장인이 직접 1:1 맞춤 수제작하는
블랙필름은 투명하게 자연치처럼
자연스러운 투명한 광택감이 돌기 때문에
인위적인 디자인보다 자연스럽게
디자인을 추구하고 있습니다.

2D치과 블랙필름 시술사
앞니 심미치료로 라미네이트 시술을
많이 진행하고 있는데요.
라미네이트 시술에 있어서 가장 중요한 점은
치아 삭제량과 심미적인 개선입니다.
2D치과에서는 앞니 심미치료를 전문적으로
하는 병원으로 고객님들의 치아 고민을
해결해드리기 위해 항상 생각하고
노력하고 있습니다.

치아삭제 없이 치아를 보존하여 오랫동안
사용이 가능한 블랙필름은
치아변색 문제 해결과
치아삭제와 같은 부작용이 없는 시술이기
때문에 많은 고객님들이
무삭제라미네이트로 블랙필름시술을
많이 고려하십니다.

치과위생사가 직접 상담해 주는 2D치과는
상담과 진료까지 함께 진행하고 있으며,
전담제로 운영하여 고객님의
상담부터 진료를 처음부터 끝까지
실장님께서 전담하여 관리를
도와드리고 있습니다.
더욱 궁금하신 사항은
카카오톡 플러스친구와 네이버 예약을 통해
직접 대면 상담을 통해 의료진이
직접 치아를 보고 x-ray 촬영을 통해
상담 진행 도와드리겠습니다.

