아카이브 요약
이 페이지의 역할
2D치과의원의 네이버 블로그 원문을 보존한 아카이브 페이지입니다. 투디_정보 카테고리의 앞니치아마모증 무삭제라미네이트 블랙필름으로 치아고민해결 글을 통해 병원의 한국어 정보 제공 방식과 진료 관련 안내 톤을 확인할 수 있습니다.
원문 검증
필요하면 원문 블로그와 병원 프로필로 바로 이동해 문맥을 다시 확인할 수 있습니다.
출처 아카이브 열기아카이브된 블로그 글
치과의원 · ✅ 앞니에 대한 장인정신. Since 2016. 2D치과 ✅
앞니에 대한 장인정신. 2D치과 Since 2016. 안녕하세요 앞니 전문 라미네이트 2D치과입니다. 앞니 치아마모증으로 심미적인 이유에서 색상이나, 치아의 투명성 고민으로 무삭제라미네이트잘하는곳 투디치과에 찾아주시는 고객님들에게 블랙필름을 추천드리고 있습니다. 다양한 앞니 고민으로 많은 분들이 심미적인 이...
게시일
2023년 9월 14일
원문 기준으로 확인된 발행일입니다.
카테고리
투디_정보
원문 블로그 카테고리를 정리해 함께 표시합니다.
이미지 수
14
현재 아카이브에 연결된 이미지 수입니다.
아카이브 요약
2D치과의원의 네이버 블로그 원문을 보존한 아카이브 페이지입니다. 투디_정보 카테고리의 앞니치아마모증 무삭제라미네이트 블랙필름으로 치아고민해결 글을 통해 병원의 한국어 정보 제공 방식과 진료 관련 안내 톤을 확인할 수 있습니다.
원문 검증
필요하면 원문 블로그와 병원 프로필로 바로 이동해 문맥을 다시 확인할 수 있습니다.
출처 아카이브 열기앞니에 대한 장인정신.
2D치과 Since 2016.
안녕하세요 앞니 전문
라미네이트 2D치과입니다.

앞니 치아마모증으로 심미적인 이유에서
색상이나, 치아의 투명성 고민으로
무삭제라미네이트잘하는곳 투디치과에
찾아주시는 고객님들에게 블랙필름을
추천드리고 있습니다.
다양한 앞니 고민으로 많은 분들이
심미적인 이유로 라미네이트 시술을
찾아보시는 것 같습니다.

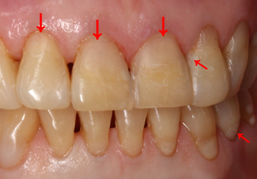
치이마모증이란?
잇몸 경계 부위의 치아 표면이 닳는 것으로
잇몸의 경계 부위가 파이거나 치아가
닳는 것을 치아마모증이라고 합니다.
앞니 치아마모증은 다른 치아보다
유독 눈에 많이 띄기 때문에
웃거나 말할 때 치아 고민으로
무삭제라미네이트 블랙필름 상담을
진행하는 경우가 많습니다.

케이스에 따라 다르겠지만,
앞니 같은 심미적인 이유에서 치아 모양이
변형되는 경우는 크라운보다는
치아삭제가 작은 무삭제라미네이트로
진행하는 경우도 있습니다.
치아는 한번 삭제 시,
다시 복원이 안되기 때문에 신중하게
치아 시술을 고려하여 따져보고
결정해야 합니다.

앞니 치아마모증때문에
치아색상과 치아 모양이 마음에 안 들어서
앞니 치아의 개선을 원하시는 분들에게
추천드리고 싶은 블랙필름은
앞니 장인들이 기공소에서 수작업을 통해
고객님들의 취향과 니즈를 반영하여
치아 디자인을 제작하고 있습니다.

실장님과 원장님이 고객님의 입장에서
치아 고민을 해결해 드리기 위해
합리적인 시술을 권해드리고 있습니다.
과잉진료로 과도한 많은 치아삭제를
할까 봐 염려되시는 분들에게
추천드리고 싶은 2D치과에서는 청렴하게
고객님 케이스 따라
고객님들에게 맞는
라미네이트, 레진, 크라운 등
맞춤 시술을 권해드리고 있습니다.

이상적인 스마일라인을 가장 중요하게
생각하는 2D치과에서는 고객님들이
웃으셨을 때 치아 모양이 가지런하고
예쁘게 보이도록 가장 우선적으로
스마일라인을 고려하여 블랙필름
디자인을 제작하고 있습니다.
인위적인 디자인보다 자연스러운
치아 모양과 색상으로 디자인 제작하도록
항상 노력하고 있습니다.

치아는 웃거나 말을 할 때
가장 많이 드러나기 때문에 미소가 예쁘게
더 돋보일 수 있도록 치아 디자인을
고객님들마다 비스포크 방식으로
라미네이트 디자인을 제작하고 있습니다.
원내 기공소에서 앞니 장인과 미팅을 통해
고객님들의 치아에 라미네이트 부착 전
피팅으로 미소와 치아가 드러났을 때
아름다울 수 있도록 디자인 제작을
하도록 노력하고 있습니다.


라미네이트하면 치아 삭제량부터 걱정하시는
고객님들이 많으실 텐데요.
2D치과에서는 내 본연의 자연치를 살려
라미네이트를 부착할 수 있는데
아주 얇은 0.1mm 필름을 치아 표면에
삭제 없이 부착하기 때문에
치아삭제량을 걱정하실 필요가 없습니다.
라미네이트 두께는 0.1mm 정말 얇은
두께 측정기를 통해 측정이 가능하며
치아의 두께가 차이 날수록 고른
스마일라인을 위해 치아마다 두께는
달라질 수 있지만 최소한의 아주 얇은
두께로 제작 진행하고 있습니다.
치아마모증에 대해 더욱 궁금하신 사항이
있으시다면 2D치과에 내원하셔서
김현모 대표원장님과 상담을 통해
진단받으시는 걸 추천드립니다.




