아카이브 요약
이 페이지의 역할
2D치과의원의 네이버 블로그 원문을 보존한 아카이브 페이지입니다. 투디_정보 카테고리의 무삭제라미네이트 블랙필름의 장점과 사후관리 글을 통해 병원의 한국어 정보 제공 방식과 진료 관련 안내 톤을 확인할 수 있습니다.
원문 검증
필요하면 원문 블로그와 병원 프로필로 바로 이동해 문맥을 다시 확인할 수 있습니다.
출처 아카이브 열기아카이브된 블로그 글
치과의원 · ✅ 앞니에 대한 장인정신. Since 2016. 2D치과 ✅
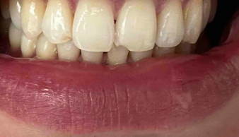
앞니에 대한 장인정신. 2D치과 Since 2016. 안녕하세요 앞니 전문 라미네이트 2D치과입니다. 무삭제라미네이트후기가 많은 2D치과에서는 치아를 삭제하지 않는 라미네이트로 인기를 끌고 있습니다. 치아성형 라미네이트에 대한 부정적인 인식을 깨기 위해 2D치과에서는 치아삭제없는 무삭제라미네이트를 진행하...
게시일
2023년 9월 21일
원문 기준으로 확인된 발행일입니다.
카테고리
투디_정보
원문 블로그 카테고리를 정리해 함께 표시합니다.
이미지 수
18
현재 아카이브에 연결된 이미지 수입니다.
아카이브 요약
2D치과의원의 네이버 블로그 원문을 보존한 아카이브 페이지입니다. 투디_정보 카테고리의 무삭제라미네이트 블랙필름의 장점과 사후관리 글을 통해 병원의 한국어 정보 제공 방식과 진료 관련 안내 톤을 확인할 수 있습니다.
원문 검증
필요하면 원문 블로그와 병원 프로필로 바로 이동해 문맥을 다시 확인할 수 있습니다.
출처 아카이브 열기앞니에 대한 장인정신.
2D치과 Since 2016.
안녕하세요 앞니 전문
라미네이트 2D치과입니다.

무삭제라미네이트후기가 많은
2D치과에서는 치아를 삭제하지
않는 라미네이트로 인기를 끌고 있습니다.
치아성형 라미네이트에 대한
부정적인 인식을 깨기 위해
2D치과에서는 치아삭제없는
무삭제라미네이트를 진행하고 있습니다.
라미네이트 시술의 치아 삭제량에 대해
고민이 많으셔서 라미네이트를
망설이시는 고객님들이 많은 것 같습니다.



2D치과 영수증 리뷰로 무삭제라미네이트
블랙필름 만족스러운 후기를 남겨주신
고객님들께 감사드립니다 :)
2D치과 블랙필름은 장점
1.치아삭제 없는 라미네이트
3.전담제로 10년보증기간동안
치아검진 서비스
4.대표원장님이 A to Z 시술

만족도 높은 무삭제라미네이트후기가
많은 2D치과는 고객님들의 니즈와 취향을
적극 반영하여 이상적인 블랙필름
디자인이 나올 때까지 원내 기공소에서
무제한 수정을 걸쳐 고객님의 치아에
피팅 후 만족스러운지 꼼꼼하게 체크하여
시술을 진행하고 있습니다.



고객님들마다 얼굴 비율과
웃었을 때 드러나는 스마일라인을
고려하여 라미네이트 디자인을 염두하여
제작하기 때문에, 인위적인 디자인보다
자연스럽고 웃었을 때 치아가
정돈되어 보일 수 있는 디자인으로
제작하고 있습니다.


치아성형은 미용목적뿐만 아니라,
치아 모양이 예쁘지 않아서, 치아색상이
밝지 않아서, 사고로 인해 치아가 깨지는 등
다양한 이유로 2D치과의 무삭제라미네이트
블랙필름 시술을 받으러 전국에서
많은 고객님들이 찾아주고 계십니다.

치아를 삭제하는 라미네이트가 아닌
자연치아를 보존하여 치아 위
이상적인 치아 모양과 색상으로
개선시켜 더욱 예쁜 치아로
변화가 가능합니다.

무삭제라미네이트 블랙필름
0.1mm 아주 얇은 두께로
치아가 돌출되어 보이거나, 치아가
커지는 단점을 보완하여 아주 얇은
필름으로 제작되고 있습니다.
치아 사이 검은 여백 블랙 트라이앵글 또한
개선이 가능하기 때문에, 치아에 대한
콤플렉스를 개선시켜 드립니다.

2D치과 블랙필름 사후관리
2D치과에서는 일회성 시술이 아니라
무삭제라미네이트 블랙필름 시술 후
일주일, 한 달, 이후에는 6개월마다
정기적인 검진을 실시하여
고객님들의 불편한 사항은 없으신지,
충치가 생기지 않는지 꼼꼼히 정기검진을
진행하고 있습니다.
2D치과에서는 무삭제라미네이트 블랙필름
시술을 통해 고객님들의 치아 콤플렉스를
개선해 만족스러운 시술이 될 수 있도록
항상 노력하고 있습니다.




