아카이브 요약
이 페이지의 역할
2D치과의원의 네이버 블로그 원문을 보존한 아카이브 페이지입니다. 투디_정보 카테고리의 옥니 라미네이트 치아고민은 그만 치아삭제 없는 블랙필름으로 해결 글을 통해 병원의 한국어 정보 제공 방식과 진료 관련 안내 톤을 확인할 수 있습니다.
원문 검증
필요하면 원문 블로그와 병원 프로필로 바로 이동해 문맥을 다시 확인할 수 있습니다.
출처 아카이브 열기아카이브된 블로그 글
치과의원 · ✅ 앞니에 대한 장인정신. Since 2016. 2D치과 ✅
앞니에 대한 장인정신. 2D치과 Since 2016. 안녕하세요 앞니 전문 라미네이트 2D치과입니다. 치아 교정 후 부작용으로 옥니가 고민이셔서 무삭제라미네이트를 알아보시는 고객님들이 늘어나고 있습니다. 치아교정의 경우 치열을 올바르게 교정해주는 효과가 있지만, 치아교정을 잘못 시술할 경우 치아가 안쪽으로...
게시일
2023년 10월 12일
원문 기준으로 확인된 발행일입니다.
카테고리
투디_정보
원문 블로그 카테고리를 정리해 함께 표시합니다.
이미지 수
13
현재 아카이브에 연결된 이미지 수입니다.
아카이브 요약
2D치과의원의 네이버 블로그 원문을 보존한 아카이브 페이지입니다. 투디_정보 카테고리의 옥니 라미네이트 치아고민은 그만 치아삭제 없는 블랙필름으로 해결 글을 통해 병원의 한국어 정보 제공 방식과 진료 관련 안내 톤을 확인할 수 있습니다.
원문 검증
필요하면 원문 블로그와 병원 프로필로 바로 이동해 문맥을 다시 확인할 수 있습니다.
출처 아카이브 열기앞니에 대한 장인정신.
2D치과 Since 2016.
안녕하세요 앞니 전문
라미네이트 2D치과입니다.

치아 교정 후 부작용으로
옥니가 고민이셔서 무삭제라미네이트를
알아보시는 고객님들이
늘어나고 있습니다.
치아교정의 경우 치열을 올바르게
교정해주는 효과가 있지만, 치아교정을
잘못 시술할 경우 치아가 안쪽으로
기울어져 치아교정을 하기 전보다
더 미관상 바르지 않는 경우가 생깁니다.

옥니란?
치아가 안쪽으로 치우쳐져 있는 치아를 옥니라고 합니다.
치아교정 후치아가 과하게 안쪽으로
쏠려서 미관상 이유로 옥니개선을
위헤 라미네이트 시술을
진행하고 있습니다.
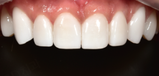
위 사진으로 보면 스마일라인에서
중절치의 치축이 틀어졌는데,
수직적으로 배열되어 있어야 하는
치아가 눈에 띄게 틀어진걸 볼 수 있습니다.

옆모습을 보면 더욱 자세하게
각도가 많이 틀어진걸 볼 수 있습니다.
교정을 하지 않더라고
선천적으로 또는 후천적인 습관으로
인해 옥니이신 분들도 많습니다.

위 사진처럼 크게 치아가 많이
틀어진 경우는 2D교정인 앞니중심
교정을 통해 치열을 틀어짐을
개선시킨 뒤 2D교정 후에도
치아모양이나 색상이 고민이신 분들을
라미네이트 블랙필름 시술을
권해드리고 있습니다.
2D치과에서는 과도한 시술을
권유하지 않고 고객님들의 치아모양에
맞는 해결방안을 제시해드리고 있습니다.

라미네이트 시술은 치아표면을
깎거나 다듬어 치아삭제가 이루어지지만
무삭제라미네이트 블랙필름은
치아삭제 없이 치아모양을 그대로
본떠서 제작하기 때문에,
옥니개선으로 블랙필름을 많이
진행하고 있습니다.
옥니 라미네이트 시술은 치아 각도에
따라 라미네이트 시술이 가능한지
유무가 달라지기 떄문에,
더욱 자세한 진단을 위해
2D치과에 내원하셔서 원장님과
상담을 통해 진행하시는걸 추천드립니다.
인위적인 색깔과 모양보다는 자연스럽게
고객님들의 치아고민을
해결할 수 있도록 디자인을 제작해
드리고 있습니다.

옥니 라미네이트 고민이신 분들은
블랙필름 상담을 통해 도와드리겠습니다.
비교적 작은 사이즈의 치아가
100% 무삭제로 라미네이트 진행하기에
이상적이며 기대효과가
좋은 케이스입니다.
치아크기가 작으면 작을수록 더욱
이상적인 치아모양을 만들 수 있지만,
치아가 너무 크게 돌출되어 있지만
않는 다면 무삭제라미네이트 블랙필름을
진행할 수 있습니다.

옥니 라미네이트를 고민하시는
고객님들에게 이상적인 치아모양을 위해
앞니 장인 기공사가 2주간의 공정기간을
통해 만족스러운 치아디자인으로
제작할 수 있도록 항상 노력하고 있는
2D치과의 블랙필름 시술입니다.

앞니 기공사분들과 고객님이
미팅을 통해 이상적인 치아디자인을
제작해드리고 있으며,
원하시는 치아디자인에 맞춰
블랙필름을 제작하기 때문에
만족도 높은 디자인이 나올때까지
무제한 수정을 진행해서 만족도가 높은
2D치과만의 독자적인 기술력으로
김현모 대표원장님께서 직접
연구개발에 참여한 블랙필름입니다.
옥니 라미네이트 상담문의는
카카오톡 플러스친구나 네이버 예약을
통한 방문으로 도와드리겠습니다




