아카이브 요약
이 페이지의 역할
2D치과의원의 네이버 블로그 원문을 보존한 아카이브 페이지입니다. 투디_정보 카테고리의 부분 라미네이트 치아 심미치료는 무삭제로 진행가능한 블랙필름 글을 통해 병원의 한국어 정보 제공 방식과 진료 관련 안내 톤을 확인할 수 있습니다.
원문 검증
필요하면 원문 블로그와 병원 프로필로 바로 이동해 문맥을 다시 확인할 수 있습니다.
출처 아카이브 열기아카이브된 블로그 글
치과의원 · ✅ 앞니에 대한 장인정신. Since 2016. 2D치과 ✅
앞니에 대한 장인정신. 2D치과 Since 2016. 안녕하세요 무삭제 라미네이트 블랙필름과 앞니 부분 교정진료를 토대로 앞니 치료를 중심적으로 진료하고 있는 2D치과입니다. 부분 라미네이트로 치아 전체가 아닌 부분적으로 왜소치나, 토끼치아, 치아파절 등 한두개만 고민인 치아를 치료를 원해서 내원해주는 고객...
게시일
2023년 11월 18일
원문 기준으로 확인된 발행일입니다.
카테고리
투디_정보
원문 블로그 카테고리를 정리해 함께 표시합니다.
이미지 수
14
현재 아카이브에 연결된 이미지 수입니다.
아카이브 요약
2D치과의원의 네이버 블로그 원문을 보존한 아카이브 페이지입니다. 투디_정보 카테고리의 부분 라미네이트 치아 심미치료는 무삭제로 진행가능한 블랙필름 글을 통해 병원의 한국어 정보 제공 방식과 진료 관련 안내 톤을 확인할 수 있습니다.
원문 검증
필요하면 원문 블로그와 병원 프로필로 바로 이동해 문맥을 다시 확인할 수 있습니다.
출처 아카이브 열기앞니에 대한 장인정신.
2D치과 Since 2016.
안녕하세요
무삭제 라미네이트 블랙필름과
앞니 부분 교정진료를 토대로
앞니 치료를 중심적으로
진료하고 있는 2D치과입니다.

부분 라미네이트로 치아 전체가 아닌
부분적으로 왜소치나, 토끼치아, 치아파절 등
한두개만 고민인 치아를 치료를 원해서
내원해주는 고객님들이 많습니다.
미용목적 치료가 아닌, 치료 목적으로
치료가 필요한 치아만 부분 라미네이트를
진행하는 경우가 많습니다.

라미네이트 시술은 이제 미용목적만이 아닌
치료목적으로도 많은 고객님들의
치아문제를 무삭제라미네이트 블랙필름으로
해결해드리고 있는 2D치과입니다.
상담부터 진료까지 진행해주시는
치과위생사가 있는 병원입니다.


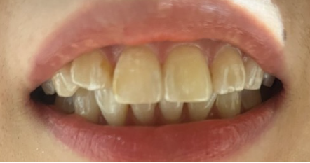
부분 라미네이트를 직접 앞니 2개 시술 후
남겨주신 후기입니다.
앞니 깨진 치아를 치아색과 유사한 색상과
디자인으로 만족스러운 리뷰 남겨주셨습니다.
2D치과에서는 고객님들에게 필요한 부분만
치료를 추천드리고 있습니다.

고객님들이 치아고민을 해결해드리기 위해
고객님들의 니즈에 맞춰 상담과 진료를
진행하고 있습니다.
고객님들이 개선하고 싶은 치아만
과잉진료 없이 고객님들에게 맞춤 시술로
대표원장님과 진료 후 상담으로
진행하고 있습니다.


앞니 토끼치아가 고민이신 고객님도
무삭제라미네이트로 치아전체적으로
균형있으면서 가지런하게 100% 무삭제로
라미네이트 블랙필름 시술로
앞으로 더욱 활짝 웃으실 수 있게 되었습니다.

많은 고객님들이 부분라미네이트로
무삭제라미네이트 치아삭제 일절 없는
블랙필름을 선택해주시는 이유
치아삭제없음
무상 AS 10년
3.전담제로 상담부터 진료까지
전문적인 지식을 가진 치과위생사가 상담
무삭제라미네이트 시술로
2D치과를 선택해주시는 이유는
무삭제라미네이트 블랙필름 시술로
부분 라미네이트도 자연치와 유사하게
자연스러운 진료로 고객님들이
가장 만족스러워하십니다.

앞니 장인이 치아모양과 색상은 물론
자연치처럼 똑같이 치아의 자연스러운
광택감까지 재연하여 2주간의 공정기간동안
수제작으로 제작하기 때문에 더욱 만족도가
높으신 부분라미네이트 블랙필름 시술입니다.
고객님들이 만족하실 때까지
블랙필름 무제한 수정으로 원하는 디자인으로
수정이 가능합니다.
부분 라미네이트로 파절되거나 치아변색 등
다양한 케이스들도 앞니 치료를 집중적으로
고객님들의 치아고민을 해결해드리기 위해
노력하고 있습니다.




