아카이브 요약
이 페이지의 역할
더스퀘어치과의원의 네이버 블로그 원문을 보존한 아카이브 페이지입니다. 더스퀘어치과 카테고리의 치아교정기종류, 눈에 안 보이는 장치가 더 좋을까요? 글을 통해 병원의 한국어 정보 제공 방식과 진료 관련 안내 톤을 확인할 수 있습니다.
원문 검증
필요하면 원문 블로그와 병원 프로필로 바로 이동해 문맥을 다시 확인할 수 있습니다.
출처 아카이브 열기아카이브된 블로그 글
더스퀘어치과의원 · Naver Blog
안녕하세요. 치아의 균형을 먼저 생각하는 더스퀘어치과입니다. 교정을 고민하시는 분들이 가장 먼저 검색하시는 것 중 하나가 바로 치아교정기종류입니다. 요즘은 메탈 장치부터 세라믹 장치, 투명 장치, 설측 장치까지 여러 방식이 소개되어 있다 보니 어떤 방법이 더 괜찮은지 궁금해하시는 분들도...
게시일
2026년 3월 5일
원문 기준으로 확인된 발행일입니다.
카테고리
더스퀘어치과
원문 블로그 카테고리를 정리해 함께 표시합니다.
이미지 수
10
현재 아카이브에 연결된 이미지 수입니다.
아카이브 요약
더스퀘어치과의원의 네이버 블로그 원문을 보존한 아카이브 페이지입니다. 더스퀘어치과 카테고리의 치아교정기종류, 눈에 안 보이는 장치가 더 좋을까요? 글을 통해 병원의 한국어 정보 제공 방식과 진료 관련 안내 톤을 확인할 수 있습니다.
원문 검증
필요하면 원문 블로그와 병원 프로필로 바로 이동해 문맥을 다시 확인할 수 있습니다.
출처 아카이브 열기안녕하세요.
치아의 균형을 먼저 생각하는
더스퀘어치과입니다.

교정을 고민하시는 분들이
가장 먼저 검색하시는 것 중 하나가
바로 치아교정기종류입니다.
요즘은 메탈 장치부터 세라믹 장치,
투명 장치, 설측 장치까지
여러 방식이 소개되어 있다 보니
어떤 방법이 더 괜찮은지
궁금해하시는 분들도 많죠.
"투명 장치가 더 좋은 건가요?"
"눈에 잘 보이지 않은 방법도 가능한가요?"
하지만 장치는 단순히 보이느냐,
보이지 않느냐만으로
정해지는 것은 아닙니다.
치아 배열의 상태,
움직여야 하는 방향,
그리고 저작 관계에 따라
적용 가능한 방식이 달라져요.
그래서 오늘은 대표적인
치아교정기종류와 각각의 특징,
그리고 어떤 기준으로 생각해 보면 좋은지
차근차근 설명드려 보겠습니다.
치아교정기종류,
메탈부터 투명 장치까지 정리해 보겠습니다.
먼저 많이 알려진 장치들을
간단하게 살펴보겠습니다.

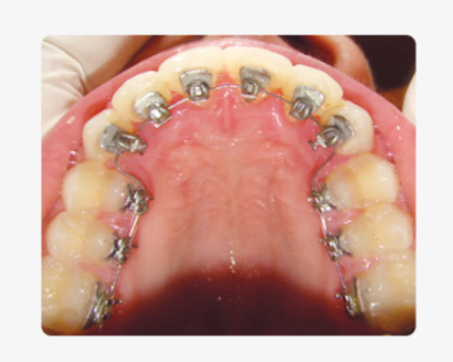
첫 번째는 메탈 교정입니다.
치아 표면에 금속 브라켓을 붙이고
철사를 이동해 배열을
조금씩 이동시키는 구조죠.
오랫동안 사용되어 온 방법이라
여러 치열 상황에서 활용되는 편입니다.
그래서 비교적 안정적으로 배열을 정리해
나갈 수 있는 방식으로 알려져 있어요.
다만 장치가 눈에 비교적 잘 보이기 때문에
외관이 조금 신경 쓰일 수 있습니다.

두 번째는 세라믹 교정입니다.
금속 대신 치아 색과 비슷한
세라믹 재질을 사용해
장치가 비교적 덜 눈에
띄도록 만든 형태입니다.
그래서 멀리서 보면 금속 장치보다
자연스럽게 보이는 편이죠.
외관이 부담스러운 분들이
한 번쯤 고려해 보시는 방식이기도 해요.

세 번째는 투명 교정입니다.
투명한 장치를 일정 기간마다 교체하면서
치아 위치를 조금씩 바꿔 가는 구조입니다.
장치를 탈착할 수 있어서
식사나 양치가 비교적 편하다는 장점이 있죠.
다만 모든 치열에 적용되는 것은 아니기 때문에
현재 배열 상태에 따라 가능 여부가 달라집니다.

네 번째는 설측교정입니다.
장치를 치아 안쪽 면에 부착하는 구조라
겉에서는 장치가 거의 보이지 않습니다.
그래서 외관을 중요하게 생각하시는 분들이
관심을 가지는 방식이죠.
다만 장치 조정이
비교적 섬세하게 이루어져야 하기 때문에
전체 이동 계획을
어떻게 세우는지가 중요합니다.
치아교정기종류보다
먼저 확인해야 할 것이 있습니다.

"투명 장치가 좋아 보이는데
그걸로 하면 되는 건가요?"
이 질문이 틀린 것은 아니에요.
다만 순서를 조금 다르게
생각해 볼 필요가 있습니다.
그래서 예를 하나 들어보겠습니다.
책장을 정리한다고 생각해 보세요.
먼저 책의 크기와 위치를 살펴봐야
어떤 칸에 넣을지 결정할 수 있겠죠.
그래야 책이 쓰러지지 않고
공간도 자연스럽게 정리됩니다.

교정도 이와 비슷해요.
먼저 확인해야 하는 것은
장치의 종류가 아니라 현재 치아 상태입니다.
치아가 서로 많이 겹쳐 있는지,
공간이 충분한지,
또 저작하는 힘이 어느 방향으로 작용하는지를
먼저 살펴보게 됩니다.
그래야 어떤 방식이
조금 더 자연스러운 방향인지
판단할 수 있기 때문이죠.
그래서 장치 이야기만 하는 것이 아니라
치열과 교합 구조를 함께 살펴보는 과정이
먼저 이루어지게 됩니다.
장치는 계획에 따라 달라집니다.

최근에는 눈에 덜 보이는 장치를
선호하시는 분들이 많아졌어요.
하지만 장치를 고를 때
편의성만 기준으로 생각하게 되면
생각보다 시간이 길어지거나
추가 조정이 필요한 경우도 생길 수 있습니다.
그래서 계획을 세울 때는
몇 가지 요소를 살펴보게 됩니다.
치아가 어느 방향으로 이동해야 하는지,
공간을 따로 확보할 필요가 있는지,
그리고 저작 관계가 안정적으로 맞는지를
확인해요.
이런 부분을 먼저 정리한 뒤에
그 흐름에 맞는 장치를 선택하는 것이
더 안정적인 진행 방식이 되죠.
그래서 장치는 시작하는 기준이라기보다
전체 이동 계획에 맞춰 선택되는 도구라고
이해하시면 됩니다.

이야기를 나누다 보면
장치 종류부터 고민하고 오시는 분도 많아요.
하지만 더 중요한 것은
지금 치아가 어떤 상태인지입니다.
그리고 어떤 방향으로 움직여야 하는지를
먼저 살펴보는 것이죠.

치아교정기종류는 생각보다 다양합니다.
하지만 모든 방법이 누구에게나
같은 방식으로 적용되는 것은 아니에요.
그래서 장치 이름부터 정하기보다는
지금 치아 상태가 어떤지 먼저 확인하는 것이
더 중요한 기준이 됩니다.
읽으시다가 궁금한 점이 있으시다면
댓글이나 네이버 톡톡으로
편하게 남겨주세요.
지금까지 더스퀘어치과였습니다.
감사합니다.
[많은 분들이 솔직한 기록을
한눈에 보실 수 있습니다]
[편하게 문의하실 수 있도록
네이버 톡톡 창을 열어두었습니다]
[광화문 중심 D타워 L층에
위치해 있습니다]
| 이 글은 올바른 정보를 얻으실 수 있도록의료법 (제56조 1항)을 준수하여 작성하였습니다.단순한 홍보보다는실제 진료실에서 일어나는 과정을투명하게 공유하고 싶었습니다.이 글을 보시고 바로 연락 주시기보다는정확한 정보를 얻어 가시는 것만으로도 충분합니다. |