아카이브 요약
이 페이지의 역할
더스퀘어치과의원의 네이버 블로그 원문을 보존한 아카이브 페이지입니다. 더스퀘어치과 카테고리의 임플란트저렴한곳? 저렴함 뒤에 숨겨진 차이를 보셔야 합니다. 글을 통해 병원의 한국어 정보 제공 방식과 진료 관련 안내 톤을 확인할 수 있습니다.
원문 검증
필요하면 원문 블로그와 병원 프로필로 바로 이동해 문맥을 다시 확인할 수 있습니다.
출처 아카이브 열기아카이브된 블로그 글
더스퀘어치과의원 · Naver Blog
안녕하세요. 구조를 먼저 확인하는 더스퀘어치과입니다. "임플란트저렴한곳만 찾으면 되는 거 아닌가요?" 아마 이런 생각, 한 번쯤은 해보셨을 거예요. 가격이 눈에 먼저 들어오는 건 너무 자연스러운 일이죠. 다만 여기서 한 가지, 조금만 더 생각해 보셨으면 하는 부분이...
게시일
2026년 3월 28일
원문 기준으로 확인된 발행일입니다.
카테고리
더스퀘어치과
원문 블로그 카테고리를 정리해 함께 표시합니다.
이미지 수
10
현재 아카이브에 연결된 이미지 수입니다.
아카이브 요약
더스퀘어치과의원의 네이버 블로그 원문을 보존한 아카이브 페이지입니다. 더스퀘어치과 카테고리의 임플란트저렴한곳? 저렴함 뒤에 숨겨진 차이를 보셔야 합니다. 글을 통해 병원의 한국어 정보 제공 방식과 진료 관련 안내 톤을 확인할 수 있습니다.
원문 검증
필요하면 원문 블로그와 병원 프로필로 바로 이동해 문맥을 다시 확인할 수 있습니다.
출처 아카이브 열기안녕하세요.
구조를 먼저 확인하는
더스퀘어치과입니다.

"임플란트저렴한곳만
찾으면 되는 거 아닌가요?"
아마 이런 생각,
한 번쯤은 해보셨을 거예요.
가격이 눈에 먼저 들어오는 건
너무 자연스러운 일이죠.
다만 여기서 한 가지,
조금만 더 생각해 보셨으면 하는
부분이 있습니다.
"이 가격은 어떤 과정이 포함된 결과일까요?"
오늘은 가격보다 과정 공개와
설명이 중요한 이유를
조금 더 현실적으로 정리해 드리겠습니다.
임플란트의 차이는
‘처음 설계’에서 시작됩니다.

임플란트를 단순히 나사를
심는 방식이라고 생각하시기 쉬워요.
하지만 실제로는 그렇지 않습니다.
뼈 상태→
위치 각도→
저작하는 힘→
보철 연결
이 모든 과정이 이어져야 하죠.
집을 짓는 과정과 비슷하다고
생각하시면 쉬워요.
겉에서 보기엔 비슷한 집처럼 보여도
기초공사가 다르면
시간이 지나면서 차이가 나죠.

임플란트도 마찬가지입니다.
처음에는 괜찮아 보여도
※ 한쪽으로만 저작하는 느낌
※ 잇몸이 자주 붓는 상태
※ 보철이 반복적으로 풀리는 문제
이런 식으로 조금씩 신호가
나타나기 시작합니다.
여기서 중요한 건,
이런 변화가 갑자기 생기는 문제가 아니라
처음 설계된 방향이
그대로 드러나는 과정이라는 점이에요.
그래서 초반에는
잘 모르고 지나가다가도,
시간이 지나면서
차이가 더 크게 느껴지게 됩니다.
단순 가격 비교로는
보이지 않는 부분이 있습니다.

많은 분들이
"장비가 좋아서 더 비싼 걸까요?"
이렇게 생각하시는데요.
그런데 들여다보면 조금 다른 부분에서
차이가 나는 경우가 많아요.
물론 비용이 더 드는 이유가
분명한 경우도 있습니다.
사용되는 재료나 장비,
혹은 제작 과정에서
들어가는 시간과 인력에 따라
차이가 생기기도 하죠.
하지만 그보다 더 중요한 건,
어디까지 확인하고 시작했는지
전체 흐름이 어떻게 설계되어 있는지
이 부분입니다.
그래서 단순히 "비싸니까 더 좋다"
혹은 "저렴하니까 괜찮다"보다는
왜 이런 차이가 생기는지,
설명이 되는지
이 기준으로 보시는 게 훨씬 중요해요.

1️⃣어디까지 확인하고 시작하는지
먼저 뼈 상태나 잇몸 상태,
그리고 저작할 때 힘이 전달되는 방향까지
어디까지 살펴보고 시작하는지가 중요합니다.
그리고 이걸 단순하게
확인하는 것에서 끝나는 게 아니라,
얼마나 이해하기 쉽게 풀어주는지도
함께 보셔야 해요.
설명 없이 바로 이어지는 경우
이를 보여주고 납득까지 돕는 경우
이 두 가지는 과정부터 다르죠.
그래서 결국 출발점이 다르면
결과도 달라질 수밖에 없습니다.

2️⃣빠르게 보다 맞게 진행되는지
또 한 가지는 속도입니다.
"조금 더 빨리 끝나는 게 낫지 않을까요?"
이렇게 생각하실 수 있어요.
그런데 실제로 속도보다
더 중요한 기준은 따로 있습니다.
지금 위치가 정말 맞는지
힘이 어떻게 전달될지까지 고려했는지
이 부분이 충분히 검토됐는지가 핵심이에요.
그래서 조금 더 시간을 들여 확인하는 과정이
나중에 느껴지는 차이를 만들어내기도 합니다.

3️⃣ 과정이 따로 나뉘지 않는 구조인지
그리고 하나 더 보셔야 할 부분이 있습니다.
임플란트는
단순히 심는 것으로 끝나는 게 아니라
그 위에 올라가는 구조와 맞물림까지
하나로 이어져야 합니다.
그런데
앞 과정 따로
이후 과정 따로
이렇게 나뉘어 진행되면
문제가 생겼을 때 바로 조정하기 어려워져요.
그래서 처음 부터
전체 흐름이 하나로 이어지는지
이 부분을 한 번쯤 확인해 보시는 게 좋습니다.
이렇게만 보셔도 가격보다
중요한 기준이 조금은 정리되실 거예요.
설명 없는 가격,
한 번은 의심해 보셔야 합니다.

여기서 한 가지만 먼저 짚어볼게요.
가격이 낮은 것 자체가 문제는 아니죠.
다만,
왜 이 가격인지 설명이 없는 상태
이 부분입니다.
예를 들어
과정이 줄어든 건지,
확인이 생략된 건지
이걸 모른 채 선택하게 되면요.
결국 시간이 지나면서 다시 손보는 상황으로
이어지는 경우도 적지 않습니다.
그래서 처음 부터 가격보다
이유가 설명되는지를 함께 보셔야 해요.

선택 전에,
이 4가지는 꼭 확인해 보세요.
복잡하게 생각하실 필요는 없어요.
그래서 딱 이 기준만 보셔도
충분히 방향은 잡히실 거예요.
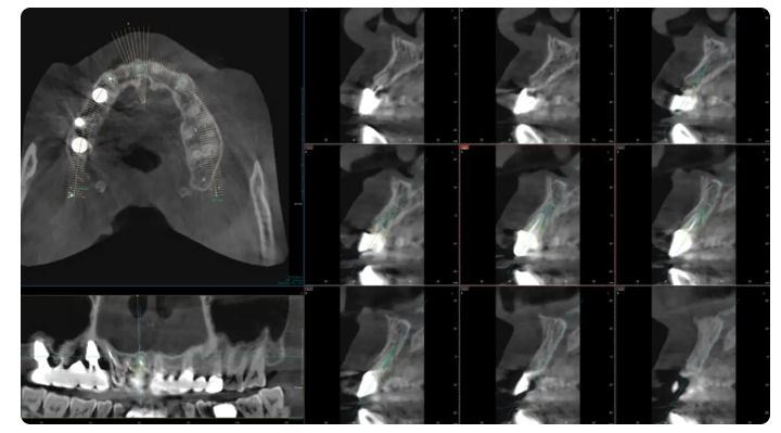
✔왜 이 위치에 진행되는지 설명해 주는지
→ CT나 사진으로
직접 확인시켜주는지 살펴보세요.
✔잇몸 상태를 먼저 확인하고 시작하는지
→ 바로 이어가기보다,
준비 과정을 거치는지 보는 게 좋습니다.
✔보철까지 함께 설계되는 구조인지
→ 수정이 필요한 상황에서도
바로 조정이 가능한지 체크해 보셔야 해요.
✔이후 관리 기준까지 안내하는지
→ 유지 방법까지 구체적으로
설명해 주는 곳이 더 신뢰가 가죠.
이 네 가지만 확인하셔도요.
선택 기준이 훨씬 명확해지실 거예요.

임플란트는 한 번으로 끝나는 과정이 아니에요.
시간이 지나면서 차이가
조금씩 드러나는 경우가 많습니다.
그래서 가격보다 중요한 건
'이 과정을 어떻게 설명해 주는지'입니다.
한 번에 결정하기보다는
2~3곳 정도 기준을 비교해 보셔도 괜찮아요.
그리고 왜 이런 방향으로 진행되는지
충분히 납득되는지
이 부분을 한 번 더 살펴보시면 좋겠습니다.
읽으시다가 궁금한 부분이 있으시다면
댓글이나 네이버 톡톡으로
편하게 질문 남겨주세요.
지금까지 긴 글 읽어주셔서 감사합니다.
더스퀘어치과였습니다.
[실제 방문 후기와 과정을
함께 확인해 보세요]
[간단한 질문도 부담 없이
남겨주셔도 됩니다]
[방문 전,
위치를 확인해 보시면 도움이 됩니다]
| 이 글은 올바른 정보를 얻으실 수 있도록의료법 (제56조 1항)을 준수하여 작성하였습니다.단순한 홍보보다는실제 진료실에서 일어나는 과정을투명하게 공유하고 싶었습니다.이 글을 보시고 바로 연락 주시기보다는정확한 정보를 얻어 가시는 것만으로도 충분합니다. |