아카이브된 블로그 글

[숭실대입구역] 리더스진치과 임플란트 케이스 2022.1.29

리더스진치과의원 · 10년경력, 전진모 대표원장-리더스진치과(강남/동작) · 2022년 2월 4일

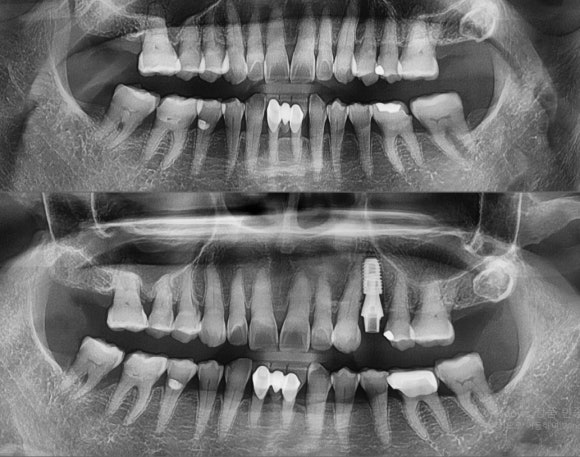
​ 오른쪽 위 치아의 뿌리 파절로 인한 발치 후 즉시 임플란트 식립 & 당일 provisional 즉시 로딩 보철까지. ​ 임플란트 식립 부위 뼈가 건전하다면, ​ 치료기간과 노력과 비용이 줄어듦. ​ 즉시로딩은 임플란트 뿌리와 임플란트간의 결합인 osseointegration이 느려질 수 있지만 ​ 모든 치료는 이익과...

[숭실대입구역] 리더스진치과 임플란트 케이스 2022.1.29 관련 이미지 1

오른쪽 위 치아의 뿌리 파절로 인한 발치 후 즉시 임플란트 식립 & 당일 provisional 즉시 로딩 보철까지.

임플란트 식립 부위 뼈가 건전하다면,

치료기간과 노력과 비용이 줄어듦.

즉시로딩은 임플란트 뿌리와 임플란트간의 결합인 osseointegration이 느려질 수 있지만

모든 치료는 이익과 리스크 사이에서 더 좋은 방향으로.

여기서의 이익 : 당일에 바로 보철을 올림으로써 심미적인 회복 가능, 즉시 기능 가능

리스크 : 임플란트 뿌리와 뼈와의 결합이 초기고정보다 낮아지고 치유가 느릴 수 있음.

임플란트 식립 시기와 보철의 결정은 임상과 학문적인 전문성 그리고 공부를 바탕으로 한 의료진이 결정 + 환자의 전신질환 상태에 따라 달라짐.