아카이브된 블로그 글

[숭실대입구역] 리더스진치과 임플란트 케이스 2022.2.4

리더스진치과의원 · 10년경력, 전진모 대표원장-리더스진치과(강남/동작) · 2022년 2월 4일

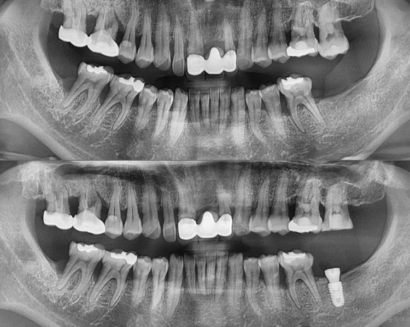
​ #27 정출 치아 신경치료 & #37 임플란트 식립. ​ 그림 상 오른쪽 아래 치아가 빠진지 오래되어서, 반대편 (#27)치아가 툭 튀어나옴. ​ 대합하는 치아가 없어지면 그 치아를 튀어 오르게 되어있음. ​ 튀어올라서 치아가 흔들리게되면 그 치아도 발치를 해야되는 ​ 아깝고도 안타까운 경우가 발생됨. ​ 다행히 #2...

[숭실대입구역] 리더스진치과 임플란트 케이스 2022.2.4 관련 이미지 1

#27 정출 치아 신경치료 & #37 임플란트 식립.

그림 상 오른쪽 아래 치아가 빠진지 오래되어서, 반대편 (#27)치아가 툭 튀어나옴.

대합하는 치아가 없어지면 그 치아를 튀어 오르게 되어있음.

튀어올라서 치아가 흔들리게되면 그 치아도 발치를 해야되는

아깝고도 안타까운 경우가 발생됨.

다행히 #27은 정출이 되었지만 흔들리지 않기 떄문에

위아래 공간 확보를 위해 신경치료 후 보철 치료를 진행해야함

(미리 임플란트를 해서 회복했다면 신경치료 + 보철 값을 아낄수 있었는데.. 그래서 야단침-..-)

#37 임플란트 식립 부위도 치아가 빠진지 오래되어서

뼈의 폭과 높이 양 질이 좋지 않았음.

CT를 찍고 모의수술 후 신경손상을 피하면서 안전하게 들어감.

초기고정도 만족스럽게 됨.

결론 : 치료할건 미루지 말고 미리미리 하는게 좋습니다.