아카이브 요약
이 페이지의 역할
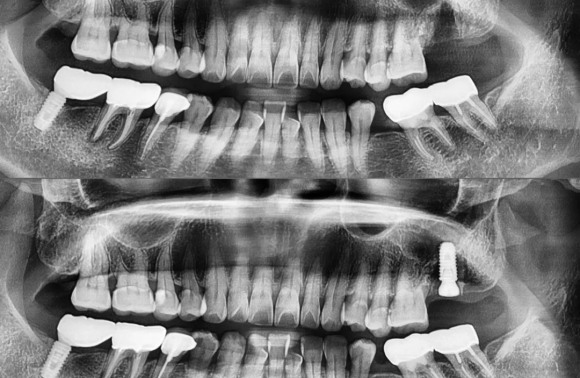
리더스진치과의원의 네이버 블로그 원문을 보존한 아카이브 페이지입니다. 임플란트치료사진 카테고리의 [숭실대입구역] [임플란트] 리더스진치과 2022.2.21 구치부 발치 후 즉시 임플란트/ 상악동+뼈이식 케이스 글을 통해 병원의 한국어 정보 제공 방식과 진료 관련 안내 톤을 확인할 수 있습니다.
원문 검증
필요하면 원문 블로그와 병원 프로필로 바로 이동해 문맥을 다시 확인할 수 있습니다.
출처 아카이브 열기아카이브된 블로그 글
리더스진치과의원 · Naver Blog
2022.2.21 구치부 발치 후 즉시 임플란트/ 상악동+뼈이식 케이스 #상도동에서임플란트가장많이하는치과
게시일
2022년 4월 25일
원문 기준으로 확인된 발행일입니다.
카테고리
임플란트치료사진
원문 블로그 카테고리를 정리해 함께 표시합니다.
이미지 수
1
현재 아카이브에 연결된 이미지 수입니다.
아카이브 요약
리더스진치과의원의 네이버 블로그 원문을 보존한 아카이브 페이지입니다. 임플란트치료사진 카테고리의 [숭실대입구역] [임플란트] 리더스진치과 2022.2.21 구치부 발치 후 즉시 임플란트/ 상악동+뼈이식 케이스 글을 통해 병원의 한국어 정보 제공 방식과 진료 관련 안내 톤을 확인할 수 있습니다.
원문 검증
필요하면 원문 블로그와 병원 프로필로 바로 이동해 문맥을 다시 확인할 수 있습니다.
출처 아카이브 열기![[숭실대입구역] [임플란트] 리더스진치과 2022.2.21 구치부 발치 후 즉시 임플란트/ 상악동+뼈이식 케이스 관련 이미지 1](https://pub-9f2bb3498faf4d1d8714b41df24753e3.r2.dev/content/clinics/archive/hxbl2241l2/naver_blog/leadersjindental/assets/by_hash/fdd501c56009007343177873f16d3782a5669d13a33d977a3f0ced5eca655673.png)
2022.2.21 구치부 발치 후 즉시 임플란트/ 상악동+뼈이식 케이스
#상도동에서임플란트가장많이하는치과