아카이브 요약
이 페이지의 역할
리더스진치과의원의 네이버 블로그 원문을 보존한 아카이브 페이지입니다. 신경치료 카테고리의 [숭실대입구역] [신경치료] 리더스진치과 2022.3.9 어금니 신경치료 글을 통해 병원의 한국어 정보 제공 방식과 진료 관련 안내 톤을 확인할 수 있습니다.
원문 검증
필요하면 원문 블로그와 병원 프로필로 바로 이동해 문맥을 다시 확인할 수 있습니다.
출처 아카이브 열기아카이브된 블로그 글
리더스진치과의원 · Naver Blog
2022.3.9 어금니 신경치료 마무리 리더스진치과는 보존보철 과장님과 함께 협진으로 많은 진료를 원칙적으로 하고 있습니다.
게시일
2022년 4월 25일
원문 기준으로 확인된 발행일입니다.
카테고리
신경치료
원문 블로그 카테고리를 정리해 함께 표시합니다.
이미지 수
1
현재 아카이브에 연결된 이미지 수입니다.
아카이브 요약
리더스진치과의원의 네이버 블로그 원문을 보존한 아카이브 페이지입니다. 신경치료 카테고리의 [숭실대입구역] [신경치료] 리더스진치과 2022.3.9 어금니 신경치료 글을 통해 병원의 한국어 정보 제공 방식과 진료 관련 안내 톤을 확인할 수 있습니다.
원문 검증
필요하면 원문 블로그와 병원 프로필로 바로 이동해 문맥을 다시 확인할 수 있습니다.
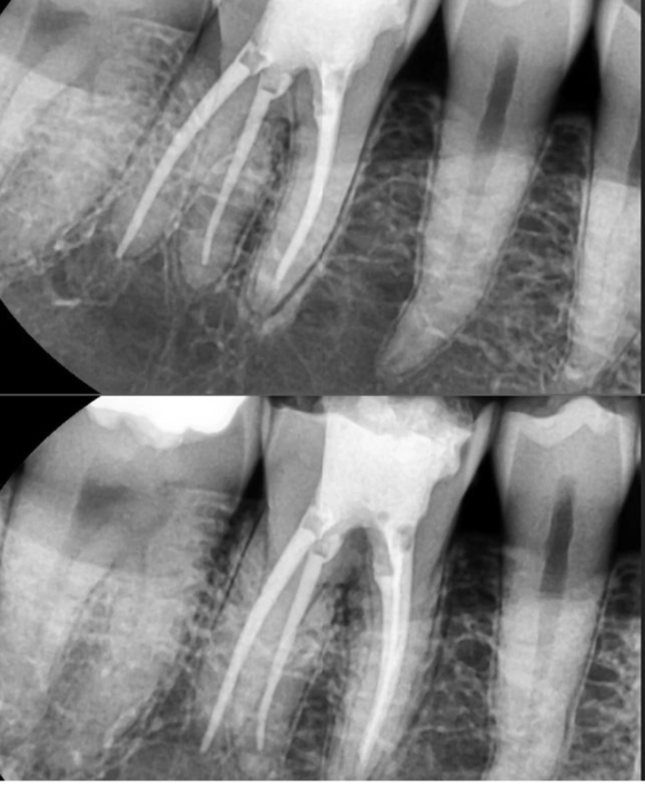
출처 아카이브 열기![[숭실대입구역] [신경치료] 리더스진치과 2022.3.9 어금니 신경치료 관련 이미지 1](https://pub-9f2bb3498faf4d1d8714b41df24753e3.r2.dev/content/clinics/archive/hxbl2241l2/naver_blog/leadersjindental/assets/by_hash/e11194afd4af821278449e67869fb631bc01a0cc49444d6a6f5ae49aef10b4a2.png)
2022.3.9 어금니 신경치료 마무리
리더스진치과는 보존보철 과장님과 함께 협진으로 많은 진료를 원칙적으로 하고 있습니다.