아카이브 요약
이 페이지의 역할
리더스진치과의원의 네이버 블로그 원문을 보존한 아카이브 페이지입니다. 임플란트치료사진 카테고리의 [숭실대입구역] [임플란트] 리더스진치과 2022.3.29 상악 전체 임플란트. 글을 통해 병원의 한국어 정보 제공 방식과 진료 관련 안내 톤을 확인할 수 있습니다.
원문 검증
필요하면 원문 블로그와 병원 프로필로 바로 이동해 문맥을 다시 확인할 수 있습니다.
출처 아카이브 열기아카이브된 블로그 글
리더스진치과의원 · Naver Blog
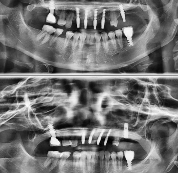
한부모재단 의료지원 재능기부 혜택자. 태어날때부터 선천적으로 치아가 없고 뼈가 발생하지 않아서 음식을 먹기 힘들었는데 금전적 그리고 마음적으로 치료받을 여건이 되지 않았지만 리더스진치과와의 의료비 지원 사업 혜택으로 임플란트와 뼈이식으로 회복. 저희 숭실대 입구역 리더스진 치과는 한달 평균 임플란트 60~1...
게시일
2022년 4월 25일
원문 기준으로 확인된 발행일입니다.
카테고리
임플란트치료사진
원문 블로그 카테고리를 정리해 함께 표시합니다.
이미지 수
1
현재 아카이브에 연결된 이미지 수입니다.
아카이브 요약
리더스진치과의원의 네이버 블로그 원문을 보존한 아카이브 페이지입니다. 임플란트치료사진 카테고리의 [숭실대입구역] [임플란트] 리더스진치과 2022.3.29 상악 전체 임플란트. 글을 통해 병원의 한국어 정보 제공 방식과 진료 관련 안내 톤을 확인할 수 있습니다.
원문 검증
필요하면 원문 블로그와 병원 프로필로 바로 이동해 문맥을 다시 확인할 수 있습니다.
출처 아카이브 열기![[숭실대입구역] [임플란트] 리더스진치과 2022.3.29 상악 전체 임플란트. 관련 이미지 1](https://pub-9f2bb3498faf4d1d8714b41df24753e3.r2.dev/content/clinics/archive/hxbl2241l2/naver_blog/leadersjindental/assets/by_hash/f85c532d01667a2e63308872e023bf9a94eb367c030cfe5a864ee68e57fabccb.png)
한부모재단 의료지원 재능기부 혜택자.
태어날때부터 선천적으로 치아가 없고 뼈가 발생하지 않아서 음식을 먹기 힘들었는데
금전적 그리고 마음적으로 치료받을 여건이 되지 않았지만
리더스진치과와의 의료비 지원 사업 혜택으로 임플란트와 뼈이식으로 회복.
저희 숭실대 입구역 리더스진 치과는 한달 평균 임플란트 60~100개를 꼼수 없이 가장 좋은 재료와 기술로 원칙적으로 식립하는 치과입니다.
#상도동에서임플란트가장많이하는치과
#재능기부 #한부모재단 #봉사하는치과