아카이브된 블로그 글

[숭실대입구역] [임플란트] 리더스진치과 2022.5.19 Ridge split, 상악동수술, 뼈이식 그리고 치조골 확장술을 동반한 임플란트 식립

리더스진치과의원 · Naver Blog

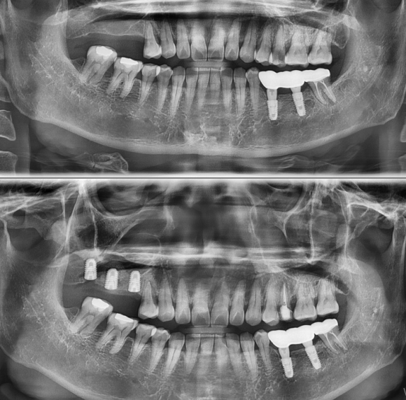
​ 식당을 운영하시는 분입니다. 어금니가 상실된지 너무 오래되어 ​ 잇몸뼈가 자연적으로 많이 소실되어 뼈가 좁고 높이도 거의 남아있지 않았기 때문에 ​ 3개 임플란트를 심으면서 ​ Ridge split, 상악동수술, 뼈이식 그리고 치조골 확장술을 동반한 임플란트를 식립하게 되었습니다. ​ 입이 많이 벌어지지 않았지만 ​...

2022년 6월 6일임플란트치료사진이미지 1

게시일

2022년 6월 6일

원문 기준으로 확인된 발행일입니다.

카테고리

임플란트치료사진

원문 블로그 카테고리를 정리해 함께 표시합니다.

이미지 수

1

현재 아카이브에 연결된 이미지 수입니다.

아카이브 요약

이 페이지의 역할

리더스진치과의원의 네이버 블로그 원문을 보존한 아카이브 페이지입니다. 임플란트치료사진 카테고리의 [숭실대입구역] [임플란트] 리더스진치과 2022.5.19 Ridge split, 상악동수술, 뼈이식 그리고 치조골 확장술을 동반한 임플란트 식립 글을 통해 병원의 한국어 정보 제공 방식과 진료 관련 안내 톤을 확인할 수 있습니다.

원문 검증

필요하면 원문 블로그와 병원 프로필로 바로 이동해 문맥을 다시 확인할 수 있습니다.

출처 아카이브 열기

[숭실대입구역] [임플란트] 리더스진치과 2022.5.19 Ridge split, 상악동수술, 뼈이식 그리고 치조골 확장술을 동반한 임플란트 식립 관련 이미지 1

식당을 운영하시는 분입니다. 어금니가 상실된지 너무 오래되어

잇몸뼈가 자연적으로 많이 소실되어 뼈가 좁고 높이도 거의 남아있지 않았기 때문에

3개 임플란트를 심으면서

Ridge split, 상악동수술, 뼈이식 그리고 치조골 확장술을 동반한 임플란트를 식립하게 되었습니다.

입이 많이 벌어지지 않았지만

성공적으로 상악동막의 천공 없이 수술을 마쳤습니다.

총 걸린 시간은 15~20분입니다.

복잡한 수술이었지만 잘 회복하셔서

식당 손님들에게 더 맛있는 음식을 제공해주셨으면 하는 바램입니다.

#상도동에서임플란트가장많이하는치과, #숭실대치과, #상도동치과, #동작구치과, #임플란트, #전체임플란트, #뼈이식임플란트, #상악동거상술, #임플란트잘하는치과, #전체임플란트중점치과, #임플란트재수술, #전진모원장, #리더스진치과