아카이브 요약
이 페이지의 역할
리더스진치과의원의 네이버 블로그 원문을 보존한 아카이브 페이지입니다. 임플란트치료사진 카테고리의 [숭실대입구역] [임플란트] 리더스진치과 2022.5.30 난발치후 즉시 임플란트 상악동수술 뼈이식 글을 통해 병원의 한국어 정보 제공 방식과 진료 관련 안내 톤을 확인할 수 있습니다.
원문 검증
필요하면 원문 블로그와 병원 프로필로 바로 이동해 문맥을 다시 확인할 수 있습니다.
출처 아카이브 열기아카이브된 블로그 글
리더스진치과의원 · Naver Blog
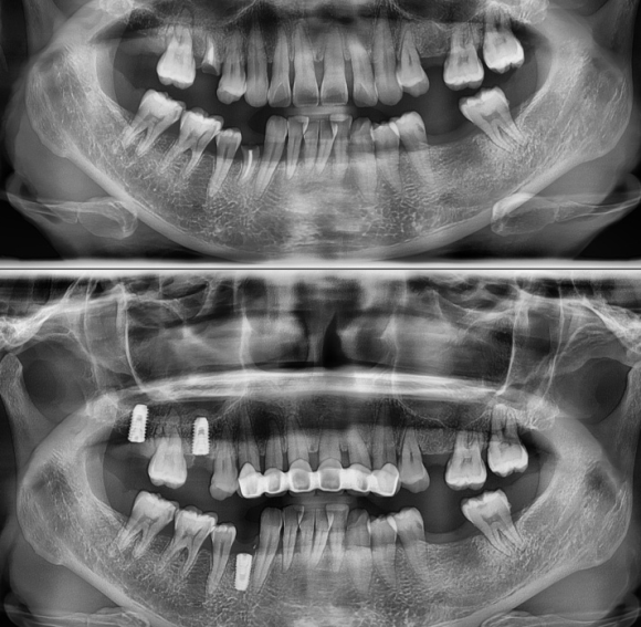
상기 환자 치아를 살릴 수 없을 만큼 치아가 파절되어 내원하였습니다. 임플란트 총 5개를 계획하였으며, 3개 발치 후 즉시 임플란트 식립을 진행하였습니다. 난발치 후 즉시 임플란트 2개 and simyltaneously lifted along with fixture insertion. 매우 복잡한 술식이...
게시일
2022년 6월 7일
원문 기준으로 확인된 발행일입니다.
카테고리
임플란트치료사진
원문 블로그 카테고리를 정리해 함께 표시합니다.
이미지 수
1
현재 아카이브에 연결된 이미지 수입니다.
아카이브 요약
리더스진치과의원의 네이버 블로그 원문을 보존한 아카이브 페이지입니다. 임플란트치료사진 카테고리의 [숭실대입구역] [임플란트] 리더스진치과 2022.5.30 난발치후 즉시 임플란트 상악동수술 뼈이식 글을 통해 병원의 한국어 정보 제공 방식과 진료 관련 안내 톤을 확인할 수 있습니다.
원문 검증
필요하면 원문 블로그와 병원 프로필로 바로 이동해 문맥을 다시 확인할 수 있습니다.
출처 아카이브 열기![[숭실대입구역] [임플란트] 리더스진치과 2022.5.30 난발치후 즉시 임플란트 상악동수술 뼈이식 관련 이미지 1](https://pub-9f2bb3498faf4d1d8714b41df24753e3.r2.dev/content/clinics/archive/hxbl2241l2/naver_blog/leadersjindental/assets/by_hash/ca8fa11b0ecc4284c8325b6bcff0be61578184310314d76ef340df166d267067.png)
상기 환자 치아를 살릴 수 없을 만큼 치아가 파절되어 내원하였습니다.
임플란트 총 5개를 계획하였으며,
3개 발치 후 즉시 임플란트 식립을 진행하였습니다.
난발치 후 즉시 임플란트 2개 and simyltaneously lifted along with fixture insertion.
매우 복잡한 술식이 따랐습니다.
총 수술시간은 15분 이었습니다.
#상도동에서임플란트가장많이하는치과, #숭실대치과, #상도동치과, #동작구치과, #임플란트, #전체임플란트, #뼈이식임플란트, #상악동거상술, #임플란트잘하는치과, #전체임플란트중점치과, #임플란트재수술, #전진모원장, #리더스진치과#연예인치과#인플루언서치과#루미크라운#심미보철#앞니심미보철#앞니크라운