아카이브 요약
이 페이지의 역할
리더스진치과의원의 네이버 블로그 원문을 보존한 아카이브 페이지입니다. 임플란트치료사진 카테고리의 [숭실대입구역] [임플란트] 리더스진치과 2022.6.30 인천에서 오신 분의 당일 내과 협진 후 임플란트 식립 글을 통해 병원의 한국어 정보 제공 방식과 진료 관련 안내 톤을 확인할 수 있습니다.
원문 검증
필요하면 원문 블로그와 병원 프로필로 바로 이동해 문맥을 다시 확인할 수 있습니다.
출처 아카이브 열기아카이브된 블로그 글
리더스진치과의원 · Naver Blog
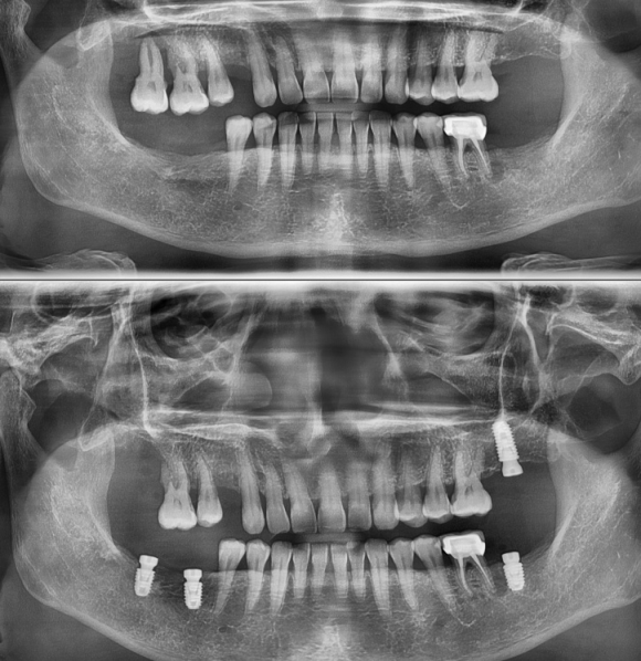
인천에서 오신 분 내과 당일 협진으로 전신 질환 (당요 등등) 확인 후 임플란트 식립. 뼈가 좋지 않아서 충분하게 분석 후 신경 손상을 피하기 위해 전략적이로 보수적으로 접근. 수술 후 3D 사진을 이용한 확인 완료. #상도동에서임플란트가장많이하는치과, #숭실대치과, #상도동치과, #동작구치과, #임플란트,...
게시일
2022년 7월 25일
원문 기준으로 확인된 발행일입니다.
카테고리
임플란트치료사진
원문 블로그 카테고리를 정리해 함께 표시합니다.
이미지 수
5
현재 아카이브에 연결된 이미지 수입니다.
아카이브 요약
리더스진치과의원의 네이버 블로그 원문을 보존한 아카이브 페이지입니다. 임플란트치료사진 카테고리의 [숭실대입구역] [임플란트] 리더스진치과 2022.6.30 인천에서 오신 분의 당일 내과 협진 후 임플란트 식립 글을 통해 병원의 한국어 정보 제공 방식과 진료 관련 안내 톤을 확인할 수 있습니다.
원문 검증
필요하면 원문 블로그와 병원 프로필로 바로 이동해 문맥을 다시 확인할 수 있습니다.
출처 아카이브 열기![[숭실대입구역] [임플란트] 리더스진치과 2022.6.30 인천에서 오신 분의 당일 내과 협진 후 임플란트 식립 관련 이미지 1](https://pub-9f2bb3498faf4d1d8714b41df24753e3.r2.dev/content/clinics/archive/hxbl2241l2/naver_blog/leadersjindental/assets/by_hash/37a2a7cec56c6dd75b90472204024116b9abb7e1f46bb97092171d9165cb1d0c.png)
![[숭실대입구역] [임플란트] 리더스진치과 2022.6.30 인천에서 오신 분의 당일 내과 협진 후 임플란트 식립 관련 이미지 2](https://pub-9f2bb3498faf4d1d8714b41df24753e3.r2.dev/content/clinics/archive/hxbl2241l2/naver_blog/leadersjindental/assets/by_hash/566a12490cdf534768b45b342d028316dae81a313c28b57d996adfd6d3bdb657.png)
![[숭실대입구역] [임플란트] 리더스진치과 2022.6.30 인천에서 오신 분의 당일 내과 협진 후 임플란트 식립 관련 이미지 3](https://pub-9f2bb3498faf4d1d8714b41df24753e3.r2.dev/content/clinics/archive/hxbl2241l2/naver_blog/leadersjindental/assets/by_hash/9e09a5a90c68fb549700cc3c8371857180beeda503a575eea785a1c635ca3e00.png)
![[숭실대입구역] [임플란트] 리더스진치과 2022.6.30 인천에서 오신 분의 당일 내과 협진 후 임플란트 식립 관련 이미지 4](https://pub-9f2bb3498faf4d1d8714b41df24753e3.r2.dev/content/clinics/archive/hxbl2241l2/naver_blog/leadersjindental/assets/by_hash/1159bfc9e05d80153d83f6d3df3dbc7e10bb9688f15a98a069ec11a31a3be3d5.png)
![[숭실대입구역] [임플란트] 리더스진치과 2022.6.30 인천에서 오신 분의 당일 내과 협진 후 임플란트 식립 관련 이미지 5](https://pub-9f2bb3498faf4d1d8714b41df24753e3.r2.dev/content/clinics/archive/hxbl2241l2/naver_blog/leadersjindental/assets/by_hash/87f829cc617819823335377ff8efa4db9fd900599a14bb06d8b24ac4a1ebf128.png)
인천에서 오신 분 내과 당일 협진으로 전신 질환 (당요 등등) 확인 후 임플란트 식립.
뼈가 좋지 않아서 충분하게 분석 후 신경 손상을 피하기 위해 전략적이로 보수적으로 접근.
수술 후 3D 사진을 이용한 확인 완료.
#상도동에서임플란트가장많이하는치과, #숭실대치과, #상도동치과, #동작구치과, #임플란트, #전체임플란트, #뼈이식임플란트, #상악동거상술, #임플란트잘하는치과, #전체임플란트중점치과, #임플란트재수술, #전진모원장, #리더스진치과#연예인치과#인플루언서치과#루미크라운#심미보철#앞니심미보철#앞니크라운 #인플란트 #네비게이션임플란트 #원가이드 #오스템 #매직포 #매직4 #방송출연치과