아카이브 요약
이 페이지의 역할
리더스진치과의원의 네이버 블로그 원문을 보존한 아카이브 페이지입니다. 임플란트치료사진 카테고리의 [숭실대입구역] [임플란트] 발치 후 즉시 임플란트 식립술 글을 통해 병원의 한국어 정보 제공 방식과 진료 관련 안내 톤을 확인할 수 있습니다.
원문 검증
필요하면 원문 블로그와 병원 프로필로 바로 이동해 문맥을 다시 확인할 수 있습니다.
출처 아카이브 열기아카이브된 블로그 글
리더스진치과의원 · Naver Blog
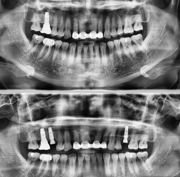
잇몸 질환으로 인한 통증으로 인해 치아를 발치 후 당일 즉시 식립 케이스 입니다. 심한 염증이 뼈를 많이 녹이지 않아서 건전한 뼈가 발치와 (치아를 빼고난 후 남은 치조골의 형태)를 360도 감싸고 있었고 협측 뼈가 3mm 이상 남아 있었기 때문에 당일 식립을 하고 뼈가 치유되기를 4개월 정도 기다린...
게시일
2022년 10월 28일
원문 기준으로 확인된 발행일입니다.
카테고리
임플란트치료사진
원문 블로그 카테고리를 정리해 함께 표시합니다.
이미지 수
1
현재 아카이브에 연결된 이미지 수입니다.
아카이브 요약
리더스진치과의원의 네이버 블로그 원문을 보존한 아카이브 페이지입니다. 임플란트치료사진 카테고리의 [숭실대입구역] [임플란트] 발치 후 즉시 임플란트 식립술 글을 통해 병원의 한국어 정보 제공 방식과 진료 관련 안내 톤을 확인할 수 있습니다.
원문 검증
필요하면 원문 블로그와 병원 프로필로 바로 이동해 문맥을 다시 확인할 수 있습니다.
출처 아카이브 열기![[숭실대입구역] [임플란트] 발치 후 즉시 임플란트 식립술 관련 이미지 1](https://pub-9f2bb3498faf4d1d8714b41df24753e3.r2.dev/content/clinics/archive/hxbl2241l2/naver_blog/leadersjindental/assets/by_hash/9721137529f05d3a767386a7f97c76d9d8b6325a82319775e67f41908d3126a9.png)
잇몸 질환으로 인한 통증으로 인해
치아를 발치 후 당일 즉시 식립 케이스 입니다.
심한 염증이 뼈를 많이 녹이지 않아서
건전한 뼈가 발치와 (치아를 빼고난 후 남은 치조골의 형태)를 360도 감싸고 있었고
협측 뼈가 3mm 이상 남아 있었기 때문에
당일 식립을 하고 뼈가 치유되기를 4개월 정도 기다린 후
임플란트 머리 보철이 올라갈 예정입니다.
#루미니어크라운 #루미네이트 #보험임플란트 #SIC임플란트 #수입산임플란트 #오스템 #상도동에서임플란트가장많이하는치과, #숭실대치과, #상도동치과, #동작구치과, #임플란트, #전체임플란트, #뼈이식임플란트, #상악동거상술, #임플란트잘하는치과, #전체임플란트중점치과, #임플란트재수술, #전진모원장, #리더스진치과#연예인치과#인플루언서치과#루미니어크라운#심미보철#앞니심미보철#앞니크라운 #인플란트 #네비게이션임플란트 #원가이드 #오스템 #매직포 #매직4 #방송출연치과 #신경치료 #연예인치과 #앞니크라운 #라미네이트 #대기업제휴병원 #대기업제휴치과 #기업제휴치과