아카이브 요약
이 페이지의 역할
리더스진치과의원의 네이버 블로그 원문을 보존한 아카이브 페이지입니다. 임플란트치료사진 카테고리의 [숭실대입구역] [임플란트] 딱딱한 음식을 좋아하는 60대 남성분의 임플란트 식립 글을 통해 병원의 한국어 정보 제공 방식과 진료 관련 안내 톤을 확인할 수 있습니다.
원문 검증
필요하면 원문 블로그와 병원 프로필로 바로 이동해 문맥을 다시 확인할 수 있습니다.
출처 아카이브 열기아카이브된 블로그 글
리더스진치과의원 · 10년경력, 전진모 대표원장-리더스진치과(강남/동작)
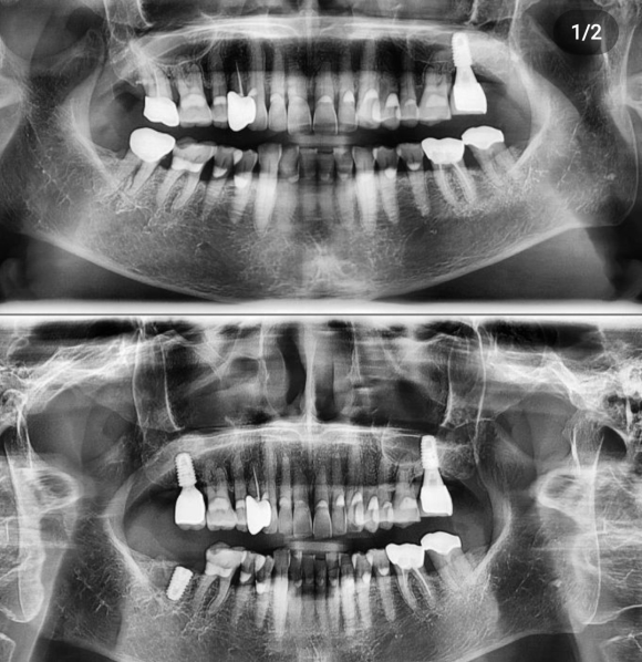
자연 치아를 보시면 머리 뿌리 경계부위 하얗게 떼워놓은 것이 보이는 것 처럼.. 딱딱한 음식을 선호하시는 분의 치아 목부위가 전체적으로 파절이 되고 과중한 하중을 60년 세월을 감당한 치아가 수명을 다 하여 치아의 극심한 통증으로 치아를 발치하고 임플란트를 하게된 케이스 입니다. 치주인대가 쿠션 역할을 해주...
게시일
2022년 10월 28일
원문 기준으로 확인된 발행일입니다.
카테고리
임플란트치료사진
원문 블로그 카테고리를 정리해 함께 표시합니다.
이미지 수
1
현재 아카이브에 연결된 이미지 수입니다.
아카이브 요약
리더스진치과의원의 네이버 블로그 원문을 보존한 아카이브 페이지입니다. 임플란트치료사진 카테고리의 [숭실대입구역] [임플란트] 딱딱한 음식을 좋아하는 60대 남성분의 임플란트 식립 글을 통해 병원의 한국어 정보 제공 방식과 진료 관련 안내 톤을 확인할 수 있습니다.
원문 검증
필요하면 원문 블로그와 병원 프로필로 바로 이동해 문맥을 다시 확인할 수 있습니다.
출처 아카이브 열기![[숭실대입구역] [임플란트] 딱딱한 음식을 좋아하는 60대 남성분의 임플란트 식립 관련 이미지 1](https://pub-9f2bb3498faf4d1d8714b41df24753e3.r2.dev/content/clinics/archive/hxbl2241l2/naver_blog/leadersjindental/assets/by_hash/4f59ba88b097a171e1dc56882f435f5a289f615daab12ff1bbf8413e634447de.png)
자연 치아를 보시면 머리 뿌리 경계부위 하얗게 떼워놓은 것이 보이는 것 처럼..
딱딱한 음식을 선호하시는 분의 치아 목부위가 전체적으로 파절이 되고
과중한 하중을 60년 세월을 감당한 치아가 수명을 다 하여
치아의 극심한 통증으로 치아를 발치하고 임플란트를 하게된 케이스 입니다.
치주인대가 쿠션 역할을 해주는 자연치아와 달리
뼈와 직접적인 결합으로 유착하는 임플란트의 특성상
딱딱한 음식에 매우 취약하기 때문에
성공적인 임플란트 수술과 함께 식단 관리까지 신경써야 하는 환자입니다.
#루미니어크라운 #루미네이트 #보험임플란트 #SIC임플란트 #수입산임플란트 #오스템 #상도동에서임플란트가장많이하는치과, #숭실대치과, #상도동치과, #동작구치과, #임플란트, #전체임플란트, #뼈이식임플란트, #상악동거상술, #임플란트잘하는치과, #전체임플란트중점치과, #임플란트재수술, #전진모원장, #리더스진치과#연예인치과#인플루언서치과#루미니어크라운#심미보철#앞니심미보철#앞니크라운 #인플란트 #네비게이션임플란트 #원가이드 #오스템 #매직포 #매직4 #방송출연치과 #신경치료 #연예인치과 #앞니크라운 #라미네이트 #대기업제휴병원 #대기업제휴치과 #기업제휴치과