![[리더스진치과] 충치진단기를 이용한 충치진단 그리고 충치치료, 언제 신경치료를 해야하는지, 방사선 사진과 임상사진으로 확인 후 진단과정 공개 관련 이미지 1](https://pub-9f2bb3498faf4d1d8714b41df24753e3.r2.dev/content/clinics/archive/hxbl2241l2/naver_blog/leadersjindental/assets/by_hash/5007860f51f38a3b0cb0277ab6e0ba31541680745c06a45d5f89670a6f593335.png)
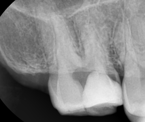
30대 환자가 어금니가 아프다는 Cheif Complaint (주관적인 증상호소)를 가지로 내원했습니다.
치과의사는 초능력자가 아니라서
투시력이 없다보니 기본적으로 처음 마주하기 전에 방사선 사진을 찍어서 보이지 않는 내부를 보게 됩니다.
위 사진 처럼 확연하게 치아가 검정색으로 보이는 경우에는
충치 진단기를 사용하지 않아도
매우 심하게 충치에 이환 되어 있다는 것을 알 수 있습니다.
그리고!
-
환자분이 치과를 아프지 않으면 내원을 하지 않는 예방관리에 미흡한 습관을 가지고 있다.
-
정기 내원을 했다면 분명히 치과에서 충치가 깊어지기 전에 치료를 하자고 권유 했을텐데,
아프지 않기 때문에 넘겨버리고 적절한 치료를 초기에 받지 않았다.
사진만 봐도 전문가들은 환자의 습관과 지금까지의 히스토리를 유추해 볼 수 있습니다.
위 사진의 경우 증상이 발생하였기 때문에 결국 신경치료를 들어갈 수 밖에 없는 신경감염이 발생했다는 것을 알 수 있습니다.
![[리더스진치과] 충치진단기를 이용한 충치진단 그리고 충치치료, 언제 신경치료를 해야하는지, 방사선 사진과 임상사진으로 확인 후 진단과정 공개 관련 이미지 2](https://pub-9f2bb3498faf4d1d8714b41df24753e3.r2.dev/content/clinics/archive/hxbl2241l2/naver_blog/leadersjindental/assets/by_hash/b94d37e77f769b22b869c69319e931f9bb67f41aac7392d2206d0610d90ed24b.jpg)
모든 치료는 초기에 받는 것이 비용이 적게 들고 (초기발견 =적은 비용= 좋은예후= 정기검진의 중요성),
치료 후 예후 또한 좋다는 것을 설명드리고 (병이 깊다면 치료 후에도 재발율이 높음),
앞으로 습관 교정을 모든 치료 전에 먼저 하는 것이 중요합니다.
아프지 않을 때 와서 스케일링 같은 잇몸 관리를 받으시고
초기에 발생하고 있는 구강내 질환을 해결할 수 있는, 치과와 진해지게 만드는 과정이죠.
입 안은 모든 장기 중 최전방 기관이다보니.. 장염과 위염 처럼 입안 또한 아프기 전에 미리미리 예방하는 것이 중요하니까요.
모든 질환과 마찬가지로 치아와 잇몸 질환 또한 만성 질환이 기본이기 때문에,
<증상이 발생했다 = 늦었다 = 깊은치료가 필요하다 = 예후또한 불량할 수 있다> 라는 일련의 등식이 성립됩니다.
초기에 발견한 암 (증상이 없음) 치료는 예후가 좋고 치료과정이 크게 아프지 않다면,
이미 증상이 발생한 암 (증상이 발생했다 = 말기)은 많이 퍼지고 전이가 되어있기 때문에 증상이 발생하는 것이라서.. 시한부 선고가 일어나죠. 치료과정도 복잡하고 매우 아픕니다 (방사선+화학치료)
치료 후 제거가 다 되어도 재발율이 매우 높아 예후가 좋지않은 것과 같은 원리입니다.
![[리더스진치과] 충치진단기를 이용한 충치진단 그리고 충치치료, 언제 신경치료를 해야하는지, 방사선 사진과 임상사진으로 확인 후 진단과정 공개 관련 이미지 3](https://pub-9f2bb3498faf4d1d8714b41df24753e3.r2.dev/content/clinics/archive/hxbl2241l2/naver_blog/leadersjindental/assets/by_hash/0aca921d42dda903f44ebe2d1f8c6b322187bcf12a8beca4d5a073bb6340b551.png)
방사선 사진에서 보이는 검정 부위보다 항상 충치는 더 깊게 퍼져 있습니다.
그 이유는, 광물의 소실이 엄청나게 발생한 곳이 검정색으로 비추어지나
그 주변으로 미약하게 퍼진 충치는 사진 상 정상인 것 처럼 나오기 때문입니다.
신경치료를 피하고 싶지만 충치제거를 하고난 후 신경이 노출이 된다면 신경치료가 불가피함을 설명 드리고 치료를 진행 했습니다.
(해당 환자의 신경치료 확률이 90%가 넘어선다는 것을 알고있었지만.. 치과의사 입장에서도 신경치료 같은 깊은 치료는 추 후 질환 발생 시 발치밖에 정답이 없기 때문에 최대한 보존적인 치료를 하고싶어 합니다)
천천히 충치를 제거하고 나니 아니나 다를까, 치아 내부가 단단하지 않은 가죽이 되어 있었고..
![[리더스진치과] 충치진단기를 이용한 충치진단 그리고 충치치료, 언제 신경치료를 해야하는지, 방사선 사진과 임상사진으로 확인 후 진단과정 공개 관련 이미지 4](https://pub-9f2bb3498faf4d1d8714b41df24753e3.r2.dev/content/clinics/archive/hxbl2241l2/naver_blog/leadersjindental/assets/by_hash/2fc36fb67fba97845399d57293f670bc977ae240ff8a1da72becee619a9d2c2d.png)
모든 충치를 제거하는 과정 중 신경이 노출되어서 (치아의 빨간 부위)
결국 신경치료를 할 수 밖에 없게 되었습니다.
![[리더스진치과] 충치진단기를 이용한 충치진단 그리고 충치치료, 언제 신경치료를 해야하는지, 방사선 사진과 임상사진으로 확인 후 진단과정 공개 관련 이미지 5](https://pub-9f2bb3498faf4d1d8714b41df24753e3.r2.dev/content/clinics/archive/hxbl2241l2/naver_blog/leadersjindental/assets/by_hash/03f932510283144691834beee4de54bc00fac1a4f74c262f359b24ca9aba1a66.png)
신경치료를 시작하게 되면서 내원 횟수가 최소 3회 이상으로 늘어나게 되었고..
성공적인 신경치료 후에는 반드시 크라운을 씌워야 하기 때문에 비용 또한 늘어나게 되었습니다.
모 유튜브를 보면 크라운이 과잉치료다 라는 책임 없는 말을 하시는 분들이 있는데..
어금니 부위는 신경치료 후 반드시 치아 보호를 위해 크라운을 씌워 주어야
추 후, 치아가 부러져서 발치하는 경우를 예방할 수 있습니다.
치아에 이미 신경치료를 위한 적절한 구멍을 내고,
나중에 빈 공간을 레진이라는 치과 재료로 메우게 되는데
어금니가 씹는 힘을 망가진 치아구조+레진이 견딜수가 없기 때문에
결국 신경치료 후 크라운을 하지 않은 어금니들은
가까운 시일 내에 부러져서 오는 경우가 매우 많습니다.
양심치과인척 인기몰이를 하는 유튜브를 믿기 보다는
수십년간 연구가 되고 치료방법이 통계가 되어서 정립된 일련을 치료 과정을
즉, 증거기반의 진단과 치료를 받으시고
오랜기간동안 건강을 유지할 수 있도록 하는 것이 중요합니다.
#루미니어크라운 #루미네이트 #보험임플란트 #SIC임플란트 #수입산임플란트 #오스템 #상도동에서임플란트가장많이하는치과, #숭실대치과, #상도동치과, #동작구치과, #임플란트, #전체임플란트, #뼈이식임플란트, #상악동거상술, #임플란트잘하는치과, #전체임플란트중점치과, #임플란트재수술, #전진모원장, #리더스진치과#연예인치과#인플루언서치과#루미니어크라운#심미보철#앞니심미보철#앞니크라운 #인플란트 #네비게이션임플란트 #원가이드 #오스템 #매직포 #매직4 #방송출연치과 #신경치료 #연예인치과 #앞니크라운 #라미네이트 #대기업제휴병원 #대기업제휴치과 #기업제휴치과