아카이브 요약
이 페이지의 역할
리더스진치과의원의 네이버 블로그 원문을 보존한 아카이브 페이지입니다. 임플란트치료사진 카테고리의 [리더스진 치과] 잇몸질환 으로 무너져버린 뼈 그리고 당일식립 임플란트 치료 전략 글을 통해 병원의 한국어 정보 제공 방식과 진료 관련 안내 톤을 확인할 수 있습니다.
원문 검증
필요하면 원문 블로그와 병원 프로필로 바로 이동해 문맥을 다시 확인할 수 있습니다.
출처 아카이브 열기아카이브된 블로그 글
리더스진치과의원 · Naver Blog
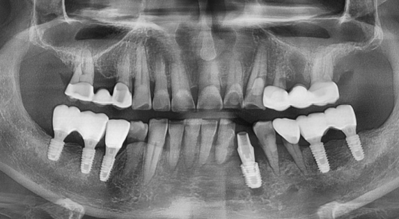
2019년 첫 방문 당시 (위사진) 잇몸질환이 급격하게 진행중이므로 반드시 4~5개월에 한번씩 스케일링을 받으러 오라고 했지만... 전화와 문자를 보내도 오시지 않다가.. 2023년 1월, 잇몸이 다 무너진 상태(아래사진)로 내원하신 60대 남성 환자분 입니다. 다른 부위를 보셔도 알겠지만.. 아프지...
게시일
2023년 3월 7일
원문 기준으로 확인된 발행일입니다.
카테고리
임플란트치료사진
원문 블로그 카테고리를 정리해 함께 표시합니다.
이미지 수
5
현재 아카이브에 연결된 이미지 수입니다.
아카이브 요약
리더스진치과의원의 네이버 블로그 원문을 보존한 아카이브 페이지입니다. 임플란트치료사진 카테고리의 [리더스진 치과] 잇몸질환 으로 무너져버린 뼈 그리고 당일식립 임플란트 치료 전략 글을 통해 병원의 한국어 정보 제공 방식과 진료 관련 안내 톤을 확인할 수 있습니다.
원문 검증
필요하면 원문 블로그와 병원 프로필로 바로 이동해 문맥을 다시 확인할 수 있습니다.
출처 아카이브 열기![[리더스진 치과] 잇몸질환 으로 무너져버린 뼈 그리고 당일식립 임플란트 치료 전략 관련 이미지 1](https://pub-9f2bb3498faf4d1d8714b41df24753e3.r2.dev/content/clinics/archive/hxbl2241l2/naver_blog/leadersjindental/assets/by_hash/9cf7ab08aacd6e68be140a67e44010fd48109ab2998a4aaeea7eb27ca3169f6b.png)
2019년 첫 방문 당시 (위사진) 잇몸질환이 급격하게 진행중이므로
반드시 4~5개월에 한번씩 스케일링을 받으러 오라고 했지만...
전화와 문자를 보내도 오시지 않다가..
2023년 1월, 잇몸이 다 무너진 상태(아래사진)로 내원하신 60대 남성 환자분 입니다.
다른 부위를 보셔도 알겠지만..
아프지 않으면 치과를 가지 않는 습관을 가지고 계신 것을 알 수 있습니다.
왜냐,
스케일링과 정기검진으로 관리하신 분들과, 아프면 (=증상이 생기고 늦으면..) 오는 분들의
치료 히스토리와 (사진상 보임) 잇몸건강 자체가 다르기 때문이지요.
치과치료는 반드시 사진에 남게 되니까요.
![[리더스진 치과] 잇몸질환 으로 무너져버린 뼈 그리고 당일식립 임플란트 치료 전략 관련 이미지 2](https://pub-9f2bb3498faf4d1d8714b41df24753e3.r2.dev/content/clinics/archive/hxbl2241l2/naver_blog/leadersjindental/assets/by_hash/30e657a758f59bc69a0fd5870a8bac2ff0b1661a555f0f6cdbb625f6775eab72.png)
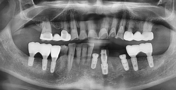
결국 4개 치아를 발치하여야 했지만..
환자분의 사람 만나는 모임 일정과 사정을 고려해
그나마 뼈가 괜찮고 발치 후 즉시임플란트 식립 치료가 가능한 송곳니 부터 임플란트를 심고,
당일에 머리까지 올려 드렸습니다.
남은 뼈가 그나마 단단하고 양이 많았기 때문에 가능하죠.
![[리더스진 치과] 잇몸질환 으로 무너져버린 뼈 그리고 당일식립 임플란트 치료 전략 관련 이미지 3](https://pub-9f2bb3498faf4d1d8714b41df24753e3.r2.dev/content/clinics/archive/hxbl2241l2/naver_blog/leadersjindental/assets/by_hash/d0c5844d567c31448405196f263f46189788009c879ffd44d5bd3d592c257f30.png)
2주 후 방문 하여 결국 흔들리고 춤을추는 치아들을 발치를 하고 임플란트를 식립 하였습니다.
![[리더스진 치과] 잇몸질환 으로 무너져버린 뼈 그리고 당일식립 임플란트 치료 전략 관련 이미지 4](https://pub-9f2bb3498faf4d1d8714b41df24753e3.r2.dev/content/clinics/archive/hxbl2241l2/naver_blog/leadersjindental/assets/by_hash/43ac047fe43d00e2a06eda69e4bc14012c252e91d60357870d3a7b2714e15f7b.png)
충분한 3D분석과 신경관과의 관계, 그리고 임플란트 모의 수술을 통한
임플란트 식립 계획을 수립하였고
총 수술 시간은 5분이었습니다.
1주 기간 치유기간을 둔 후
머리를 올려드릴 생각입니다.
![[리더스진 치과] 잇몸질환 으로 무너져버린 뼈 그리고 당일식립 임플란트 치료 전략 관련 이미지 5](https://pub-9f2bb3498faf4d1d8714b41df24753e3.r2.dev/content/clinics/archive/hxbl2241l2/naver_blog/leadersjindental/assets/by_hash/140c0b3f4afe60cfebd493f57af110831260a4ad1f62b4a4d97860daba611602.jpg)
보통 임플란트치유기간은 3~6개월을 기다려야 합니다.
그 이유는 임플란트와 뼈가 붙을 시간이 필요하기 때문입니다.
하지만,
환자의 빨리빨리!!! 요구, (보통 안들어드리지만 다음의 이유로 해드립니다)
하중을 많이 받는 부위가 아니라는 점
식립한 기둥이 많아서 안정적일 수 있다는 점
문제가 생길 경우 본인이 책임지겠다고 약지 걸고 약속하는점 (결국 제 책임이 되겠지만)
의 이유로 1주 뒤 머리가 올라 갈 예정입니다.
충분한 비타민과 영양섭취로 치유가 잘 되셔서
마무리를 잘 하도록 하겠습니다.
#루미니어크라운 #루미네이트 #보험임플란트 #SIC임플란트 #수입산임플란트 #오스템 #상도동에서임플란트가장많이하는치과, #숭실대치과, #상도동치과, #동작구치과, #임플란트, #전체임플란트, #뼈이식임플란트, #상악동거상술, #임플란트잘하는치과, #전체임플란트중점치과, #임플란트재수술, #전진모원장, #리더스진치과#연예인치과#인플루언서치과#루미니어크라운#심미보철#앞니심미보철#앞니크라운 #인플란트 #네비게이션임플란트 #원가이드 #오스템 #매직포 #매직4 #방송출연치과 #신경치료 #연예인치과 #앞니크라운 #라미네이트 #대기업제휴병원 #대기업제휴치과 #기업제휴치과