아카이브 요약
이 페이지의 역할
리더스진치과의원의 네이버 블로그 원문을 보존한 아카이브 페이지입니다. 심미보철 카테고리의 앞니깨짐, 루미니어크라운으로 깨진앞니 바로 치료하는 이유 글을 통해 병원의 한국어 정보 제공 방식과 진료 관련 안내 톤을 확인할 수 있습니다.
원문 검증
필요하면 원문 블로그와 병원 프로필로 바로 이동해 문맥을 다시 확인할 수 있습니다.
출처 아카이브 열기아카이브된 블로그 글
리더스진치과의원 · Naver Blog
안녕하세요 "올바른 진료를 선도하는" 리더스진치과입니다. 최근 날씨도 좋고 건강을 위해서 야외 및 실내 운동을 하시는 분들이 많이 계십니다. 축구, 농구 등 다양한 운동을 하면서 많이 다치는 신체부위가 바로 치아 입니다. 특히, 앞니가 많이 깨지거나 부러지는데 앞니는 심미적으로 중요한 부위이기 때문에 빠른 시일 내...
게시일
2023년 6월 13일
원문 기준으로 확인된 발행일입니다.
카테고리
심미보철
원문 블로그 카테고리를 정리해 함께 표시합니다.
이미지 수
7
현재 아카이브에 연결된 이미지 수입니다.
아카이브 요약
리더스진치과의원의 네이버 블로그 원문을 보존한 아카이브 페이지입니다. 심미보철 카테고리의 앞니깨짐, 루미니어크라운으로 깨진앞니 바로 치료하는 이유 글을 통해 병원의 한국어 정보 제공 방식과 진료 관련 안내 톤을 확인할 수 있습니다.
원문 검증
필요하면 원문 블로그와 병원 프로필로 바로 이동해 문맥을 다시 확인할 수 있습니다.
출처 아카이브 열기안녕하세요
"올바른 진료를 선도하는" 리더스진치과입니다.
최근 날씨도 좋고 건강을 위해서
야외 및 실내 운동을 하시는 분들이 많이 계십니다.
축구, 농구 등 다양한 운동을 하면서
많이 다치는 신체부위가 바로 치아 입니다.
특히, 앞니가 많이 깨지거나 부러지는데
앞니는 심미적으로 중요한 부위이기 때문에
빠른 시일 내에 치료받는 것이 좋습니다.
실제로, 많은 분들이 저희 치과에 오셔서
앞니깨짐, 앞니부러짐 등 다양한 이유로
루미니어크라운을 시술받고 계시는데,
오늘은 리더스진치과만의 치아성형술
루미니어크라운에 대해 설명드리겠습니다.

| 통합치의학과 전문의 대표원장진료실 100% 치과위생사 |
|---|
| 진단부터 치료 후 관리까지대표원장이 직접 책임지는 치과 |
| 치아성형 받기 위해중국, 일본에서도 찾아오는 치과 |
| 무통 마취 시스템으로 치료시 발생하는 통증 최소화 |
치아성형 왜 루미니어크라운인가??
루미니어크라운은
리더스진치과가 독자적으로 개발한
씌우는 치아성형술 입니다.
라미네이트처럼 붙이지 않고 씌우기 때문에
보철물이 떨어지거나 깨지는 경우가
거의 없습니다.
루미니어크라운은
치아형태, 잇몸라인 등을 종합적으로 분석하여
각자의 치아형태에 맞는
가장 이상적인 치아를 디자인 합니다.
자연치아와 최대한 흡사하게 제작하기 때문에
앞니깨짐, 앞니부러짐 등 치료 목적으로
시술을 받는 분들도 많지만,
단기간에 예쁘고 환한 치아를 만들기 위해
심미목적으로 시술 받는 분들도 많습니다.

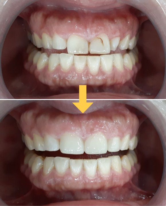
루미니어크라운 시술 전 후 사진

루미니어크라운 시술 전 후 사진
루미니어크라운은
자연치아를 최대한 보호하기 위해
최소삭제로 진행하고 있습니다.
최소삭제로 진행하고
잘 깨지거나 떨어지지 않기 때문에
50~60대 분들도 오셔서
심미 및 치료 목적으로
많이 시술 받고 있습니다.
더 다양한 치료사례를 원하시는 분들은
아래 글을 참고 하시면 됩니다.
저의 글을 보면 알 수 있듯이
저희 치과에서는
앞니깨짐,앞니부러짐 뿐만 아니라
기존 앞니 보철물 재시술, 왜소치,
치아벌어짐, 누런치아 등
다양한 이유로 치아성형을 원하시는
많은 분들에게 루미니어크라운을
시술하고 있습니다.
대표원장님의 풍부한 시술 경험과
만족도 높은 시술 결과로
현재, 감사하게도 많은 분들이 오셔서
루미니어크라운을 시술 받고 계십니다.
저희 치과를 믿고 내원하시는 만큼,
최고의 만족을 드리기 위해
모든 의료진들이 노력하겠습니다.

이처럼 많은 분들이
저희 치과를 믿고 추천해 주셔서
감사하게도 예약문의가 너무 많지만,
환자 한분 한분에게 집중하고
최고의 만족을 드리기 위해
하루 최대 35명만
예약을 잡고 있습니다.
루미니어크라운 뿐만 아니라,
많은 분들이 저희 리더스진치과를
찾는 이유가 궁금하시다면
아래 글을 참고바랍니다.
글을 읽으시면서 궁금하신 내용 및
상담을 원하시는 경우,
전화로 문의 주시면 친절하게
설명드리겠습니다.


