아카이브 요약
이 페이지의 역할
리더스진치과의원의 네이버 블로그 원문을 보존한 아카이브 페이지입니다. 턱관절 치료 카테고리의 리더스진치과 턱 보톡스, 이갈이 와 사각턱 동시에 해결! 글을 통해 병원의 한국어 정보 제공 방식과 진료 관련 안내 톤을 확인할 수 있습니다.
원문 검증
필요하면 원문 블로그와 병원 프로필로 바로 이동해 문맥을 다시 확인할 수 있습니다.
출처 아카이브 열기아카이브된 블로그 글
리더스진치과의원 · Naver Blog
안녕하세요. "올바른 진료를 선도하는" 리더스진치과입니다. 최근 많은 분들이 이갈이, 사각턱 때문에 턱 보톡스를 시술 받으러 내원하고 계십니다. 이갈이 뿐만 아니라, 치아를 악 무는 습관을 갖고 계신 분들은 나중에 치아마모증으로 치료를 받을 수 있기 때문에 빠른 시일 내에 치과에 가셔서 치료를 받는게 좋습니다. ...
게시일
2023년 7월 27일
원문 기준으로 확인된 발행일입니다.
카테고리
턱관절 치료
원문 블로그 카테고리를 정리해 함께 표시합니다.
이미지 수
6
현재 아카이브에 연결된 이미지 수입니다.
아카이브 요약
리더스진치과의원의 네이버 블로그 원문을 보존한 아카이브 페이지입니다. 턱관절 치료 카테고리의 리더스진치과 턱 보톡스, 이갈이 와 사각턱 동시에 해결! 글을 통해 병원의 한국어 정보 제공 방식과 진료 관련 안내 톤을 확인할 수 있습니다.
원문 검증
필요하면 원문 블로그와 병원 프로필로 바로 이동해 문맥을 다시 확인할 수 있습니다.
출처 아카이브 열기안녕하세요.
"올바른 진료를 선도하는"
리더스진치과입니다.
최근 많은 분들이
이갈이, 사각턱 때문에
턱 보톡스를 시술 받으러
내원하고 계십니다.
이갈이 뿐만 아니라,
치아를 악 무는 습관을
갖고 계신 분들은
나중에 치아마모증으로
치료를 받을 수 있기 때문에
빠른 시일 내에 치과에 가셔서
치료를 받는게 좋습니다.

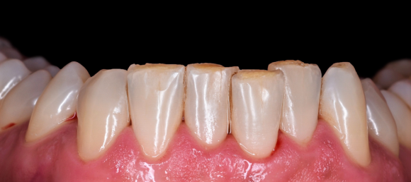
이갈이 및 치아를 악 무는 습관으로 생긴 치아마모증 사진
이갈이를 포함한
다양한 턱관절 질환은
치료 방법이 다양하지만,
수술없이 간단하게
치료 받을 수 있는 방법은
턱 보톡스 입니다.

| 통합치의학과 전문의 대표원장턱 보톡스 시술 2000회 이상 |
|---|
| 정품, 정량 보톡스 사용대표원장님이 직접 시술 |
| 연예인, 인플루언서턱 보톡스 시술 해주는 치과 |

턱 보톡스는
치료 및 심미 목적으로
많이 시술 받고 있습니다.
보톡스에는
근육의 움직임을 감소시키는
성분이 들어 있습니다.
이 성분이 턱 주변 근육 움직임을
감소시키면서 발달되어 있던 근육들이
자연스럽게 축소됩니다.
턱 주변 근육들이 축소되면서
이갈이 증상이 개선되고,
턱 라인도 한결 슬림해지기 때문에
사각턱에도 효과가 좋습니다.

턱 보톡스는
사각턱, 이갈이 뿐만 아니라
다양한 턱관절 질환 치료에
시술하고 있습니다.
이러한 턱관절 질환들을
치료 받지 않고
그대로 방치하게 되면
증상이 점점 심해질 수 있기 때문에
위와 같은 증상이 있으신 분들은
빠른 시일 내에 치과에서
치료 받으시는 걸 추천드립니다.

보톡스는
채내에 축척되지 않고
수개월 내에 체내에서
분해되어 사라지기 때문에
부작용이 거의 없습니다.
또한, 시술 시간도 짧고
시술 직후, 일상 생활도
바로 가능합니다.
턱 보톡스 시술 효과는
사람마다 개인차가 있지만,
1~2주 이후 부터 서서히 효과가
나타나기 시작하고,
2~3개월 째 가장 높은 효과를 보이다
서서히 감소합니다.
유지기간은 4~6개월 정도 됩니다.

턱 보톡스 시술 후
효과를 오래 유지하기 위해서는
턱에 가해지는 힘을 줄이기 위해
딱딱하거나 질긴 음식들을
최대한 피하는게 좋습니다.
또한, 사람마다
유지기간이 다르기 때문에
정기적으로 치과에서
검진 후 시술받으면
턱 보톡스 효과를 지속적으로
유지할 수 있습니다.
저희 리더스진치과에서는
시술 경험이 풍부한 대표원장님이
직접 진단 후 시술 하고 있습니다.
턱관절 질환이 의심된다면
치과에 내원하셔서
정확하게 진단 받으시고
신속하게 치료받으세요.