아카이브 요약
이 페이지의 역할
리더스진치과의원의 네이버 블로그 원문을 보존한 아카이브 페이지입니다. 리더스진 이갈이 스플린트 카테고리의 잠잘 때 이갈이 하시나요? 이갈이 마우스피스의 중요성 글을 통해 병원의 한국어 정보 제공 방식과 진료 관련 안내 톤을 확인할 수 있습니다.
원문 검증
필요하면 원문 블로그와 병원 프로필로 바로 이동해 문맥을 다시 확인할 수 있습니다.
출처 아카이브 열기아카이브된 블로그 글
리더스진치과의원 · Naver Blog
안녕하세요 "올바른 진료를 선도하는" 리더스진치과입니다. 잠잘때 이를 가는 습관인 이갈이는 수면장애 중 하나입니다. 이로 인하여 치아가 마모되고 턱관절 질환이 발생할 수 있는데 대부분의 사람들이 방치하고 있습니다. 이렇게 이갈이를 방치하는 경우, 치아건강 뿐만 아니라, 두통, 만성피로 등 우리 몸에 악영향을 끼...
게시일
2023년 10월 19일
원문 기준으로 확인된 발행일입니다.
카테고리
리더스진 이갈이 스플린트
원문 블로그 카테고리를 정리해 함께 표시합니다.
이미지 수
8
현재 아카이브에 연결된 이미지 수입니다.
아카이브 요약
리더스진치과의원의 네이버 블로그 원문을 보존한 아카이브 페이지입니다. 리더스진 이갈이 스플린트 카테고리의 잠잘 때 이갈이 하시나요? 이갈이 마우스피스의 중요성 글을 통해 병원의 한국어 정보 제공 방식과 진료 관련 안내 톤을 확인할 수 있습니다.
원문 검증
필요하면 원문 블로그와 병원 프로필로 바로 이동해 문맥을 다시 확인할 수 있습니다.
출처 아카이브 열기안녕하세요
"올바른 진료를 선도하는"
리더스진치과입니다.
잠잘때 이를 가는 습관인
이갈이는 수면장애 중 하나입니다.
이로 인하여 치아가 마모되고
턱관절 질환이 발생할 수 있는데
대부분의 사람들이 방치하고 있습니다.
이렇게 이갈이를 방치하는 경우,
치아건강 뿐만 아니라, 두통, 만성피로 등
우리 몸에 악영향을 끼칠 수 있습니다.

이갈이로 인하여 발생한 치아마모증
오늘은 이렇게 치아 및 턱관절에
안좋은 영향을 주는
이갈이에 대해 알아보고
치료방법에 대해 설명드리겠습니다.

이갈이의 원인은
아직 명확하게 밝혀진건 없지만,
스트레스, 부정교합, 중추신경 장애, 유전 등
다양한 원인이 있습니다.
스트레스 및 불안이 커질수록
저작근의 활성이 증가하면서
이갈이 증상이 발생한다는
연구 결과도 있을 정도로
이갈이는 심리적 요인과
밀접한 관계가 있다고 합니다.
또한, 평소에 이를 꽉무는 습관이 있는 경우,
턱 근육 발달로 인하여
잠잘때 이갈이 증상이
발생할 수 있다고 합니다.

이갈이는 수면 중에 발생하기 때문에
같이 자는 사람이 알려주지 않는 이상
혼자 스스로 알기가 쉽지 않습니다.
하지만, 다양한 증상으로
이갈이에 대해 의심할 수 있습니다.
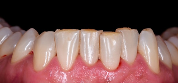
대표적인 증상이
바로 치아 마모증 입니다.
이갈이를 할 경우,
'평소보다 몇 배 강한 힘'으로
이를 꽉 깨물기 때문에
치아가 마모되거나
'심할 경우' 치아에 금이 가거나
깨질 수 있습니다.
또한, 아침에 일어났을 때
치아가 시큰거리는 통증이 있거나
턱관절 통증 및 두통이 있을 경우
이갈이를 의심할 수 있습니다.
이렇게 이갈이가 의심 될 경우에는
치과에 가서 진단 받는걸 추천드립니다.

이갈이를 방치할 경우,
치아 마모 및 턱관절 장애가
발생하기 때문에
빠른 치료가 무엇보다 중요합니다.
이갈이 스플린트는
치과에서 대표적인
이갈이 치료 방법입니다.
많은 분들이
이갈이 마우스피스로 알고 계시지만,
치과 정식 명칭은
이갈이 스플린트(교합안정장치)입니다.
즉, 교합 및 턱관절을 안정시켜주기 때문에
수면 중 발생하는 이갈이 빈도 수를
감소시켜주고 치아를 보호해줌으로써
치아 마모증을 예방해줍니다.
이갈이 스플린트를 장기간 사용 시,
이갈이 치료에 많은 도움이 됩니다.

리더스진치과에서 제작한 이갈이 스플린트

리더스진치과에서 제작한 이갈이 스플린트
저희 리더스진치과에서는
치아 및 교합을
정확하게 분석하여
환자에게 딱 맞는
이갈이 스플린트를 제작해드립니다.

이갈이 치료 방법으로
이갈이 스플린트 뿐만 아니라,
턱 보톡스도 많이 시술하고 있습니다.
턱 보톡스는
과도하게 긴장되어 있는
턱 주변 근육들을 완화시켜주고
턱 근육 사용을 일시적으로
감소시키기 때문에
이갈이 빈도 및 강도를 감소시켜줍니다.
이갈이 마우스피스와 함께
턱 보톡스를 시술받으시면
더욱 더 좋은 효과를 볼 수 있습니다.
또한, 턱 보톡스는
이갈이 뿐만 아니라,
턱에서 딱딱 소리가 나거나
턱관절두통이 발생하는
다양한 턱관절 장애를
치료하기 위해
많이 시술 받고 있습니다.
수면 중 발생하는 이갈이는
치아 및 턱관절 질환 뿐만 아니라,
수면장애를 유발시키기 때문에
의심 증상이 있을 경우,
초기에 턱관절 전문 치과에서
정확한 진단과 올바른 치료를
받으시는걸 추천드립니다.

저희 리더스진치과는
10,000명이 넘는
이갈이 및 턱관절 장애 환자분들이
치료를 받고 가셨을 정도로
턱관절 치료 경험이 풍부합니다.
이갈이 때문에 고민이신 분들은
저희 리더스진치과에서
디지털 장비를 이용한
정확한 진단을 바탕으로
올바른 치료를 받아보세요.