아카이브 요약
이 페이지의 역할
리더스진치과의원의 네이버 블로그 원문을 보존한 아카이브 페이지입니다. 전진모 대표원장 진료 일기 카테고리의 무증상의 치근단 농양, 잠재적인 생명 위협 글을 통해 병원의 한국어 정보 제공 방식과 진료 관련 안내 톤을 확인할 수 있습니다.
원문 검증
필요하면 원문 블로그와 병원 프로필로 바로 이동해 문맥을 다시 확인할 수 있습니다.
출처 아카이브 열기아카이브된 블로그 글
리더스진치과의원 · Naver Blog
증상이 없는데 왜 치료를 권유하죠? 가끔씩 붓고 가라 앉는데 증상은 없어요. 매우 심각한 질환이지만, 증상이 없이 퍼지는 질병. 빠른 발치가 정답이지만, 증상이 없기 때문에 과잉진료로 오해하는 질병. 치과의사들조차 보는 순간 매우 무서운 질병. 증상이 없이 퍼지지만, 증상이 발현되는 순간 환자 목...
게시일
2024년 8월 3일
원문 기준으로 확인된 발행일입니다.
카테고리
전진모 대표원장 진료 일기
원문 블로그 카테고리를 정리해 함께 표시합니다.
이미지 수
6
현재 아카이브에 연결된 이미지 수입니다.
아카이브 요약
리더스진치과의원의 네이버 블로그 원문을 보존한 아카이브 페이지입니다. 전진모 대표원장 진료 일기 카테고리의 무증상의 치근단 농양, 잠재적인 생명 위협 글을 통해 병원의 한국어 정보 제공 방식과 진료 관련 안내 톤을 확인할 수 있습니다.
원문 검증
필요하면 원문 블로그와 병원 프로필로 바로 이동해 문맥을 다시 확인할 수 있습니다.
출처 아카이브 열기증상이 없는데 왜 치료를 권유하죠?
가끔씩 붓고 가라 앉는데 증상은 없어요.
매우 심각한 질환이지만, 증상이 없이 퍼지는 질병.
빠른 발치가 정답이지만, 증상이 없기 때문에 과잉진료로 오해하는 질병.
치과의사들조차 보는 순간 매우 무서운 질병.
증상이 없이 퍼지지만, 증상이 발현되는 순간 환자 목숨까지 위협하는 질병.
치근단 농양 환자 치료에 대한 내용입니다.

치근단 농양
간단하게 치근단 농양의 정의, 원인, 증상, 치료 방법에 대해 알아봅시다.
치근단 농양 이란??
치근단 농양 (Apical Abcess)은 치아의 뿌리 끝이나 골조직 내부의 세균 감염으로 인해 고름 (농)이 형성되는 질환입니다.
이는 치아 내부 또는 주변의 세균 감염으로 인해 발생하며, 감염된 부위에 염증과 고름이 생기게 됩니다.
치근단 농양의 원인
치근단 농양은 여러 가지 원인으로 발생할 수 있습니다.
치주염 : 치주 조직 (치아를 지지하는 조직) 감염이 심해지면 치아 뿌리 주변에 농양이 발생할 수 있습니다.
치아 손상 : 치아의 균열이나 외상으로 인해 세균이 치아 내부로 들어가 신경관 내 감염을 일으키고, 세균이 뿌리를 통해 골 조직 내로 퍼져 농양을 형성할 수 있습니다.
신경치료 한 치아의 재감염 : 신경치료를 받은 치아의 재감염으로 인하여 발생할 수 있습니다.
증상
붓기와 발적 : 감염된 부위의 잇몸이 붓고 빨갛게 변합니다.
고름 배출 : 감염된 부위에서 고름이 배출될 수 있습니다.
발열 : 감염으로 인해 몸에 열이날 수 있습니다.
악취 : 세균 감염이기 때문에 입 안에서 악취가 날 수 있습니다.
치료
배농 : 고름을 배출하기 위해 치아나 잇몸에 작은 절개를 가해 고름을 배출합니다.
근관치료 : 상황에 따라 다르지만 신경치료를 통해 치유를 도모할 수도 있습니다. 신경치료 치아의 재감염의 경우나 심한 경우에는 신경치료가 의미가 없을 수 있습니다.
발치 : 많은 경우 발치를 하게 됩니다. 세균 감염의 정도가 심한 경우 발치의 확률이 높아집니다.
상기 기술된 치료를 병행을 하게 되지만,
결국에는 발치가 근본적인 치료가 될 수 있습니다.
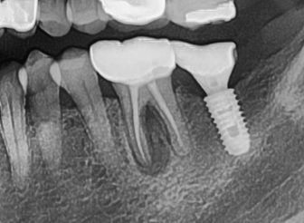
치근단 농양을 가진 환자분이 내원 하였습니다.

치근단 농양으로 가득찬 hopeless 치아
수 년 전, 충치로 인한 큰 감염으로 인하여 신경치료를 받은 치아 이지만
재 감염으로 인해 골 내부에 염증이 퍼져서
증상이 없이 감염이 발생하고 있습니다.
손가락과 발가락에 해당 질환이 퍼지고 있다면 절단을 해야하는 상황이고,
암 초기에는 증상이 없이 퍼지다가
증상이 발현되어 진단을 받으면 시한부 선고가 되는 것 처럼,
해당 질환도 증상이 없이 퍼지는 상황 입니다.

치근단 농양으로 인해 발치를 한 치아
치아를 발치를 하고 나면,
뼈가 녹아내려 사진 상으로 검게 보이는 부분이 빈 공간이 아니고
염증 조직으로 가득 차서 세균들이 공격적으로 뼈를 녹여 내리고 있습니다.

심한 치근단 농양으로 응급상황이 온 경우
많은 환자들이 증상이 없기 때문에 치료를 거부합니다.
"증상이 없는데 왜 치료를 권유 하느냐??" 라는 소리를 가장 많이 듣습니다.
저희 치과의사들이 가장 곤욕스러운 경우이죠.
하지만 과잉진료 말을 듣더라도, 말을 해드리지 않을 수는 없습니다.
전문가 입장에서 해당 질환의 말로를 잘 알고 있기 때문입니다.
상기 사진 처럼 증상이 발현된 경우 응급 상황이 올 수 있고
심한 경우에는 사망까지 끌고가는 무서운 질환 입니다.
두번 째 환자 입니다.

사진 상 왼쪽 아래 두번 째 어금니 치근단 농양

위 파노라마 사진의 실제 구강 내 사진
사진 상 왼쪽 맨 끝에서 두번 째 어금니 뿌리 주변으로
뼈가 녹아내리고 있는 것을 볼 수 있습니다.
실제 구강 내 사진에서는 붓기가 관찰 됩니다.
해당 케이스의 경우 치아의 모빌리티가 매우 심했으며,
누르는 순간 치아가 움푹 움푹 들어가고 노란 농 (PUS)의 배출도 관찰 되었습니다.
증상은 없어서 환자가 심각한 정도인지 인지를 하지 못했지만,
저를 신뢰하시는 분이었기 때문에
미리 발치를 하여 감염이 더 퍼지지 않도록 방지를 한 케이스 입니다.
빠른 발치가 중요한 이유는, 최대한 뼈와 치주조직의 파괴를 방지하면
본인 본연의 뼈의 보존으로 인하여
추 후, 임플란트 치료가 더 쉽고 예후가 좋을 수 있기 때문입니다.
당부드리는 말씀
모든 치료는 근본이 해결되어야 질병 또한 해결된다
우리 몸의 많은 질환들이 통증이 없이 퍼져 나갑니다.
통증이 나타나는 순간 응급상황이 올 수 있고 목숨까지 위협할 수 있습니다.
항상 외부 그리고 내부 감염에 노출되어 있는 우리 몸은
면역 시스템이라는 군대가 싸우고 있지만
군대가 약해지거나 외부 세력의 힘이 커질 경우에는 응급상황이 오게 되죠.
해당 질환도 마찬가지 입니다.
혹시 비슷한 상황을 경험하고 계신 분이라면
미리미리 근본적인 치료를 받으셔서
응급상황이 오는 것을 꼭 방지하시길 바랍니다.
혹시 저에대해 궁금하시다면
https://blog.naver.com/leadersjindental/223263889107
해당 글을 참고 해 주세요^^